全顎治療(フルマウス治療)の費用
Costs全顎治療は“口腔内全体を一つの機能として再建する治療”なので、インプラント1本の治療のように「一律のわかりやすい料金」とはなりません。
ただし、治療費用の“決まり方”を理解すると、「なぜこの金額になるのか」「どこに価値があるのか」が可視化され、治療費への不安が減ります。
全顎治療(フルマウス治療)の費用相場と内訳
全国的な相場は?
全顎治療は、「治療内容の組み合わせ」で総額が変わります。
- 軽度(主に被せ物中心・精密根管治療):約300〜500万円
- 中等度(被せ物+少数インプラント):約500〜700万円
- 重度(多数インプラント・矯正併用など):約700〜1,000万円
上記は全国の一般的な目安で、実際の費用は次の要素で変動します。
- 残せる歯の本数
- 噛み合わせの崩壊度
- 根菅治療(神経の治療)の必要性
- 歯周病の進行度
- 欠損(歯がない部分)の数
- 歯列矯正の必要性
- インプラントの埋入本数
費用の内訳:全顎治療は「家造り」に似ています
全顎治療の費用は、大きく以下の要素で構成されます。(分かりやすいように「家づくり」に例えて説明します)
-
STEP01
検査・診断・治療計画【家に例えると“設計図”】
- レントゲン、CT、口腔内写真、歯周病検査、噛み合わせ分析 など
- 治療の順番(どの歯を残すか/どこをインプラントにするか/歯列矯正を併用するか など)
- ゴール設定(審美性・機能性・耐久性・清掃性)
全顎治療は、最初の設計が曖昧だと「途中で治療方針がブレる」「やり直しの治療が増える」リスクが高まります。
最初に患者様としっかりと相談し、ゴールと優先順位を共有しておくことで、無駄な施術を減らし、結果として治療期間の短縮につながります。 -
STEP02
土台を整える治療【家に例えると“基礎工事・見えない部分の施工”】【重要】
- 歯周病治療
- むし歯治療
- 精密根管治療(神経の治療)
- 抜歯(長期的に保存が難しい歯の場合)
- インプラント埋入
- 歯列矯正(必要に応じてご提案)
見た目を整える前に、歯茎・顎骨・残っている歯を安定させることが、全顎治療では非常に重要です。
この“基礎”が整っていることが、最終的なセラミック歯やインプラント上部構造の長期安定につながります。 -
STEP03
精密な仮歯(プロビジョナル)による咬合再構成【家に例えると“実物大の試作”】【完成度を左右する工程】
全顎治療で最も重要なのが プロビジョナルと呼ばれる仮歯です。
最終的な被せ物を入れる前に、プロビジョナルで- 噛み合わせ
- 見た目
- 発音
- 滑舌
- 顎関節や筋肉との調和
- 清掃のしやすさ
- 笑ったときの歯の見え方
などを整え、必要に応じて微調整を重ねていきます。
この工程は、治療の完成度に直結するため、当院ではとても大切にしています。
患者様の感覚(噛みやすさ、見た目、話しやすさ)も確認しながら、より良い形へ近づけていきます。
患者様が納得できるまで、2回3回とプロビジョナルを作製し、満足できる歯の形態を突き詰めていきます。 -
STEP04
最終補綴(セラミック歯の装着)【家に例えると“仕上げ”】
プロビジョナルで作り込んだ噛み合わせや形態を、最終的なセラミック歯へ置き換えていきます。
STEP01〜STEP03を丁寧に積み上げることで、見た目だけでなく、機能性と長期安定性を兼ね備えた被せ物を目指すことができます。
当院の全顎治療(フルマウス治療)が選ばれる5つの理由
全顎治療は、単に「歯を白くする」「歯をキレイにする」だけの治療ではありません。
歯並び・噛み合わせ・歯茎・顎骨・顎関節・見た目・清掃性を含めて“口腔内を再構築する治療”です。
当院が全顎治療で大切にしている点を、5つにまとめます。
01CT撮影による精密診断
顔面の歪み・顎の関節のズレ・すべての歯の状態を正確に把握するため、当院ではCT撮影による精密診断をすべての全顎治療症例で行っています。
3次元の撮影データをもとに、骨の厚みや神経・血管の位置を正確に把握し、インプラントを埋め込む最適な位置・角度・深さをミリ単位で計測しています。
また、インプラントなどの外科処置に加え、歯をできる限り残すための精密根管治療や歯周病治療の診断にもCTを活用し、将来を見据えた長期的に安定する治療計画の立案を行っています。

02世界水準のデジタル設計による咬合再構成
当院では、
- 顔貌写真
- 口腔内写真
- 顔面全体のCT
- 口腔内スキャナーによる歯列データ
これらの資料を総合的に解析しています。
その上で、全顎治療(フルマウス治療)専門の歯科技工士がデジタルデザインにより、患者様一人ひとりに最適な噛み合わせを構築します。
顔貌バランス、顎関節、咬合高径、審美性、機能性、などを総合的に考慮し、20年、30年先を見据えた咬合再構成治療を行っています。
当院の全顎治療(フルマウス治療)におけるセラミック歯製作を担当するのは、歯科技工士・高畑寿也先生。
全顎治療(フルマウス治療)の症例数は1,000症例以上と、豊富な経験と高い技術力を有しています。

03仮歯(プロビジョナル)で精密な噛み合わせを作り込む
全顎治療は“セラミック歯を入れる前”が最重要です。
プロビジョナルで歯並びと噛み合わせを再建し、顎や筋肉とのバランスまでを考慮しながら仕上げます。

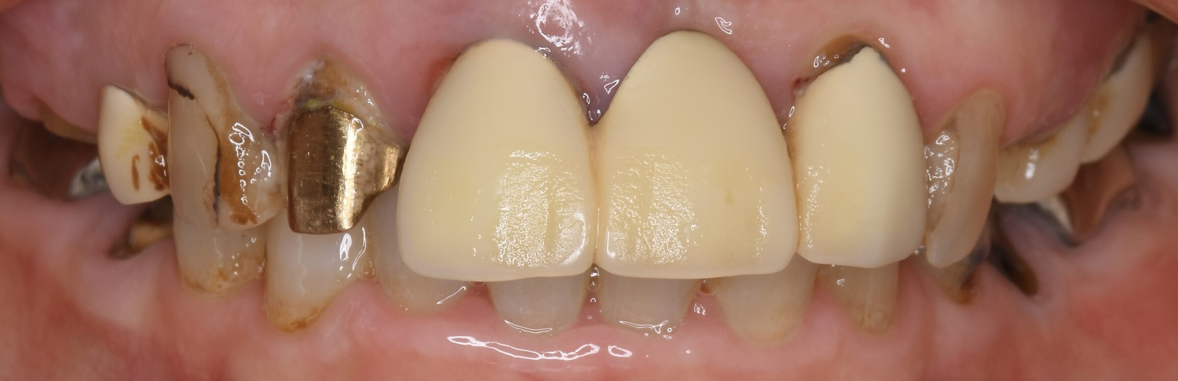
治療前の口腔内写真。
噛み合わせが崩壊していることがわかります。

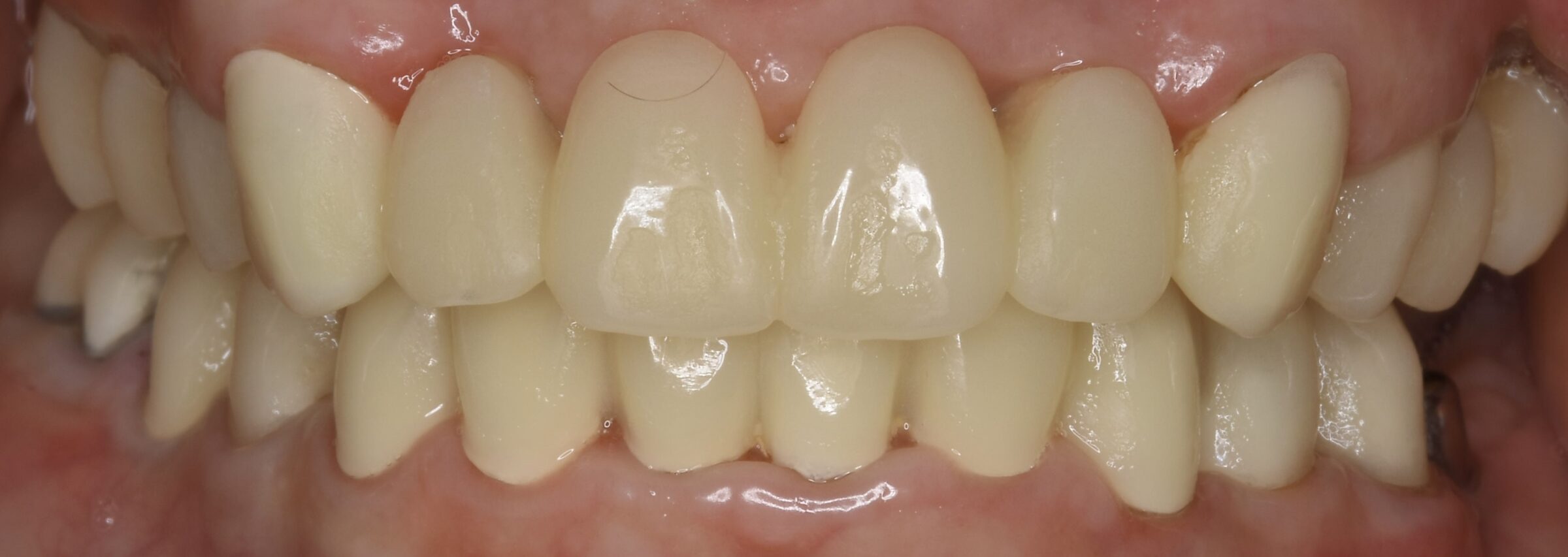
高畑先生が作製したプロビジョナルをセット後の口腔内写真。
仮歯といっても、十分な美しさと強度を兼ね備えています。
04最新の医療を提供できるチーム体制
歯科医療の中でも、とりわけ難易度が高いとされる全顎治療を高い精度で提供するには、各分野の専門性を結集したチーム医療が欠かせません。
全顎治療の主治医として、治療計画の立案から最終結果まで責任を負うのは、院長です。
そのうえで当院では、治療の質をさらに高めるために、矯正・外科・補綴・歯周治療・矯正・疼痛管理・メインテナンスなど、必要となる領域を院内チームで密に連携し、患者様の状態に合わせてベストな治療を組み立てています。
また、治療の一部を外部へ委託するのではなく、診断から治療、アフターケアまで院内で完結できるワンストップ体制を整えています。
治療の流れが一本につながることで、情報の行き違いや診療方針のブレを防ぎ、結果として患者様の不安も少なく、スムーズに治療を進めることができます。
位置異常のある歯に対しては、
- その歯を抜いて適切な位置にインプラントを埋め込んで補う方法
- 矯正治療によって矯正治療で歯を適切な位置へ移動させる方法
この2つのアプローチがあります。
芝田先生担当の歯列矯正を併用することで、可能な限りご自身の歯を温存する治療計画の立案も可能です。

「一気に治療をたくさん進めたい」
「手術(オペ)が怖い」
「短期集中治療を受けたい」
以上のような患者様のために、当院では静脈内鎮静法(点滴麻酔)による睡眠無痛治療をご用意しています。
中島先生が患者様の鎮静管理を担当することで、『うとうと眠っているような状態のまま』治療が進みます。

05治療後まで見据えたアフターフォローと保証制度
全顎治療は「セラミックを入れたら終わり」ではありません。
良い状態を長く維持するためには、治療後の噛み合わせのチェックと、歯茎・インプラント周囲の状態を守るための定期的なメンテナンスが欠かせません。
当院では、治療後の安定までを治療の一部と考え、アフターフォローを重視しています。
また、インプラント本体(顎骨に埋め込まれている部分)およびプレミアムセラミック歯については、患者様に長期的な安心を持っていただけるよう、10年間の保証制度を設けています。

これまで当院で行ってきた全顎治療において、トラブルの発生は非常に少ない傾向にありますが、万が一不具合が生じた場合でも、状況を確認のうえ、保証規定に基づいて適切に対応いたします。
「高額な治療だからこそ、治療後が心配」
そう感じる方も多いと思います。
当院では、治療後も責任を持ってサポートし、できる限り長く快適にしっかり噛める状態を維持できるように努めています。
※保証の適用には、半年おきの定期メンテナンスの受診など一定の条件があります。詳細はカウンセリング時にご説明いたします。
医療費控除と院内分割払いについて
医療費控除とは?
医療費控除は、1年間(1/1〜12/31)に支払った医療費が一定額を超える場合、所得から差し引ける制度です。
国税庁の案内では、控除額は次の考え方で計算され、上限は200万円です。
- (実際に支払った医療費 - 保険金などで補てんされる金額) - 10万円
※総所得金額等が200万円未満の方は総所得金額等の5%
当院の全顎治療(フルマウス治療)は、『機能回復を目的とする治療』ですので医療費控除の対象になります。
美容外科クリニックで行われるような、『美容や審美のみを目的とする治療』が目的の場合は対象外となることが多いです。
交通費も対象になることがあります。
通院に必要な交通費(公共交通機関など)は医療費控除に含められる場合があります(領収書・記録は保管推奨)。
院内分割払いについて
私たちは、患者様に最善の治療を無理ない形で受けていただきたいと考えています。
もちろん、困っている箇所だけの「部分治療」には一定のメリットがあります。
しかし、長い人生を見据えると、お口の中全体をしっかり治しておくことは、結果として再治療の回数を減らし、生涯の歯科治療費のトータルコスト削減につながるケースも少なくありません。
全顎治療(フルマウス治療)は、口腔内全体を治療の対象とするため、治療費が高額になりやすい治療です。
そこで当院では、患者様のご負担を平準化し、あわせて医療費控除も活用しやすくなるよう、**院内分割払い(無金利)**をご用意しています。
たとえば、矯正治療を併用する全顎治療(フルマウス治療)では、治療期間が3年にわたることもあります。
仮に治療費総額が600万円の場合、治療開始時に200万円、翌年に200万円、さらに翌年に200万円といった形で年ごとに分けてお支払いいただくことで、各年の医療費控除を活用しやすくなるよう配慮しています。
※お支払い方法・回数は治療内容やスケジュールにより異なります。
詳しくはカウンセリング時にご相談ください。
世帯所得1,000万の方が治療費総額600万の全顎治療を受けた場合のシミュレーション
- 各年の医療費控除額(所得控除)
医療費控除=(その年に実際に支払った医療費 − 保険金など)− 10万円(上限200万円)
| 各年の支払い額 | 2,000,000円 |
|---|---|
| 控除額 | 2,000,000−100,000=1,900,000円 |
今年:190万円
来年:190万円
再来年:190万円
- 税金がどれくらい減るか(概算:世帯所得1,000万想定)
医療費控除は「税額」ではなく「所得」から引かれるので、減税額は税率で変わります。
目安(多くのケースでのイメージ)としての参考値を記載します。
| 住民税 | 1,900,000 × 10% = 190,000円/年 |
|---|---|
| 所得税 | 年収(世帯所得)1,000万の場合、申告者の状況によりますが限界税率が23%くらいになるケースが多いです。 1,900,000×23%=437,000円/年 |
| 復興特別所得税 | 所得税×2.1%(少額) |
合計(概算)
437,000 +(437,000×2.1%=9,177)+ 190,000 = 約636,177円/年(約63.6万円)
3年合計(概算)
約63.6万円/年 × 3年 = 約191万円の節税となります。
まとめ
全顎治療(フルマウス治療)の費用は、
- 歯周外科処置の有無
- 精密根管治療(神経の治療)の有無
- インプラントの必要本数
- 歯列矯正の有無
などで決まります。
相場としては、300万円〜1,000万円と幅がありますが、「高くても選ばれる治療」には理由があります。
- CT撮影による精密診断
- 世界水準のデジタル設計による咬合再構成
- 仮歯(プロビジョナル)で精密な噛み合わせを作り込む
- 最新の医療を提供できるチーム体制
- 治療後まで見据えたアフターフォローと保証制度
治療費用の不安がある方は、『金額』の前に「優先順位」を一緒に整理していきましょう。
患者様一人ひとりの状態とご希望に合わせて、無理のない治療計画をご提案します。
