目次
みなさんこんにちは。
藤沢市鵠沼海岸にある歯医者、医療法人社団 くげぬま海岸歯科クリニックです。
複合的な治療を当院は得意としています。
・インプラント治療
・セラミック治療
・矯正歯科治療
・精密根管治療
・歯周病治療
・噛み合わせ治療
・親知らず抜歯
・睡眠無痛治療
当院では、以上のような多岐にわたる診療メニューを患者様に提供しています。
他院さんでは断られることも多い、インプラントとセラミックのコンビネーション治療を得意としています。
残せる歯は温存することを心がけています。
インプラントは素晴らしい治療方法ですが、天然歯にはかないません。
天然歯の寿命は約60年、インプラントの寿命は約30年と言われています。
当院では、歯周病治療や精密根管治療を適切に行うことで、まずは患者様の天然歯を残すことを心がけています。
そのため、当院で治療計画を作成すると、他院さんに比べインプラントの必要本数が少なくて済むようです。
治療終了後もしっかり責任を持ちます!
治療を完了してからが、ある意味本当のスタートだと私たちは考えています。
当院で施術したインプラントやセラミックが20年30年とトラブルなく長持ちするには、歯科衛生士によるメンテナンスとクリーニングが欠かせません。
誤解を恐れず言ってしまえば、私が治療したインプラントとセラミックは、定期検診に来なくてもトラブルが起きない自信はあります。
しかし、高齢化社会を迎えていることを鑑みると、60歳でインプラント治療を受けたとしても、女性の平均寿命の87歳までは27年間もあるわけです。
ざっくり言ってしまうと、10年間は定期検診に来なくてもまずトラブルは起きない。
しかし、治療後10年を経過してからは、明らかにメンテナンス・クリーンニングを受けてきた歯とは差が生じる。
一生涯、治療した箇所をノントラブルにしたい方には、定期的な検診をお勧めします。

当院のメンテナンス・クリーニング費用は安く設定されています。
当院における治療費の目安は、1本あたり税込で以下のようなイメージです。
・前歯インプラント 495,000円
・奥歯インプラント 440,000円
・前歯セラミック 165,000円
・奥歯セラミック 110,000円
再治療になることがなく、ずっと長持ちする人工歯を造るには、最新の医療機器と最高の材料が必要となります。
そのため、どうしてもある程度以上の金額が発生します。
その代わり当院では、患者様が治療後のメンテナンス・クリーニングに通いやすい価格設定にしております。
3ヶ月おきのメンテナンス・クリーニングの費用 2,500円
1年おきのレントゲン撮影・精密検査の費用 2,500円
1年間のトータルメンテナンスコストは僅か12,500円となります。

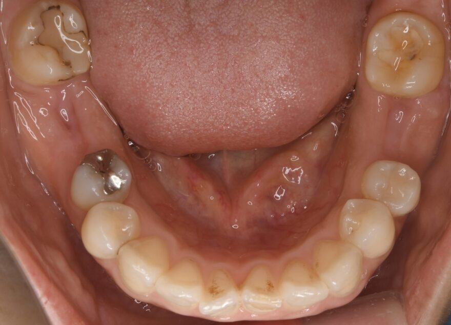
奥歯のインプラントと前歯のセラミックのコンビネーション治療例
初診時の口腔内写真


初診時のレントゲン写真

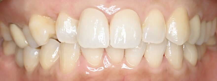
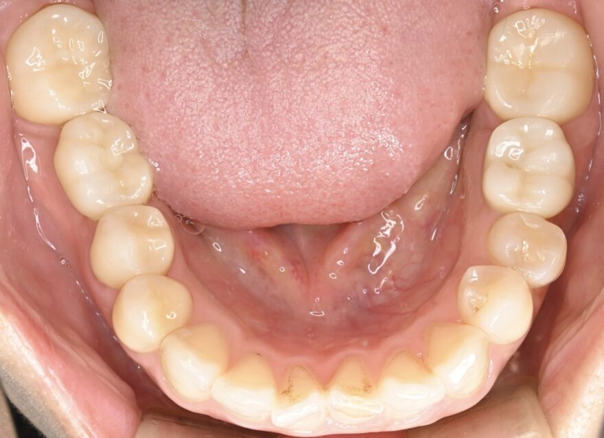
治療後の口腔内写真

左上の八重歯を抜くことで、よりバランスが取れた美しさになりました。

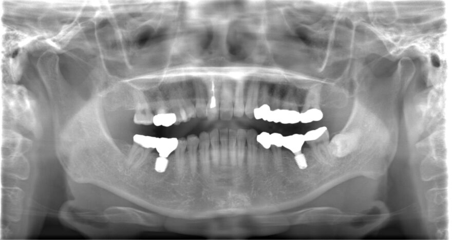
治療後のレントゲン写真

この症例の治療費
前歯プレミアムセラミック2本→330,000円(税込)
《1本あたり165,000円(税込)》
ファイバーコア1本(神経ない歯への補強材)→22,000円(税込)
奥歯インプラント2本→880,000円(税込)
《1本あたり440,000円(税込)》
奥歯用セラミック3本→330,000円(税込)
総額 1,232,000円(税込)
この症例のリスク
セラミックが稀にかけたり割れたりすることがあります。
インプラント治療には「腫れ・痛み・違和感・出血・感染」などのリスクがあります。
また、稀にインプラントと骨が結合しないことがあります。
もし万が一、インプラントと骨が結合しない場合は、すぐに再埋入手術を無料で行わせて頂きます。