目次
年齢・性別
50代・女性
来院動機
右下の奥歯がなくて、ご飯が食べれない。
歯並びも悪くて、ずっと歯で悩んできた。
銀歯も痛くて気になる。
治療内容
事前の精密検査
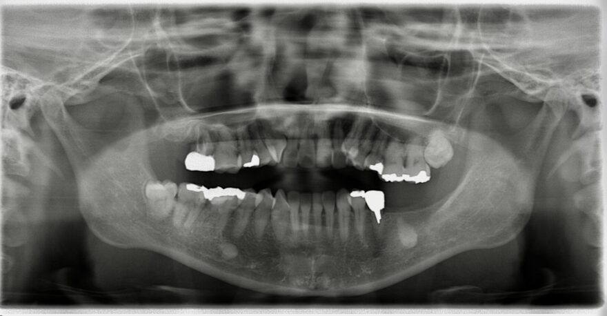
初診時のレントゲン写真

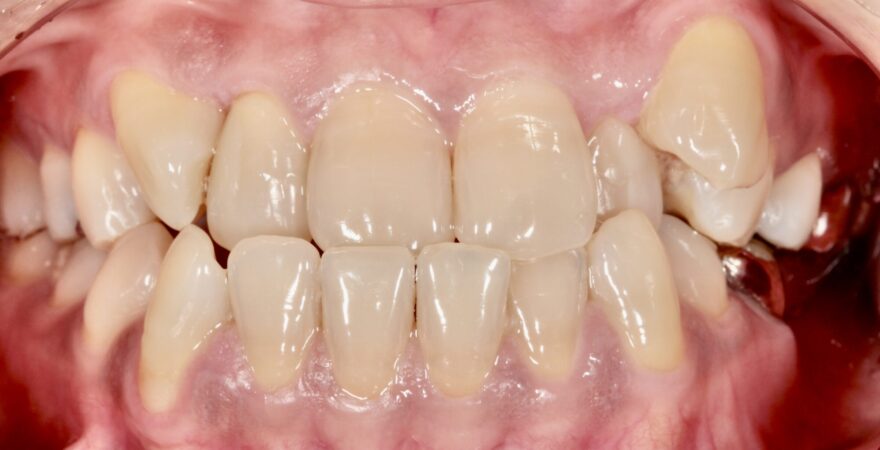
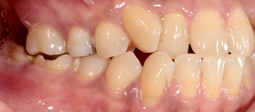
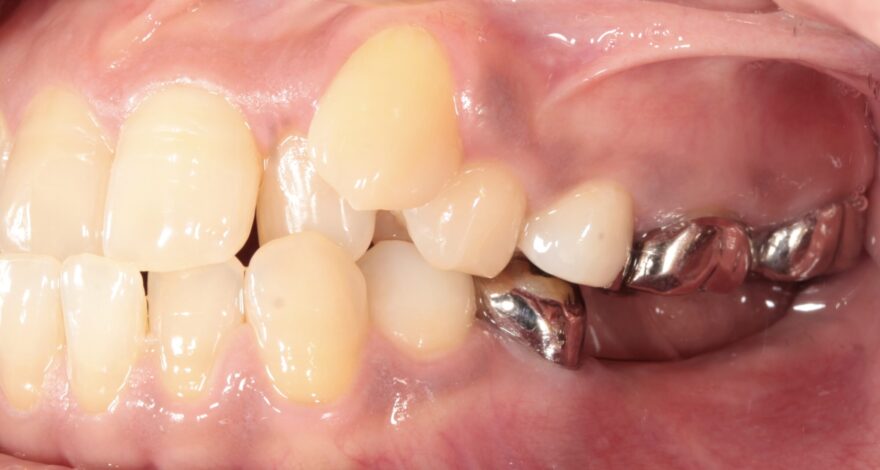
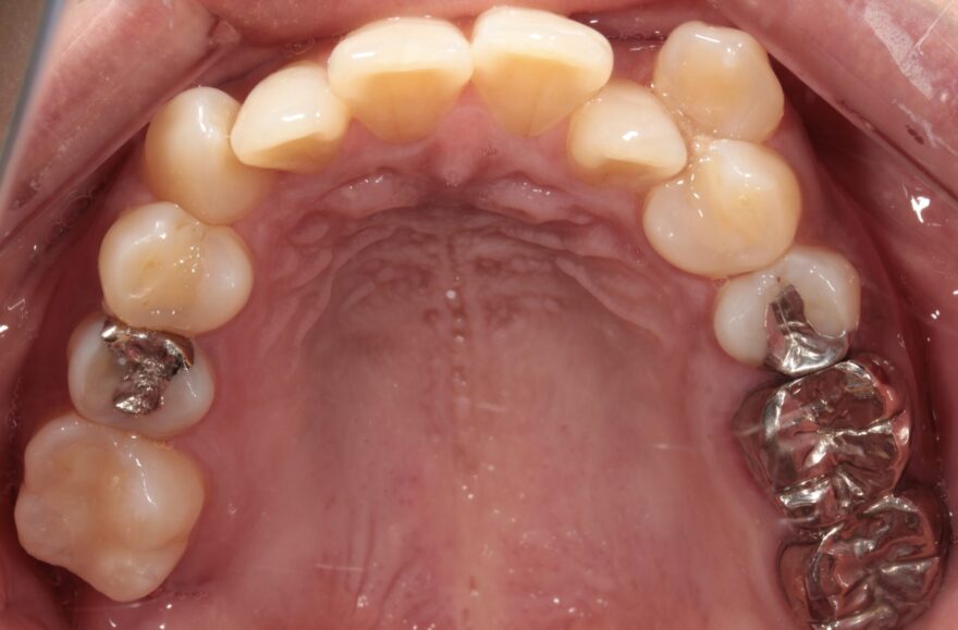
初診時の口腔内写真


左下の奥歯が崩壊しています。

右下の奥歯を失い、噛み合わせが歪んでいることが分かります。

右上の八重歯が気になります。

治療方針
フルマウス治療(全顎治療)=『全ての歯を削りセラミックを被せる治療』
フルマウス治療(全顎治療)=『位置が悪い歯を抜いてインプラントを入れる治療』
というイメージをお持ちの方も多いかも知れません。
しかし、これは少し古い考え方と言えます。
当院では、矯正治療を併用することで、歯を削る量を最小限にすることを心がけています。
①歯の位置が不正な場合は、矯正治療で歯を動かすことで削ることを避ける。
②元々、銀歯が入っているような歯も、矯正治療で適正な位置に動かすことで、むし歯と歯周病の再発リスクを下げる。
③インプラントと隣接する歯、インプラントと噛み合う歯、を矯正治療で適正な位置に動かすことで、インプラントが長持ちする。
④無理な角度や方向性の被せ物(セラミック修復)を避けることで、セラミック歯が長持ちする。
⑤削ってセラミックを被せる歯が減るので、治療費が安くなる。
矯正治療と併用すると、以上のようなメリットがあります。
矯正治療は「見た目の改善」だけが目的ではありません。
フルマウス治療が20年30年と長持ちするために欠かせない、大事な工程と言えます。
今回の症例では、矯正治療とインプラント治療とセラミック治療を組み合わせることで理想的な噛み合わせを目指す計画を立てました。
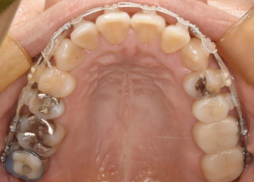
治療中の口腔内写真





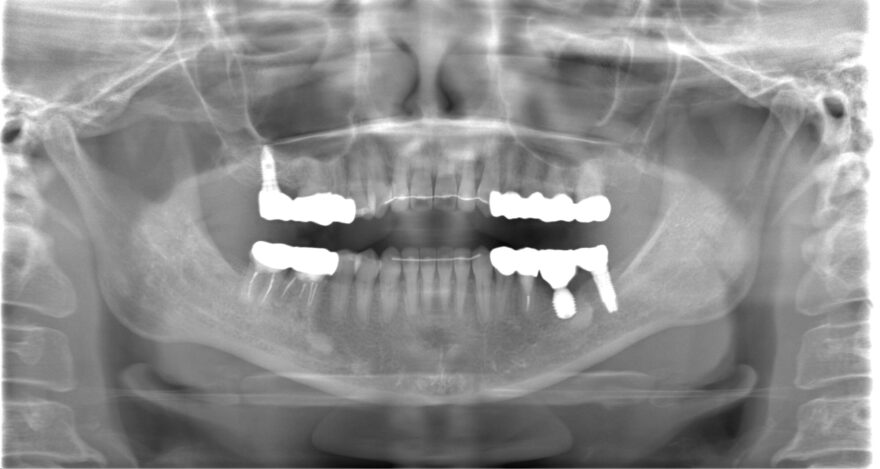
治療後のレントゲン写真

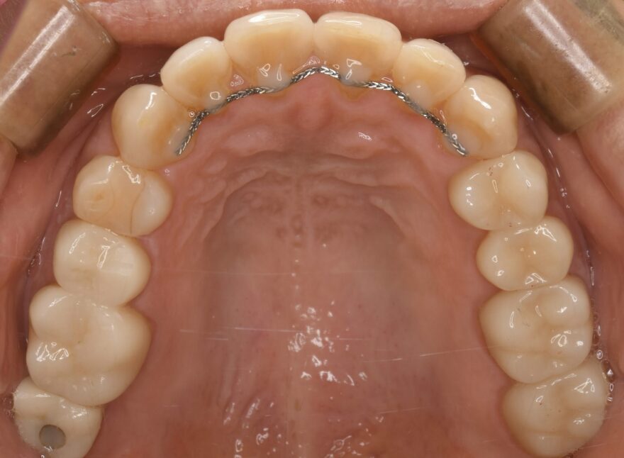
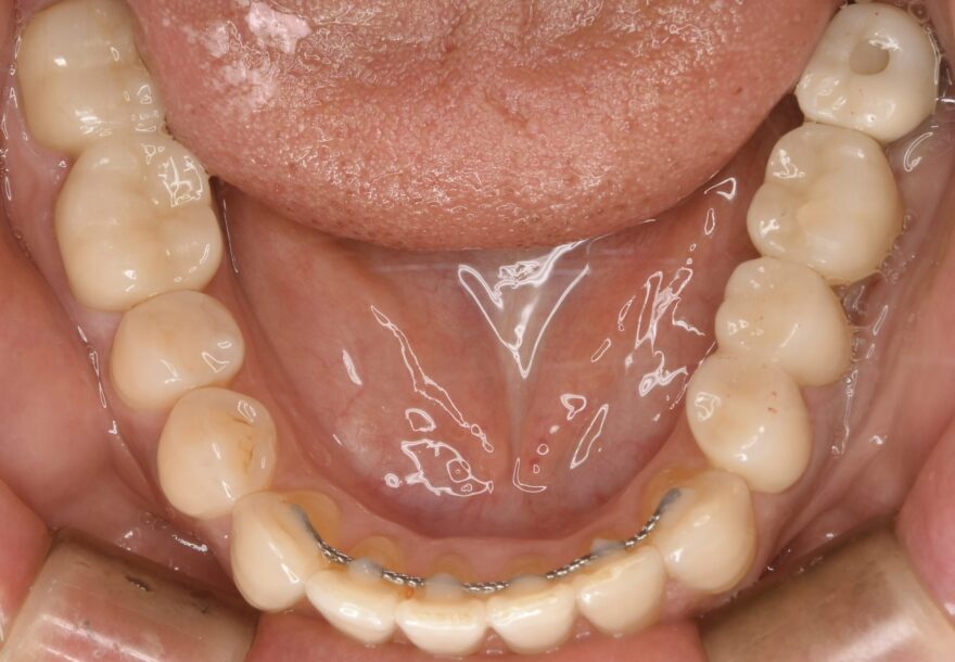
治療後の口腔内写真




なお前歯には、後戻り防止のためのワイヤーを装着しています。

下顎の前歯にも、後戻り防止のためのワイヤーを装着しています。
Dr.より
噛み合わせ歯並びが悪い場合は、
Ⅰ 矯正治療で適切な位置に動かして整える。時間はかかるが治療費は安い。
Ⅱ 位置が悪い歯を抜いてインプラントを適切な位置に埋め込んで整える。時間がかからないが治療費は高い。
上記2つのいずれかを選択する必要があります。
年齢的な問題もありますが、矯正担当の芝田先生の診断により、スムーズに歯が動くことが予測できる場合は、
矯正治療を併用することを推奨します。
治療期間がトータル3年半以上になってしまいますが、時間をかけるメリットは確実に存在します。

様々な医院で治療を断られた方、歯並びがガタガタな方、歯がボロボロの方、は当院にお気軽にご相談下さい。
症例の治療に必要な標準的な費用
矯正治療(表側矯正)
検査・診断料 11,000円
装置・施術料 770,000円
調整料 5,500円×24回
保定装置料 33,000円
小計 946,000円(税込)
インプラント治療
奥歯用インプラント 440,000円×3本
矯正治療中の仮歯 165,000円×1本
小計 1,485,000円(税込)
セラミック(審美歯科)治療
奥歯用セラミック 110,000円×10本
ファイバーコア 22,000円×3本
小計 1,166,000円(税込)
総合計 3,597,000円(税込)
主なリスク・副作用
矯正治療中は、きちんと歯磨きをしないと虫歯や歯周病が進むことがあります。
インプラント治療には「腫れ・痛み・違和感・出血・感染」などのリスクがあります。
また、稀にインプラントと骨が結合しないことがあります。
もし万が一、インプラントと骨が結合しない場合は、すぐに再埋入手術を無料で行わせて頂きます。
セラミックが稀に欠けたり割れたりすることがあります。
当院のセラミック治療には5年保証が付いていますので、トラブル発生時には無料対応いたします。
(半年に1回の検診が、保証の条件となります。)