目次
年齢・性別
40代・女性
来院動機
前歯2本が段々と変色してきて気になる。
セラミック治療で、白くしたい。
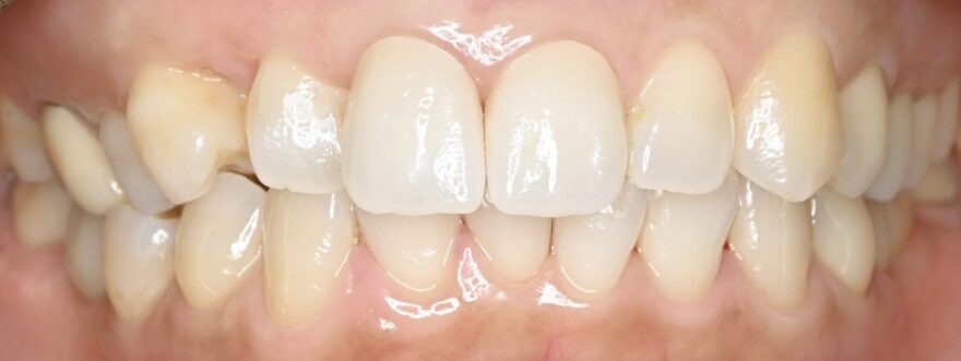
初診時の口腔内写真

そのうち左側の前歯は神経を失った状態でした。
治療方針
前歯が変色してしまった場合は、ホワイトニンングとセラミック治療、2つの選択肢があります。
神経の失った歯がある場合は、歯を削って被せるセラミック治療をお勧めしています。
治療後の口腔内写真

わずか2回の治療で、白く輝く前歯になり、口元の印象が改善されました。
なお、同時進行で左上の犬歯は抜かせて頂きました。
全く噛み合わせに関与していない歯は、便宜的に抜いた方が良いこともあります。
Dr.より
前歯のセラミック治療は私が最も得意としている診療メニューです。
前歯の変色や欠けや脱離でお悩みの方は、ぜひ当院にご相談下さい。
前歯のセラミックの作製は、私が信頼する歯科技工士の石山雄基が担当いたします。

石山先生から患者様へのコメント
はじめまして。藤沢 くげぬま海岸歯科クリニックの前歯のセラミック歯を担当している石山です。
前歯にコンプレックスがあり、うまく笑えなかった患者様に、笑顔になって頂けることが生き甲斐です。
世界水準の最先端歯科技工を軸に、患者様一人一人の魅力を最大限に引き出し、ご自身の歯のようにお使いいただける本物の歯を作り上げていきます。
症例の治療に必要な標準的な費用
352,000円(税込)
前歯用プレミアムセラミック2本→1本あたり165,000円(税込)
ファイバーコア1本→1本あたり22,000円(税込)
主なリスク・副作用
セラミックが稀に欠けたり、外れることがあります。
その場合は10年保証が付いていますので、速やかに対応いたします。
ほとんどの歯科医院において保証期間はMAX5年という場合がほとんどです。
保証期間を10年お付けできるのは、当院のセラミック治療の自信の表れです。
施術名
ジルコニアセラミッククラウン
施術の説明
天然歯を精密に削って、型をとり、ミリングマシーンが削り出したジルコニアの上に、歯科技工士がポーセレンを盛り、審美性に優れた被せ物をセットする方法です。