目次
みなさんこんにちは。
藤沢市鵠沼海岸にある歯医者、医療法人社団 くげぬま海岸歯科クリニックです。
最近は歯科矯正に興味を持たれている患者様が多く沢山お問い合わせを頂きます。
でも「実際のところ、痛い?大変?どれくらい見た目が変わるの?」
など、気になることはたくさんありますよね。
そこで今回は、当院スタッフが 実際に矯正治療を受けた体験談を、
質問形式でわかりやすくお伝えします。
矯正体験者のリアルな声をぜひ参考にしてみてください♪
【Q&A:衛生士Tの矯正体験談】
Q1. どうして矯正治療を始めようと思った?
A:
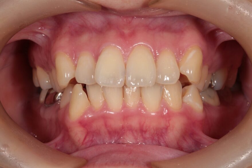
昔から前歯の重なりや全体的な歯並びの悪さが気になっていて、口元にコンプレックスがありました。
仕事で患者さまと接する中で、矯正のメリットを改めて知ったことも後押しとなり、
「自分もきれいな歯並びになりたい!根本的に良い治療がしたい!」と思って始めました。



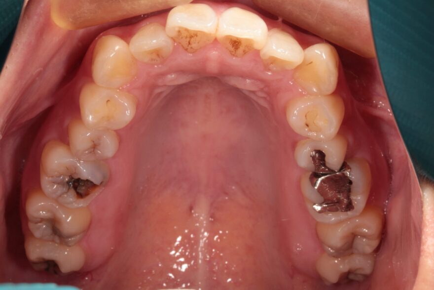
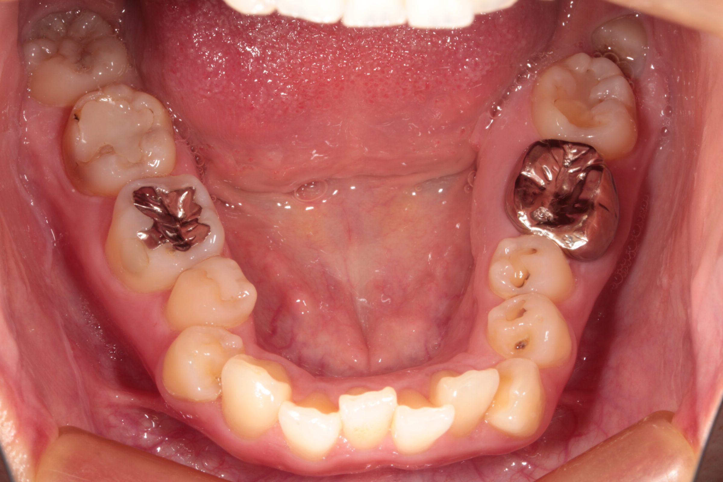
ガタガタに重なっている部分や、過去の治療で銀歯も入っています。
昔から歯は弱いほうで、トラブル続きだったこともあり、色々治療はしていましたが根本解決はせず…
当院の院長によるセラミック治療と矯正専門医の芝田Dr.によるワンストップ治療で一生困らないように治療していこうと踏み切ることが出来ました。
Q2. 初診から矯正スタートまでの流れは?
A:
- 矯正資料どり(写真・レントゲン撮影や口腔内の型どり等)
- 矯正診断(芝田Dr.との相談)
- 口腔内スキャナーで精密な型取り
- 矯正プランの確認
- マウスピース装着開始
特に光学スキャナーによる型取りは思ったよりスムーズで快適でした。
ガムのような材料(アルジネート)が苦手な方は多いですよね…
最初の資料どりの際も、別料金にはなりますが、ご希望があれば光学スキャナーを使っての模型外注も可能です。

私の場合は、矯正前に治さないといけない箇所が多く、また親知らずも全て抜歯する必要があったので、スタートまでに数カ月かかってしまいました!!
装置の発注や、虫歯治療など、意外とスタートまでに時間がかかることもあるので矯正診断は早めに受けておく事をお勧めします!!
Q3. 矯正装置は何を選んだ?
A:
私は マウスピース矯正(インビザライン) を希望していました。
理由は、
- 仕事中でも目立たない
- 取り外しができて歯磨きがしやすいので衛生的
といった点で矯正治療へのハードルが低く感じました。

実際マウスピース矯正をしている間は、ワイヤーが無いので人に気づかれることもほぼ無く、食事の時は外すことが出来るので
食べ物が引っかかることもなく快適でした。
しかし、私の場合は自分の癖や口腔内の状況的にマウスピースだけでは歯の動きが悪く、次の方法も考えることに…
治療途中でどうしても動きが悪い箇所が出てきてしまったんです。
これは個人的な要因でもありますが『歯ぎしり・くいしばり・舌癖』などで奥歯のかみ合わせが中々合わなくなっていました。
このまま続けてもいずれは改善する見込みはありましたが、時間もかかるので芝田Dr.と相談し
表側のワイヤーに変更!!問題なく改善していきました!!
当院の矯正専門医の芝田は、マウスピース矯正は勿論の事、表側矯正、裏側矯正も対応可能ですので、このように最初の計画で思うように進まない箇所が出た場合も、より良い方法でしっかりとリカバリーすることが出来て安心でした。
ワイヤーも目立たないホワイトワイヤー・セラミックブラケットを追加料金なしで使用しているので、思った以上に目立たなかった事も嬉しかったです♪

Q4. 痛みはあった?日常生活で困ったことはある?
A:
◆インビザラインの場合は最初の2〜3日は「じんわり締めつけられる感じ」がありましたが、
痛み止めが必要なほどではありませんでした。
日常生活では、
- 食事の前に外す
- 食べたらつける前に歯磨き
といったルールが少し面倒に感じる程度でした。
マウスピースを失くしてしまうと、海外の工場に再発注になってしまうので、外食でお酒を飲む時などは酔う前に先に仕舞っておくように気を付けていました。笑
何時間使ったか自分で把握してマウスピースを取り換えていくので、カレンダーでいつマウスピースを変えたか管理していました。
◆表側のワイヤー矯正の場合は、調整した日から2~3日は食パンの柔らかい部分(ランチパックでも…!)も噛むと痛い時があり、固形物を避けてスープやおかゆで栄養を取っていました。
ただ、数日で痛みはなくなるので、その後は普通に食事ができますよ。
ワイヤーに葉物野菜やお肉の繊維が絡まるので、外食の時などはそれが面倒でしたね。歯ブラシを持ち歩いていました。
その代わり、逆に自分で管理しなければいけない事はあまりないので、慣れてしまえば楽でもありました。
次回は、矯正中に困ったことや、効果を実感したタイミング、驚きの仕上がりも♪
是非Vol.2もご覧くださいね!
藤沢市鵠沼海岸にある歯医者、医療法人社団 くげぬま海岸歯科クリニックでは24時間WEB予約を承っております。
少しでも気になることがございましたら、是非一度ご予約いただき、ご来院ください!
WEB予約はこちら
電話予約:0466-54-7886
ブログ監修者 院長 三浦陽平