目次
年齢・性別
50代・女性
来院動機
前歯の差し歯が取れた。
他院に通っていたが、前歯のインプラントはできないと言われたので、専門的な医院で施術を受けたい。
治療内容
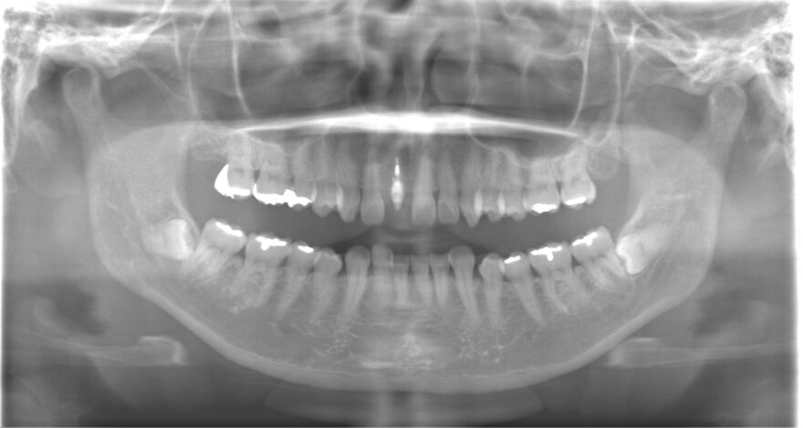
事前の精密検査
初診時のレントゲン写真

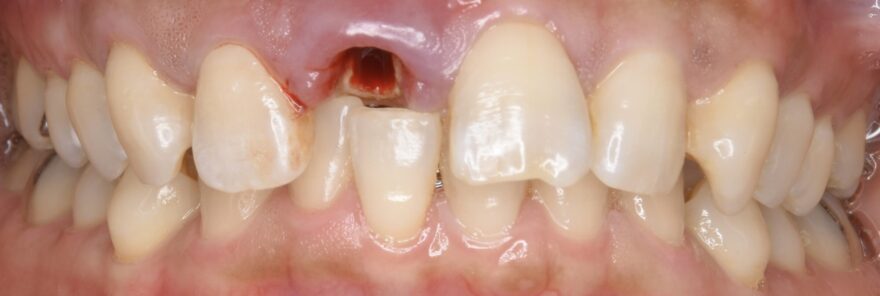
初診時の口腔内写真

治療方針
私はインプラント専門医ですが、顕微鏡治療と歯周病治療を駆使することで、極力歯を抜かないことを心がけています。
ただ、ここまで残っている歯根が小さい場合は、インプラント治療必須となります。
悪い歯を抜いて即日でインプラントを埋め込む「抜歯即時埋入インプラント」
即日で仮歯が入り柔らかいものなら食べれる「即時荷重インプラント」
国内海外問わず良い手法を積極的に取り入れることで、痛くない、辛くない、治療期間が短い、インプラント治療を患者様にお約束します。
オペ中の口腔内写真










治療後のレントゲン写真

治療後の口腔内写真

治療の工程をシンプルにすることが、インプラント治療成功の秘訣です。
Dr.より
当院のインプラント治療の平均的な治療期間は僅か3ヶ月。
またインプラントオペの平均時間は1本あたり15分のみ。
私は毎日インプラントオペを行なっています。
また、最終的な被せ物のクオリティにこだわりを持っています。
痛くない辛くないオペと美しいセラミック加工技術で、美しい口元の再建をお約束します。
症例の治療に必要な標準的な費用
前歯プレミアムインプラント
495,000円(税込)
主なリスク・副作用
インプラント治療には「腫れ・痛み・違和感・出血・感染」などのリスクがあります。
また、稀にインプラントと骨が結合しないことがあります。
もし万が一、インプラントと骨が結合しない場合は、すぐに再埋入手術を無料で行わせて頂きます。
施術名
インプラント治療
施術の説明
インプラント治療とは、歯を失ったところにチタン製の人工歯根を埋入し、新しく歯を再建する方法です。