みなさんこんにちは。
藤沢市鵠沼海岸にある歯医者、医療法人社団 くげぬま海岸歯科クリニックです。
前回に引き続き、当院の歯科衛生士Tの矯正治療体験をご紹介します!!
前回の記事はこちらからご覧ください♪
◎体験談でわかる!スタッフのリアルな矯正治療体験記Vol.1
Q5. 矯正中に困ったことはあった?
A:
外出先での歯磨きセットは必須だったので、最初は慣れが必要でした。
また、普通の歯ブラシでは取り切れなかった繊維が絡まっていることがあるので、先が細いタフトブラシを使って丁寧に歯磨きすることも習慣になりましたね。
こんなことを言うと『大変そう…!』と思われるかもしれませんが、1ヶ月もすると習慣になり特に気にならなくなりました。
虫歯になりやすい状態と自覚することで、自分でも矯正前より気を付けて生活するようになり、結果的に虫歯になりにくくなったと思います。
せっかく頑張って治療すると思うと、自然に歯への意識が高まりましたね‼
Q6. どれくらいで歯並びの変化を実感した?
A:
個人差はありますが、私は 3〜4ヶ月目 くらいで
「あ、前歯の重なりが減ってきた!」と実感しました。
最初は装置の違和感だったり、歯が動く痛みも強かったりしますが・・・劇的に見た目が変化するんです!
自分でも日々変化がよくわかるので、不自由でもモチベーションにつながりました。
歯列がある程度並んでくると、そこまでの変化は感じなくなってきますが
装置にも慣れて痛みも少なくなってきますので、もはや自分の一部のようになっていてストレスはなかったですね。
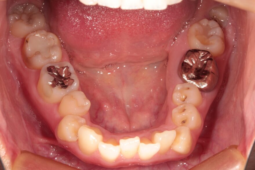
それでは、驚きの仕上がりをご覧ください♪
まずは正面から!!


上下の変化はこちら!




凄くきれいに整ったと思いませんか??
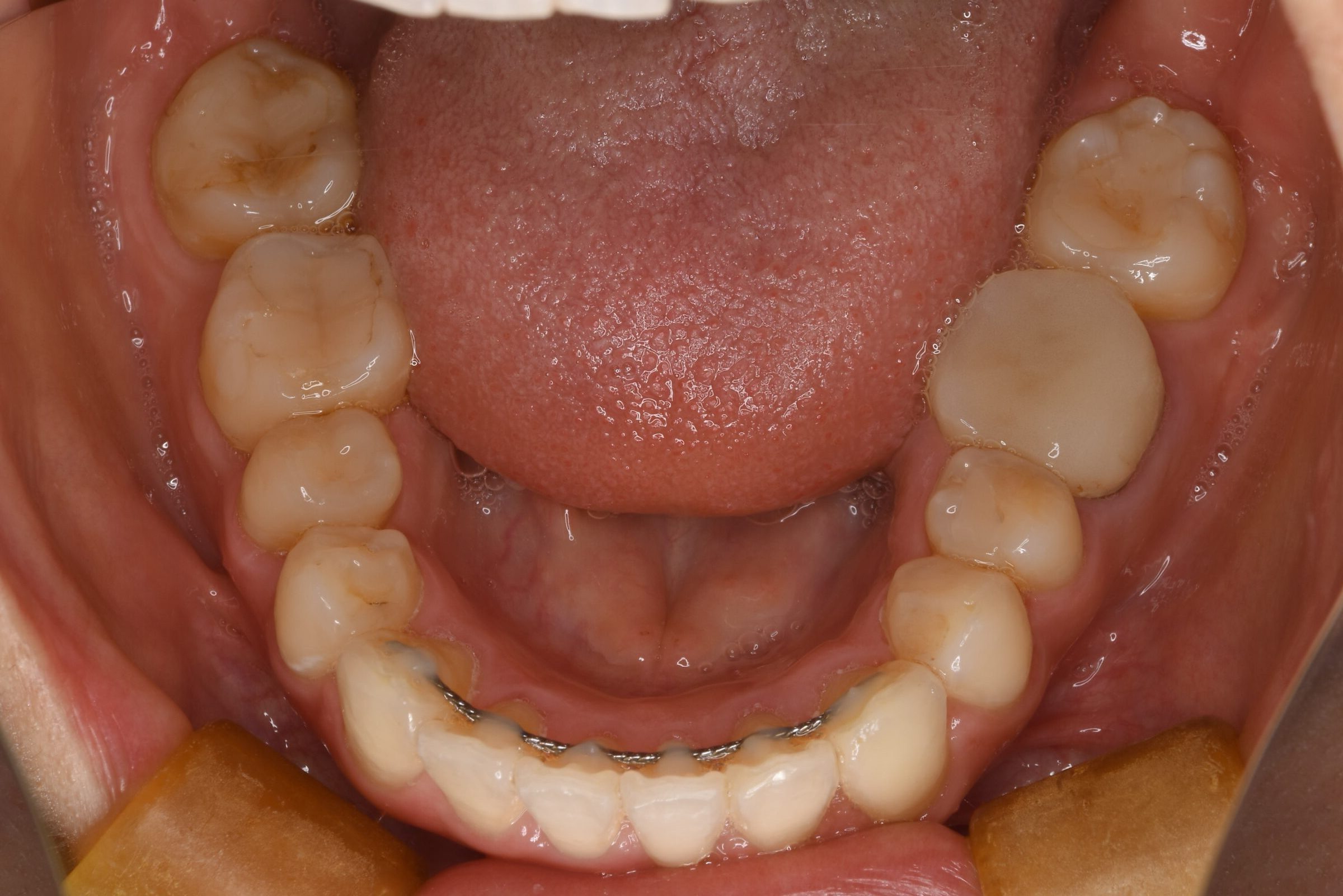
歯科治療には散々悩まされてきましたが、根本からしっかり治療したことでようやく繰り返す治療から抜け出すことが出来たと思います。
これから銀歯や昔の詰め物を取り換えていくので、さらに美しい口腔内になると思います!!
Q7. 矯正治療をしてよかったと思う?
A:
本当に良かったです!
笑顔に自信が持てたのは大きな変化でした。
患者さまとの会話でも矯正の良さを実体験として伝えられることも嬉しい点です。
見た目だけでなく、かみ合わせも良くなり、健康的にもとてもいい治療を受けられたと思います。
まとめ
いかがでしたでしょうか。
矯正治療の流れや、リアルな変化をお伝えしました!!
矯正は時間がかかる治療ですが、きれいな歯並びになって本当にやって良かったと思いました。
顔の輪郭も整い、自信をもって笑える口元になったことは一生ものの治療だったなと思います。
ここから先は院長によるセラミック治療で、さらに完璧な口腔内を目指していきます!
矯正治療にご興味のある方は、ぜひお気軽にご相談くださいね♪
藤沢市鵠沼海岸にある歯医者、医療法人社団 くげぬま海岸歯科クリニックでは24時間WEB予約を承っております。
少しでも気になることがございましたら、是非一度ご予約いただき、ご来院ください!
WEB予約はこちら
電話予約:0466-54-7886
ブログ監修者 院長 三浦陽平