みなさんこんにちは。
藤沢市鵠沼海岸にある歯医者、医療法人社団 くげぬま海岸歯科クリニックです。
今回のテーマは、オフィスホワイトニングです。
今回も歯科専用の薬剤を使ったホワイトニングで、どれだけ歯が白くなるかをご紹介したいと思います。
オフィスホワイトニング3回コースの症例
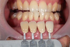
Before
全体的に黄ばみが気になってご相談頂きました。
確かに、シェード(色見本)と比較してもA3.5に近い色味です。

After
3回コース終了後です。
いかがでしょうか??
殆どA1に近い色味にトーンアップしました♪

治療内容・説明
オフィスホワイトニング3回コース(1回1時間半程度お時間がかかります)
ホワイトニングの手順
①クリーニング
②ホワイトニング用薬剤塗布
③光照射
②,③を3回繰り返し、最後にお写真を撮ります。
施術時間が長いので、時間があまりとれない方にはお家でやるホームホワイトニングもご用意しています♪
また、オフィスホワイトニングは即効性がありますが、何もしないと色の戻りも早くなっていきます。
オフィスホワイトニングでトーンアップをした後、自宅で継続的にホームホワイトニングを行い
歯の内側から白くしていく、デュアルホワイトニングが一番効果が高くおススメです!
ご興味ある方はお気軽にスタッフにお尋ね下さい。
みなさんがステキな笑顔になるためのお手伝いをさせて頂きます♪
症例の治療に必要な標準的な費用
ホワイトニング:55,000円(税別)
- オフィスホワイトニング3回コース
副作用・リスク
一時的にしみることがあります。白さは時間が経つと徐々に後戻りすることがあります。
藤沢市鵠沼海岸にある歯医者、医療法人社団 くげぬま海岸歯科クリニックでは24時間WEB予約を承っております。
少しでも気になることがございましたら、是非一度ご予約いただき、ご来院ください!
WEB予約はこちらhttps://x.gd/zABtx
電話予約:0466-54-7886
ブログ監修者 院長 三浦陽平