みなさんこんにちは。
藤沢市鵠沼海岸にある歯医者、医療法人社団 くげぬま海岸歯科クリニックです。
スタッフの矯正(ハーフリンガル)の経過🦷をレポートします✨
お久しぶりです!!受付スタッフのKです♪
前回は2025年の1月にレポートしていたので約1年たってしまいました!
→前回記事(クリニック受付スタッフの矯正体験記♯9🦷✨)
この間も1か月おきに調整はしていたのですが、ここまでくると見た目の劇的な変化というよりは微調整をしている感じでした。
私も矯正治療が完全に日常になってしまい、痛みや不便さもほとんど感じず過ごしていましたので
どれだけ変わっているのか、久しぶりに写真で比較したいと思います!
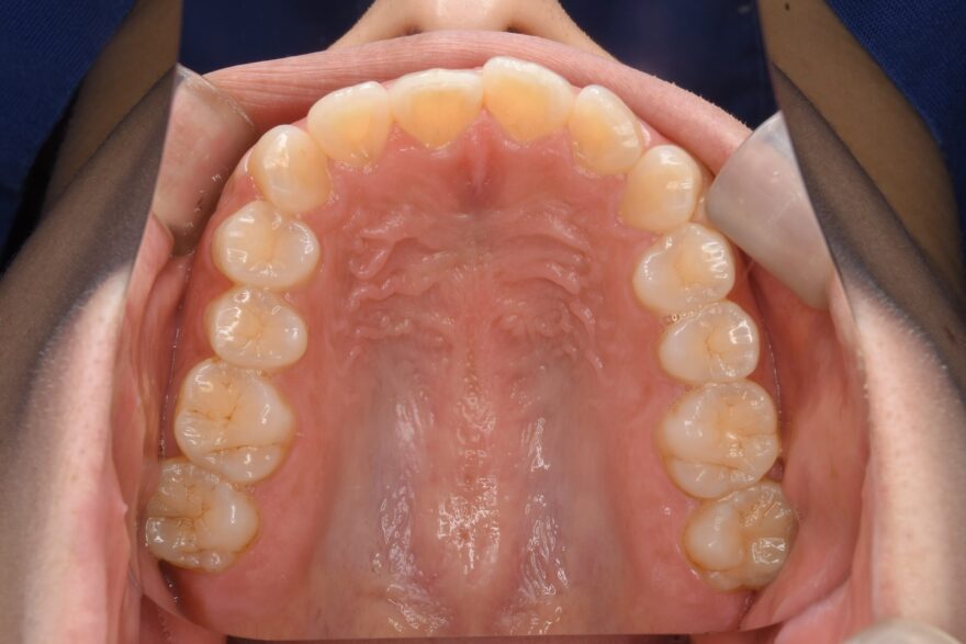
約1年振りの経過を比較!
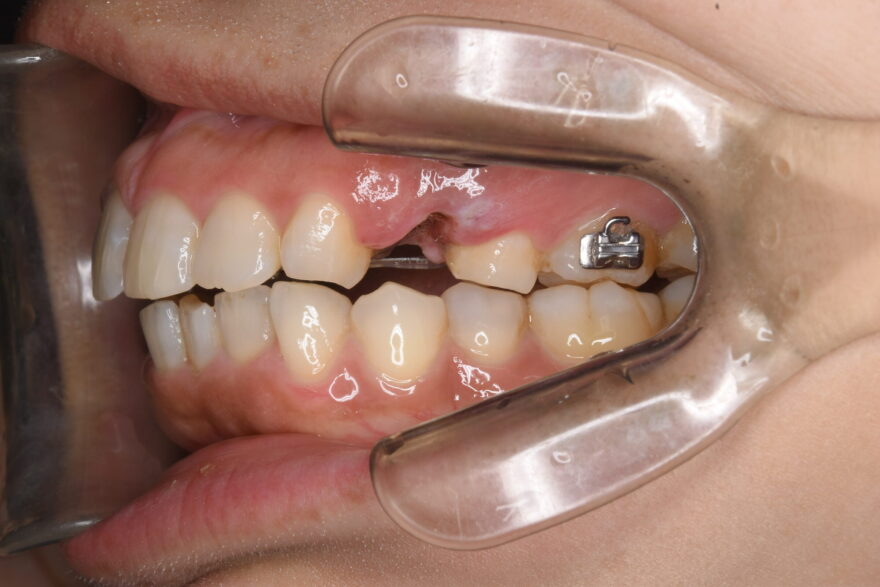
上顎の比較


左右とも前から4番目の歯を抜いて、前歯を下げています。
3番目と5番目にあった隙間もすっかり埋まってきて目立ちませんし、歯列も整っています。
全体的にアーチが整って口腔内が小さくなったと思います。
これだけ装置はついていますが、馴染んでしまっていて気になりません。
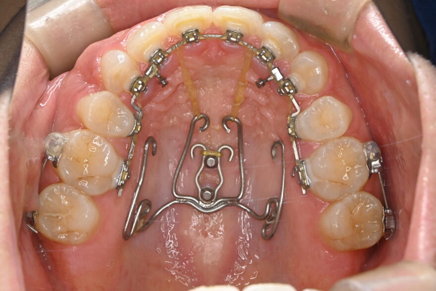
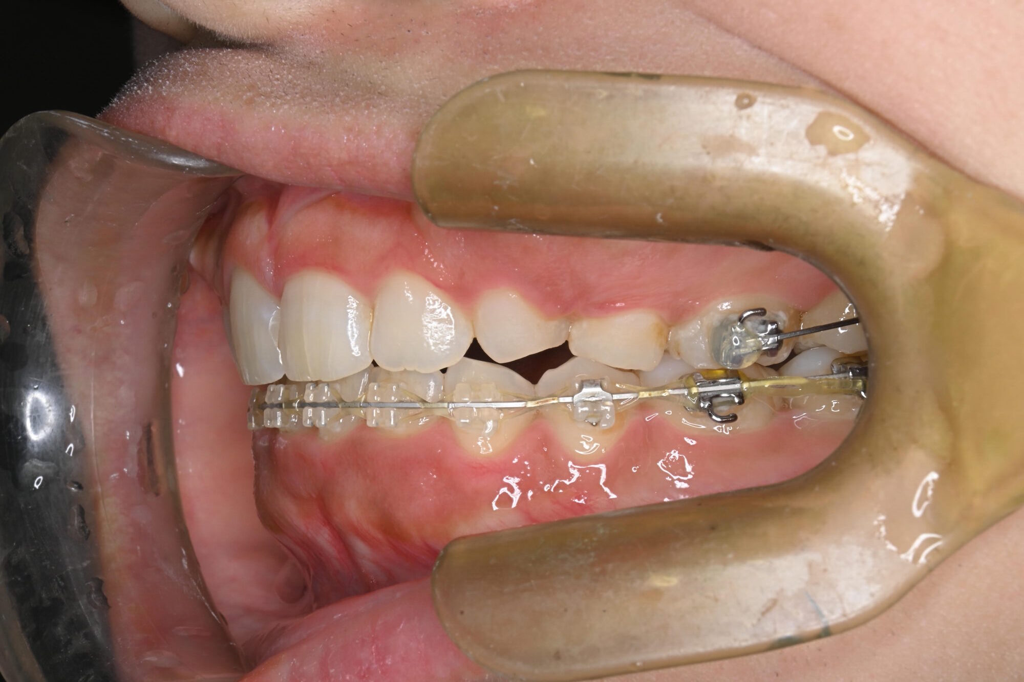
下顎の比較


改めて、ワイヤーが太くなっているのに気づきました。
歯列のガタガタはかなり整っていると思います。
下顎は5番目の歯を抜いていますが、この隙間も綺麗に埋まって言われても解らないと思います。
気になる所と言えば、埋まっていた最後の親知らずが出てきてしまったので、そろそろ抜かないといけないなと思っています。
でもこれが最後の抜歯になればいいなと思います。
横からの比較


すごく前歯が引っ込んだのが解りますよね!!自分でもここまで動いていたのは驚きました。
抜いた隙間がこんなに綺麗に埋まっていく事にも驚きますが、前歯の位置が全く違うので、これは顔も変わっているわけだなと思いました。別人ですよね。
ここまでの感想
振り返ればもう1年半矯正治療をしていたんだなと、治療前の自分の歯を見て懐かしくなりました。
歯列の綺麗さはもちろん、便宜抜歯で歯を4本抜いたところも、ほとんど解らなくなっていますよね。
横顔のラインや、ガミースマイルだった歯茎の見え方もとても変化しています。
先日、年に一度会う友人に『顎何かした?!痩せた?』と驚かれて、自分では見慣れてきてしまっていたのですが、写真比較すると変化が一目瞭然です。
最近は月に一度の調整も、初めの頃ほど痛みが出ることもなく、物が噛めないこともなく。
当初は違和感が大きすぎた装置も自分の一部のような愛着まで出てきて特に不便はありません。(食事では色々詰まりますが…笑)
現段階でもとても満足していて、もっと早く矯正すればよかったなと心から思っていますので、今悩んでいる方は是非早めに診断だけでも聞いてみることをお勧めします。
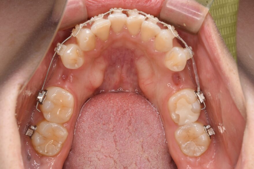
新装置登場!!
前回の矯正調整の際に、芝田Dr.からマウスピースを受け取りました!
『就寝時用のマウスピース(上下一体型)』

私の場合は、出っ歯傾向があり、下げていく過程で就寝時の歯ぎしりや食いしばりが動きの邪魔をしてしまうので
こちらをつけて寝ることになりました。
結構大きくて、装着すると喋れません!!
ボクサーが試合でつけるようなマウスピースです。
かなり違和感もあるので、朝まで着けていられるかな…寝てる間に取ってしまわないかな?と思っていましたが
意外と私は無意識下でも投げ捨てることなく朝まで装着できるタイプでした。笑
自分で日々装着するというのは、面倒くさがりな私としては強い意志が必要ですが
サボるとすぐ芝田Dr.にバレるのは解っていますので、なるべく頑張っていきたいと思います!笑
この装置が今後どのような効果を出してくれるのか
またレポートします!お楽しみに♪
当院はスタッフも矯正経験者が沢山🥰
皆様の治療中の困り事を、少しでも減らすように
お手伝いができればと思いますので
是非お気軽にご相談くださいね!
***************************************
矯正治療の経過はこちらからもご覧ください
◎矯正治療についてはこちらからご覧ください
藤沢市鵠沼海岸にある歯医者、医療法人社団 くげぬま海岸歯科クリニックでは24時間WEB予約を承っております。
少しでも気になることがございましたら、是非一度ご予約いただき、ご来院ください!
WEB予約はこちら
電話予約:0466-54-7886
ブログ監修者 院長 三浦陽平