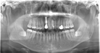
2020年 11月 22日インプラントと審美歯科の症例集が増えました。 みなさんこんにちは。藤沢市鵠沼海岸にある歯医者、医療法人社団 くげぬま海岸歯科クリニックです。 どこがインプラントだと思いますか? 答えは、左上2番目の前歯です。 インプラントと審美歯科の症例集が増えました。 興味のある方はこちらをご覧下さい。 https://www.kugenumadental.com/cases/ この記事を書いた人 院長 くげぬま海岸歯科クリニック 院長の三浦 陽平です。何歳になってもしっかり噛めるように、すてきな笑顔でいられるように、20年後・30年後を見据え、やり直しがない本当に良い治療を提供していきたいと思っています。 院長の投稿一覧 \ この記事をシェアする / 𝕏 LINE P < 前の記事 次の記事 > インプラント 審美歯科(セラミック治療)