人生を変える噛み合わせと歯を再建します
1,000症例以上の実績
美しさと耐久性まで徹底設計
こんな状況ではありませんか?Concerns
そのような状況の方へ
当院の全顎治療の専門家が
あなたにとっての最善のオーダーメイド治療をご提案します!
当院が全顎治療(フルマウス治療)にこだわる理由Reasons for Recommend
歯が多く抜けてしまった方の治療法として、オールオン4(All-on-4)と全顎治療(フルマウス治療)が比較されることが多くあります。
オールオン4は、全ての天然歯を抜き、4本のインプラントで全体を支えるため、
もし1本に問題が生じた場合、全体のやり変えが必要となるリスクがあり長持ちにしくいというのが当院の考えです。
そのため、当院では、残せる歯を極力残し、口腔内全体の正しい噛み合わせを根本的に再構築する
全顎治療(フルマウス治療)を推奨しています。
この方法であれば、個々の歯の修理ができるため、20年、30年後も健康な状態を長続きさせられる治療を提供できます。
| 全顎治療 (フルマウス治療) |
オールオン4 (All-on-4) |
|
|---|---|---|
| 残存歯 | できる限り残す | すべて抜歯 |
| 治療方法 | オーダーメイド | 規格化された治療 |
| 治療期間 | 1年間 (矯正治療を組み合わせる場合は2年以上) |
4〜6か月 |
| 持続性 | ◎ | △ |
| 安全性 | ◎ | △ (インプラント周囲炎のリスク有) |
| 食事制限 | ほぼなし | 4〜6か月 |
当院の全顎治療(フルマウス治療)が選ばれる理由Why Choose Us?
すべての全顎治療(フルマウス治療)を院長が担当
藤沢市のくげぬま海岸歯科クリニックでは、全顎治療(フルマウス治療)のすべての施術を院長が担当しています。
2003年に北海道大学を卒業後、全顎治療(フルマウス治療)に必要とされる、
- 噛み合わせ治療
- インプラント治療
- 審美歯科治療
- 精密根管治療
- 歯周病治療
- 顕微鏡治療
などを幅広く学び、研鑽を積んできました。
国内外を問わず、最新の治療手法を積極的に取り入れ、治療回数と期間を短縮し、患者様の身体的・時間的負担を最小限に抑えた、全顎治療(フルマウス治療)を行っています。
全顎治療(フルマウス治療)の平均治療期間は約1年。
豊富な経験と確かな技術で、ボロボロの歯の方・歯がほとんどない方・入れ歯で噛めない方などのお悩みを根本から解決へ導きます。
20年以上の豊富な経験で、歯がほとんどない難症例にも対応
他院や大学病院で
「歯が少なく治療が難しい」
「噛み合わせの再建が難しい」
と言われた方も、ぜひ一度当院へご相談ください。
当院は難症例の全顎治療(フルマウス治療)にも対応しており、横浜市・茅ヶ崎市・鎌倉市をはじめ遠方からも多くの患者様が来院されています。
20年以上にわたる1,000症例以上の豊富な実績をもとに、将来を見据えた長期的に安定する噛み合わせの再建を目指しています。
全顎治療(フルマウス治療)をご検討中の方は、ぜひ当院の症例集をご覧ください。
全顎治療(フルマウス治療)のための専門設備
当院では、全顎治療(フルマウス治療)を成功へ導き、将来を見据えた長期的な安定性を高めるため、世界水準の高品質な器具・材料・デジタル機器のみを使用しています。
オペレーションルームには医療用クリーンエアシステムを導入し、空気中の細菌や汚染物質を適切にコントロール。
さらに、大学病院レベルの洗浄・滅菌・感染対策を徹底することで、院内の感染リスクを最小限に抑える体制を構築しています。
また、口腔内スキャナーなどのデジタル機器を活用し、従来の型取りでは得ることができなかった高精度な口腔内データおよび顔貌データを取得。
顎関節とお口まわりの筋肉とのバランスを考慮したデジタル設計により、個々の患者様に最適な噛み合わせの再建を行っています。
ゆとりある診療時間
当院が最も大切にしていることは、患者様一人ひとりと丁寧に向き合う『ゆとりある診療時間』です。
一般的な保険診療では、制度上の制約があり、診療時間が15分〜30分と慌ただしくなってしまうケースが少なくありません。
当院の全顎治療(フルマウス治療)は自由診療のため、お一人の患者様に対して60分〜120分の十分な診療時間を確保しています。
また、固定の担当歯科衛生士が配属されるため、治療期間を通して一貫したサポート体制のもと、心から納得できる丁寧なカウンセリングを受けていただけます。
「妥協のない精密な治療を受けたい。」
「口腔内写真を用いた分かりやすい説明を受けたい。」
当院は、そのようなご要望をお持ちの方のためのクリニックです。
CT撮影による精密診断
顔面の歪み・顎の関節のズレ・すべての歯の状態を正確に把握するため、当院ではCT撮影による精密診断をすべての症例で行っています。
最新のMORITA社製のCT撮影機器「Veraview X800」を導入し、低被ばくかつ高精度の画像解析が可能です。
3次元の撮影データをもとに、骨の厚みや神経・血管の位置を正確に把握し、インプラントを埋め込む最適な位置・角度・深さをミリ単位で計測しています。
また、インプラントなどの外科処置に加え、歯をできる限り残すための精密根管治療や歯周病治療の診断にもCTを活用し、将来を見据えた長期的に安定する治療計画の立案を行っています。
世界水準のデジタル設計による咬合再構成
当院では、
- 顔貌写真
- 口腔内写真
- 顔面全体のCT
- 口腔内スキャナーによる歯列データ
これらの資料を総合的に解析しています。
その上で、全顎治療(フルマウス治療)専門の歯科技工士がデジタルデザインにより、患者様一人ひとりに最適な噛み合わせを構築します。
顔貌バランス、顎関節、咬合高径、審美性、機能性、などを総合的に考慮し、20年、30年先を見据えた咬合再構成治療を行っています。
睡眠無痛治療(静脈内鎮静法)による快適なフルマウス治療
「一気に治療をたくさん進めたい」
「手術(オペ)が怖い」
「嘔吐反射がある」
以上のような患者様のために、当院では静脈内鎮静法(点滴麻酔)による睡眠無痛治療をご用意しています。
点滴による鎮静下で、うとうと眠っているような状態のまま治療が進み、恐怖心や緊張感を大幅に軽減した状態で施術を受けていただけます。
当院の鎮静管理は、中島慶次先生(院長の後輩・病院歯科口腔外科勤務経験あり)が担当しています。
病院歯科口腔外科での全身麻酔に携わってきた経験を活かし、静脈内鎮静法の際は全身状態を常にモニタリングしながら、安全管理を徹底しています。
全顎治療(フルマウス治療)専門の歯科技工士との連携
全顎治療(フルマウス治療)において、精緻な噛み合わせを決定づけるセラミック歯を製作するのは、歯科医師ではなく歯科技工士です。
しっかり噛める機能性、美しく自然な口元を再現する審美性、そして20年、30年先を見据えた耐久性を兼ね備えたセラミック歯を製作するためには、全顎治療(フルマウス治療)を専門とする歯科技工士との連携が不可欠です。
当院の全顎治療(フルマウス治療)におけるセラミック歯製作を担当するのは、歯科技工士・高畑寿也先生。
全顎治療(フルマウス治療)の症例数は1,000症例以上と、豊富な経験と高い技術力を有しています。
全顎治療(フルマウス治療)と矯正治療のコンビネーションにも対応
噛み合わせが安定しない、どこで噛んでいいのか分からないといった症状の背景には、歯列不正が本質的な原因となっていることがあります。
そのような患者様に対しては、全顎治療(フルマウス治療)と並行して、矯正治療を組み合わせた治療をご提案しています。
位置異常のある歯に対しては、
- 抜歯後にインプラントで補う方法
- 矯正治療によって歯を適切な位置へ移動させる方法
といった2つのアプローチがあります。
当院では、安易に歯を抜くのではなく、患者様のご希望に応じて矯正治療を併用し、可能な限りご自身の歯を温存する治療計画の立案も行っています。
インプラント治療・矯正治療・審美治療を組み合わせた複合症例にも、院長と矯正専門医が連携して対応いたします。
安心の長期保証制度を設けています
インプラント本体(顎骨に埋め込んでいる部分)およびセラミック歯には、10年間の保証制度を設けています。
これまで当院で施術した全顎治療(フルマウス治療)のトラブル発生率は、これまでわずか1%以下です。
不具合の発生は極めて少なく、長期的に安定した治療結果が得られています。
インプラント本体およびセラミック歯にトラブルが発生した場合でも、無償で対応いたします。
安心の長期保証制度で、患者様のご不安を解消いたします。
診療メニューMenu
インプラント治療
インプラント治療は、歯を失った部分の顎の骨にチタン製の「人工歯根(インプラント体)」を埋め込み、その上に人工の歯(上部構造)を取り付けて、天然の歯のような機能と見た目を再現する治療法です。
インプラント専門医・指導医で埋入5,000本以上の院長が全てのオペを担当しており、横浜市、茅ヶ崎市、鎌倉市をはじめ遠方からも多くの患者様が来院されています。

セラミック治療
セラミック治療とは、虫歯や欠けた歯の修復、見た目の改善のために、陶材であるセラミック製の詰め物や被せ物を使って歯を補う歯科治療です。
審美歯科治療歴22年の院長が全てのセラミック治療を担当します。
開業前に約20,000本、開業後に30,000本、合計50,000本のセラミック歯の施術経験があるため、安心して治療を受けていただけます。

精密根管治療
精密根管治療とは、歯の神経が虫歯菌に侵されてしまった場合に行う治療です。
保険診療にも根管治療は組み込まれていますが、自費治療では以下の点が異なります。
保険診療で行われている根管治療の水準は、海外に比べて30年ほど遅れているのが現状です。
当院では、歯科医療先進国であるアメリカと同レベルの精密根管治療を患者様に提供しています。
保険診療に比べて精密根管治療は、歯を残せる可能性が30%アップします。

歯周病治療
歯周病は、せっかく治療した歯を再び悪くしてしまう大きな原因です。
さらにそれだけでなく、糖尿病や心疾患など全身の健康にも悪影響を及ぼすことがわかっています。
だからこそ当院では、お口と全身の健康を守る土台として、歯周病治療を重要視しています。

矯正治療
矯正治療歴20年以上の矯正専門医が担当します。
3,000名以上の実績で、全体の噛み合わせを考慮した、長期的に安定する治療プランをご提案します。
また、表側矯正、半分裏側矯正《ハーフリンガル》、全裏側矯正《フルリンガル》、マウスピース矯正《インビザライン》の全てが揃っており、患者様のご要望に応じた装置を提供できます。

静脈内鎮静法
麻酔専門医の管理下で、眠っているような感覚のままリラックスして治療を受けられます。
うとうとしている間に処置が終わり、治療中の記憶もほぼ残らないため、インプラントや抜歯の不安や恐怖心が強い方でも安心です。

当院の全顎治療(フルマウス治療)に
興味をお持ちいただいた方は、
ぜひ一度ご相談ください!
症例Case
- 治療例 1
-
治療前
初診時レントゲン写真。
左上、左下、右下の奥歯は残せない状態です。
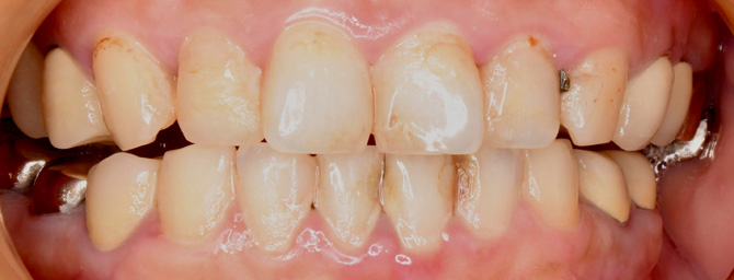
初診時口腔内写真。
他院さんに2年以上通院しても、治療が全く終わらないことに困り果てて、当院を受診されました。
・前歯が欠けたまま
・どこで噛んでいいか分からない
・噛むと奥歯が痛い
・歯茎からの出血がある
など、多岐にわたるお悩みを抱えていました。4本のインプラント治療、20本のセラミック治療で、全ての歯を治療する計画を立てました。
左側からの口腔内写真。
右側からの口腔内写真。
上顎の口腔内写真。
下顎の口腔内写真。
治療中
全ての歯とインプラントの型取りをデジタルで行います。
セラミック歯のデザインが完成しました。
動画でも緊密な噛み合わせを再現できていることが分かります。
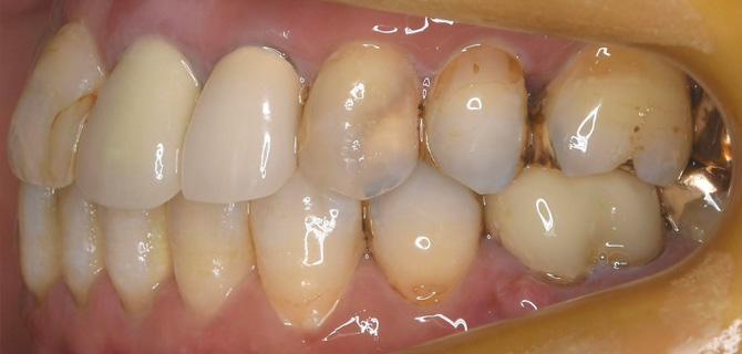
治療後
治療後のレントゲン写真。
合計4本のインプラントが入りました。
治療終了後の口腔内写真。見違えるような美しい前歯と奥歯になりました。全額治療(フルマウス治療)は、前歯と奥歯の完璧な調和が前提となります。 また、機能性を追求することで、美しさも兼ね備える結果に繋がります。
左側からの口腔内写真。
緊密で理想的な噛み合わせが付与されています。
右側からの口腔内写真。
こちらも、上下の奥歯ががっちり噛んでいることが分かります。
上顎の口腔内写真。
どこにインプラントが入っているか分からない仕上がりにできました。
下顎の口腔内写真。
こちらも、どこにインプラントが入っているか分からないクオリティです。
- 治療例 2
-
治療前
初診時レントゲン写真。右下の歯がありません。
初診時口腔内写真。噛み合わせが狂ってしまい、患者様はどこで噛んでいいか分からない状態でした。 治療中
上顎のセラミック歯のデジタルデザイン。上顎には3本のインプラントを埋め込んでいます。
下顎のセラミック歯のデジタルデザイン。下顎には5本のインプラントを埋め込んでいます。3Dデジタル動画も駆使して、歯の形を患者様の理想に近づけるようにしていきます。
デジタルデザインにより完成した、精密な仮歯(ファイナルプロビジョナル)をセット。 セラミック歯で16本分、インプラント上部構造で8本分の仮歯が入りました。 この状態で1ヶ月ほど使用して頂き、再構成した噛み合わせに問題かないかをチェックします。 治療後
治療後のレントゲン写真。インプラントは理想的な位置に収まっています。また上の前歯2本には精密根管治療も行いました。
治療後の口腔内写真。仮歯をセラミック歯に置き換えて治療終了となります。人生最後の治療となるように、最高レベルの治療水準で治しています。
- 治療例 3
-
治療前
初診時レントゲン写真。
右下の他院さんで入れたインプラントの調子が悪いことが、一番のお悩みでした。
初診時口腔内写真。
右側の噛み合わせが狂ってしまい、患者様はどこで噛んでいいか分からない状態でした。
また、上の前歯が短いことをとても気にされていました。治療中
セラミック歯のデジタルデザイン。
上顎に3本、下顎に5本のインプラントを埋め込んでいます。動画によるシミュレーションでも、歯の形を細かく突き詰めていきます。
デジタルデザインにより完成した、精密な仮歯(ファイナルプロビジョナル)をセット。
天然歯に20本分、インプラントに5本分の仮歯が入りました。
この状態で1ヶ月ほど使用して頂き、再構成した噛み合わせに問題かないかをチェックします。治療後
治療後のレントゲン写真。
右側の他院さんのインプラントのうち1本は再利用しています。
状態の良くない歯は抜いて、4本のインプラントを埋め込みました。
治療終了後の口腔内写真。
審美性・機能性・永続性を兼ね備えた、セラミック歯が入りました。
右側の隙間は無くなり、全ての歯でが均一に噛んでいることがわかります。
また、上の前歯もご希望通り長くすることができました。
全顎治療(フルマウス治療)の費用と期間Price & Duration
全顎治療(フルマウス治療)はフルオーダーメイドとなるので、健康保険は適応されません。
お口の中の状態にもよりますが、当院では3,300,000円〜8,800,000円(税込)くらいの治療費用になると思って下さい。
正確なお見積りを作成しますので、患者様が納得して頂いてからの治療スタートとなります。
治療期間は、1年〜1年半ほどで終わるような治療計画を立てています。
矯正歯科治療を組み込む場合は、2年半〜3年ほどかかると思って下さい。
当院の全顎治療(フルマウス治療)に
興味をお持ちいただいた方は、
ぜひ一度ご相談ください!
よくあるご質問Q & A
- 「全顎治療」と「オールオン4」では、費用はどちらが高いですか?
- 一概には比較できません。オールオン4は「上下顎いくら」という"パッケージ料金"に近いですが、当院の全顎治療は、患者様のお口の状態に合わせて必要な治療だけを組み合わせる”オーダーメイド”です。
残せる歯は最大限残し、不要な治療は行いません。
そのため、結果的にオールオン4より費用を抑えられるケースも、より高度な技術(矯正治療や骨造成)が必要となり高額になるケースもあります。
まずは精密診断の上で、あなたにとって最適なプランと総額のお見積りを明確にご提示します。
- 手術が怖いのですが、痛みはありますか?
- 手術中には部分麻酔を使用するため、治療中の痛みはありません。
手術後に軽い痛みや腫れを伴うことはありますが、一般的には数日で落ち着きます。
日常生活に支障が出ることはありませんので、ご安心ください。
「治療への恐怖心が強い」「治療中の振動等に不安がある」方には、眠っている間にすべての処置が終わる、静脈内鎮静法(睡眠無痛治療)もご案内可能です。
- 治療後の状態はどのくらい長持ちしますか?
- 当院の全顎治療(フルマウス)は半永久的に治療後の状態を維持することができます。
その理由としては、残せる歯を最大限残し、万が一どこかにトラブルが生じても、比較的簡単な対応で修理(リカバリー)できるよう設計するためです。
一方で、オールオン4は、1本のインプラントが壊れると、上部構造(歯の部分)全体のやり変えが必要になるため、長期的な視点で安定した状態を維持したい方には、長持ちする全顎治療(フルマウス)をお勧めしています。
- 治療期間はどのくらいかかりますか?
- 当院の全顎治療は、通常約1年、矯正治療を伴う場合は約2年の期間を頂戴します。
私たちは、20年・30年先の安定を最優先に考えます。そのために必要な「土台作り(歯周治療や骨の安定)」に一切妥協しないため、この期間が必要になります。
もちろん、治療期間中も仮歯でのお食事や会話に支障が出ないよう、最大限配慮いたします。
- 他院で「骨が少ないのでインプラントは無理」と断られました。
- 諦めないでください。当院には、そうした難症例でお悩みの方が、横浜や鎌倉など遠方からも多数ご相談に来られます。
CTによる精密な3D分析で、わずかな骨を活用する技術や、骨を増やす治療(骨造成)など、院長の豊富な経験と先進設備を駆使し、治療の可能性を追求します。
まずは一度、ご相談ください。
アクセスAccess
| 住所 | 藤沢市鵠沼海岸6-17-12 パストラーレ鵠沼1階 GoogleMAP |
|---|---|
| TEL | 0466-54-7886 |
| 駐車場 | 駐車場9台、別途駐輪スペース5台 |
