年齢・性別
30代・女性
来院動機
表側ワイヤー矯正でも、矯正装置が目立たないようにしたい。
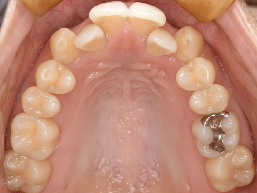
初診時の口腔内写真

上下の前歯のガタガタが気になります。

左上の2番目の前歯が、内側に引っ込んでいます。

同じように、2番目の前歯が、内側に引っ込んでいます。


治療方針
矯正装置が表側に付く場合は、どうしても金属がギラギラと目立つイメージをお持ちの方が多いと思います。
しかし、表側ワイヤー矯正においても、目立たなくすることは可能です。
当院では、全ての表側矯正の施術において、目立たないホワイトワイヤーとセラミックブラケットを使用しています。
ホワイトワイヤーとは、金属ワイヤーの表面を白色でコーティングした矯正用のワイヤーです。
・歯と同じ白色で馴染んで見える。
・金属感がない。
・審美性に優れている。
従来の一般的な金属ワイヤーと比べると、日常生活での違和感を圧倒的に軽減することができます。
白いコーティングは徐々に剥がれてはいきますが、調整時にワイヤーを交換しますので、ほぼ金属色は目立たないと思って下さい。
セラミックブラケットは、歯の色に近い半透明の素材で作られたブラケットです。
金属のブラケットとは異なり、金属色が目立ちにくいです。
安価なプラスチックブラケットとは異なり、経年劣化で汚れが沈着することもありません。
『コストを抑えた矯正治療でも、できり限り目立たせたなくない』
そんな方に最適なマテリアルです。
表側矯正でも矯正装置が目立たないことをご説明してから、矯正治療スタートとなりました。
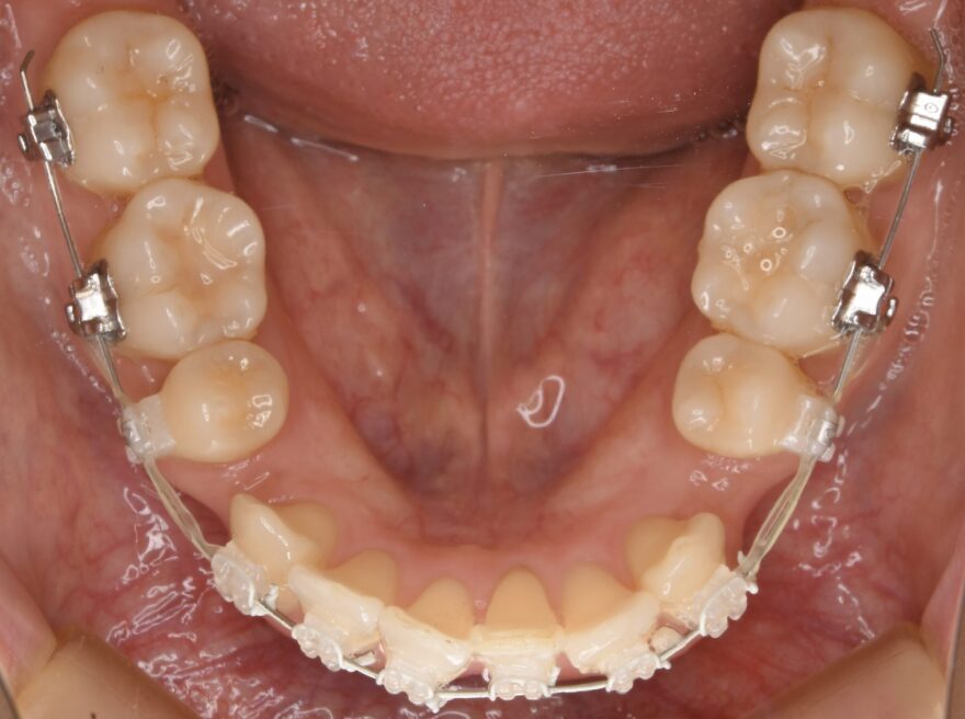
治療中の口腔内写真

上下ともには表側に矯正装置が付いています。



金属ワイヤーの外側にのみ白いコーティングがされていることが分かります。

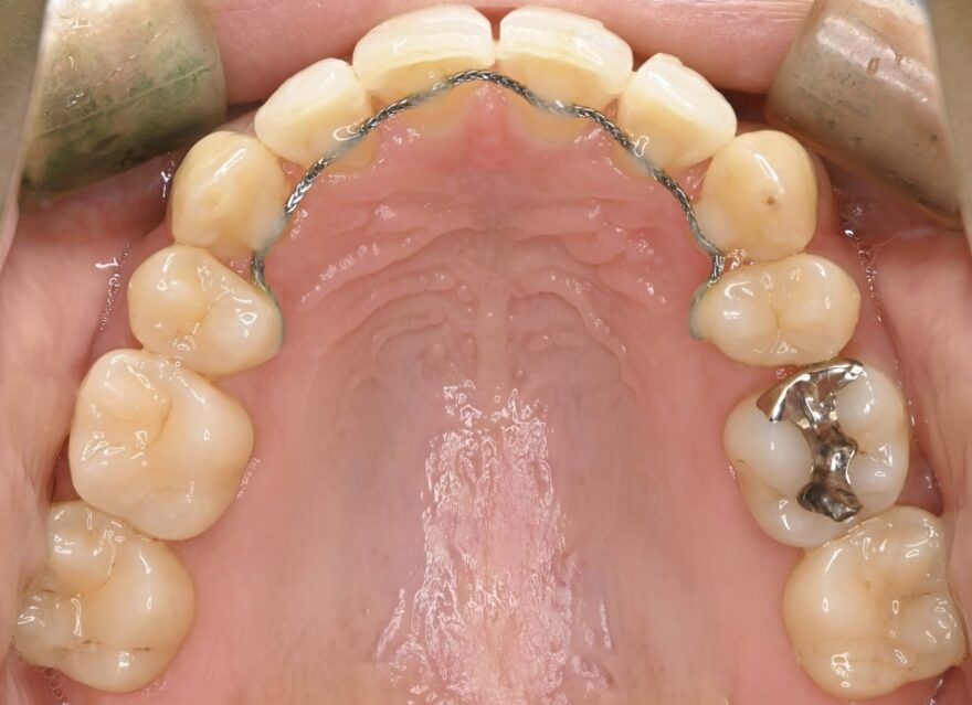
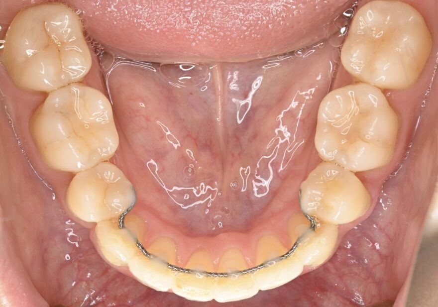
治療後の口腔内写真

約2年の動的期間(歯を動かす時期)で、ここまで美しい歯並びになりました。
ベーシックな表側矯正を選んで頂いても、最終的な仕上がりに差はありません。

前歯のガタガタが無くなりました。


前歯には後戻りを防止するための保定装置が装着されています。

下顎の前歯にもワイヤーによる保定装置を装着しました。
矯正医より
私の診療理念として、
・歯列不正がある方
・歯並びに問題があり見た目にコンプレックスを抱えている方
・噛み合わせに問題があり、将来のむし歯と歯周病の発症リスクが高い方
・顎が小さく歯並びが悪い、お子さんや若い世代の方
以上のような患者様に、早期に歯列矯正を受けて頂きたいと、思っています。
「費用が高すぎることで、矯正歯科治療を諦める方をゼロにしたい。」
「歯列不正のために、むし歯や歯周病が進行してしまい、将来的に歯を失う方をゼロにしたい。」
ベーシックな表側矯正においても、ホワイトワイヤーとセラミックブラケットの追加料金を頂かないことで、矯正歯科治療の受診ハードルを下げたいと考えております。
(神奈川県の相場として、ホワイトワイヤーの追加料金が5万円、セラミックブラケットの相場が5万円、くらいが多いです。)
症例の治療に必要な標準的な費用(当投稿日現在)
770,000円(税込) 表側矯正
- 調整費別途
主なリスク・副作用
きちんと歯磨きをしないと、虫歯や歯周病が進むことがあります。