目次
年齢・性別
70代・女性
来院動機
左上の前歯が抜けてしまった。
かかりつけの歯科医院では、ブリッジを提案されたので、インプラント治療をしてくれるクリニックを探している。
治療内容
事前の精密検査
初診時のレントゲン写真

このように、前歯の欠損部にブリッジもしくは入れ歯を他院さんで提案されてしまい、当院にご相談に来られる患者様が多数いらっしゃいます。
初診時の口腔内写真

CTによるシミュレーション

ほとんどの医院さんで
・前歯のインプラントが難しい
・骨が無いから、骨を造る処置が必要
・治療期間が1年くらい
と言われてしまう理由は、インプラントの外側(唇側)に骨が足りないことが多いからです。
今回の症例でも、右下のCT画像を見て頂くと分かるように、インプラントの外側(唇側)の骨がペラペラで薄いことが分かります。
治療方針
奥歯で、十分な骨がある場合のインプラント治療はそこまで難しくありません。
一般的に、インプラントを安定させるだけの骨量がない前歯のインプラントの方が難易度は高くなります。
また、前歯には奥歯にはない役目があります。
・見た目
・発音
・滑舌
以上の要素も含めて、患者様をご満足させる必要が前歯のインプラント治療において求められます。
インプラント治療に加えて、両サイドの前歯にもセラミック冠を被せることで、機能性と審美性の改善を行う治療計画をご提案しました。
オペ中の口腔内写真とCT写真

失った前歯の箇所の歯茎の骨が痩せていることが分かります。

直径4ミリほどの穴を開けていきます。

・人工骨移植
・自家骨移植(ご自分の骨の移植)
のいずれかが一般的に行われています。
しかし、人工骨移植には感染リスクが伴います。
また、移植した人工骨が生着しない可能性もあります。
自家骨移植には、手術箇所が増えるデメリットがあります。
インプラントを埋め込む部位に加えて、口腔内のどこかから骨を採取するため、傷口が2箇所になり痛みが倍になってしまいます。
以上の理由により、私はできるだけ骨移植を行いません。
その代わりに行なっている手法が、Densah® Burの逆回転ドリリング
このように逆回転でドリルを回していきます。
骨を削るのではく、骨を圧縮し広げることで、前歯のインプラントオペがシンプルかつスムーズに終わります。
小学校の図工の授業で、木ネジを打ち込む時に、木の削片が出てきた経験を皆さんしていると思います。
骨を削るドリルを正回転で回すと、骨の削片が浮き上がってきます。
骨を削るドリルを逆回転で回すと、骨の削片が内部に押し込まれることで、むしろ骨が増えます。


ここまでのオペ時間はわずか10分。
出血もありません。

シミュレーションと同じ位置にインプラントが埋め込まれていることが分かります。

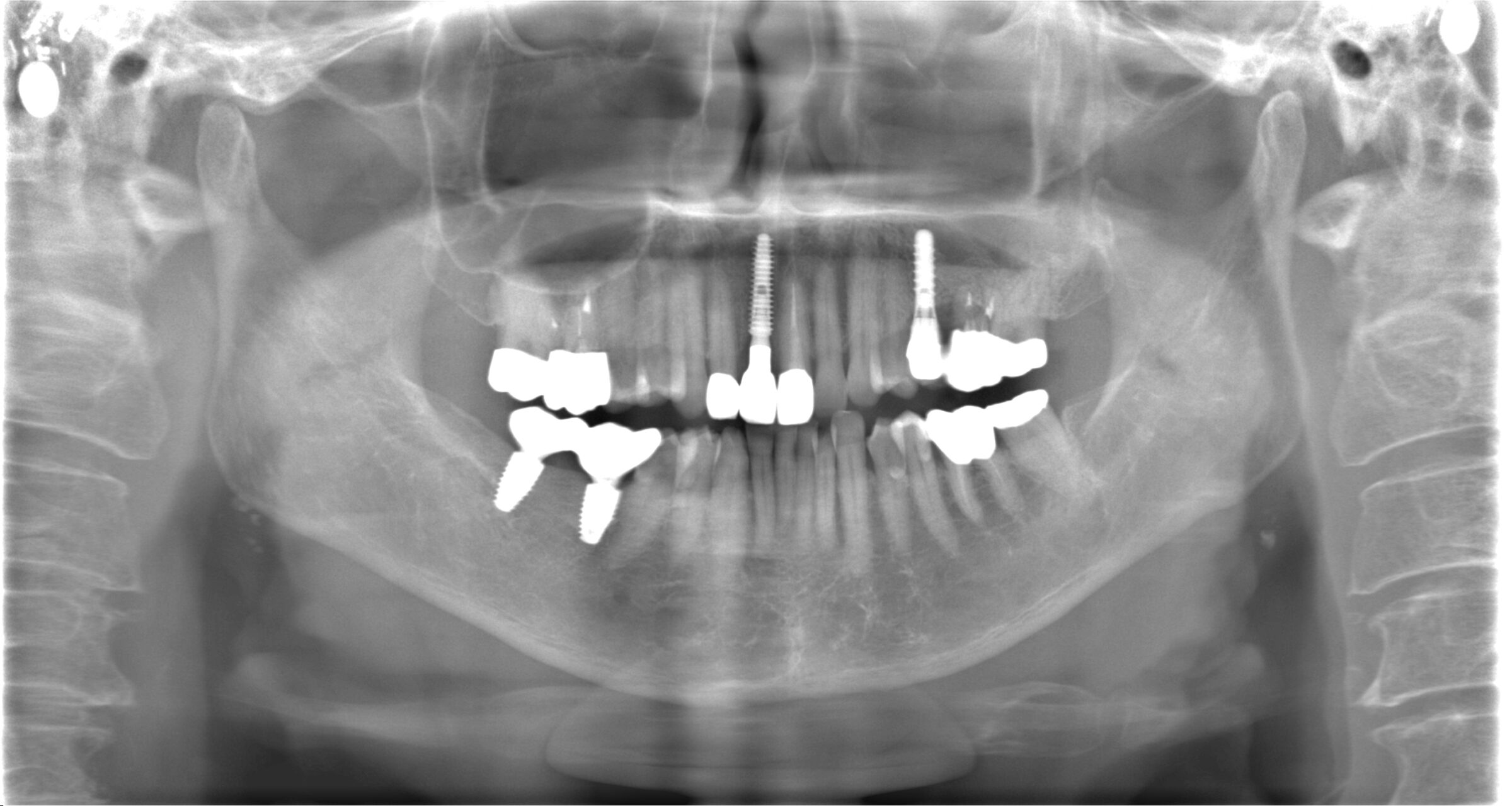
治療後のレントゲン写真

精密に施術されたインプラントは20年30年とトラブルなくお使い頂けます。
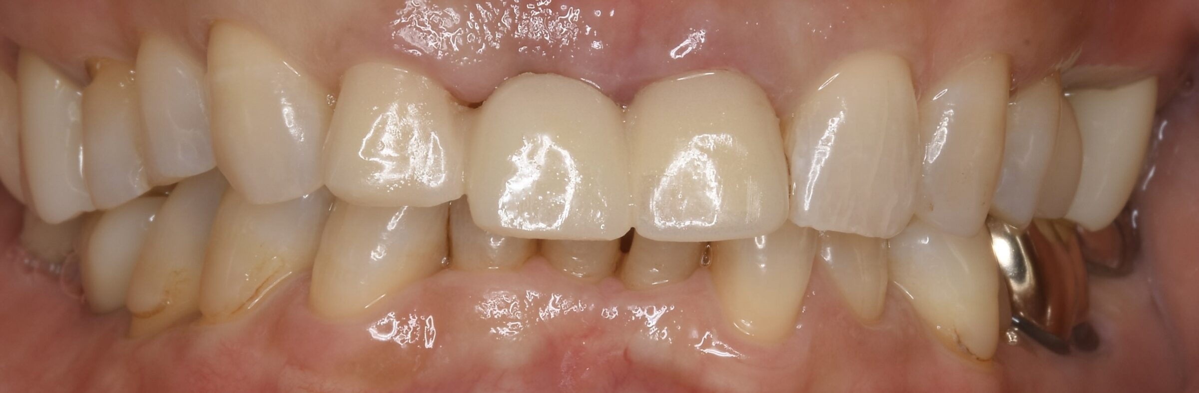
治療後の口腔内写真

たった3本の治療でも、ここまで口元の印象が改善できます。
Dr.より
前歯のインプラント治療には、複合的な様々な技術が求められるため、大半の医院においてブリッジをまず提案されることが多いです。
しかし、ブリッジの場合、歯を失った箇所の歯茎がどんどん痩せていくため、美しい見た目を長期間において保つことが困難です。
当院が最も得意としているのが、前歯の審美インプラント治療。
第三者やご家族から口元を見られても、絶対にインプラントと分からないクオリティでの仕上がりを、皆様にお約束します。
症例の治療に必要な標準的な費用
847,000円(税込)
前歯プレミアムインプラント1本→495,000円(税込)
前歯プレミアムセラミック2本→330,000円(税込)《1本あたり165,000円(税込)》
ファイバーコア1本(神経ない歯への補強材)→22,000円(税込)
主なリスク・副作用
セラミックが稀にかけたり割れたりすることがあります。
インプラント治療には「腫れ・痛み・違和感・出血・感染」などのリスクがあります。
また、稀にインプラントと骨が結合しないことがあります。
もし万が一、インプラントと骨が結合しない場合は、すぐに再埋入手術を行わせて頂きます。
いずれも10年保証が付与されていますので、トラブル時には無料対応いたします。
(半年に1回の定期検診が保証の条件となります。)
施術名
インプラント治療
施術の説明
インプラント治療とは、歯を失ったところにチタン製の人工歯根を埋入し、新しく歯を再建する方法です。