目次
みなさんこんにちは。
藤沢市鵠沼海岸にある歯医者、医療法人社団 くげぬま海岸歯科クリニックです。
今日は銀歯のリスクについて解説します。
銀歯には強い毒性があります。
日本の虫歯治療において、最も多用されている銀歯。
実は銀歯は他の国には存在しません。
銀歯の中に含まれているパラジウム合金には、非常に強い毒性があるためです。
パラジウムによる金属アレルギーの症状としては、
・顔や全身の湿疹
・手足の皮向けや水膨れ
・舌のただれ
・味覚の異常
・口内炎
・口唇炎
・頭痛
・肩こり
・立ちくらみ
以上のように多岐にわたります。
そのため、ドイツやスウェーデンのような歯科医療先進国において、歯科医師が銀歯を患者様に使用した場合、刑事罰の対象となってしまいます。
銀歯にもメリットはあります。
保険診療の適応となるため、安価な治療費で虫歯を治すことができます。
銀歯の治療費の目安は、1本あたり3,000円から6,000円。
そのため、お子さんや学生さんなど、お口の中に高額な治療費をかけれない年代の方には、メリットも存在します。
日本の健康保険制度は素晴らしい側面もあります。
全ての方に安価な治療を提供するために、銀歯を使用することはやむ負えないとも言えます。
過去の自分の立場で考えてみても、学生時代に虫歯になってしまい、歯医者さんで治療費が10万円以上と言われたら困ってしまうでしょう。
銀歯にはデメリットがたくさんあります。
①銀歯の中でまた虫歯になってしまう。
銀歯は金属なので、噛む力で少しづつ変形していきます。
変形してできた隙間に汚れが溜まりやすくなるため、虫歯菌が銀歯の内部に侵入していきます。
しかし、銀歯の内部は定期検診時にレントゲン撮影をしても、虫歯の進行を確認できません。
そのため、気が付かないうちにどんどん虫歯が進行し、最終的には神経を失う事態になることもあります。
②歯周病になりやすい。
銀歯が少しづつ歪んでいくことで、歯と銀歯との間に隙間ができます。
その隙間に汚れが蓄積していくことで、歯周病菌が定着していきます。
銀歯の下に歯石が沈着してしまうと、ご自分で歯石を取り除くことは難しくなります。
また、強固にこびりついた歯石は、歯科衛生士さんのクリーニングでも取りきれないこともあります。
結果として、歯周病が進行してしまい、歯を支える歯槽骨が減っていき、銀歯そのものは問題なくても、ご自分の歯ごと失うことになってしまいます。
③歯が割れる。
銀歯は非常に硬いため、ご自分の天然歯を痛めつけてしまいます。
短期間では問題なくても、銀歯を入れてから5年以上経過している歯は要注意です。
硬い銀歯による歪んだ力のせいで、歯が完全に割れてしまうことがあります。
割れてしまった歯を温存する技術は今のところなく、抜歯するしかありません。
(私の母校である北海道大学の歯学部では、割れた歯を抜き、接着剤でくっ付けてから戻すという治療方法を提唱していました。しかし、術後の成績があまり良くないこともあり、全国的に広がることはありませんでした。)
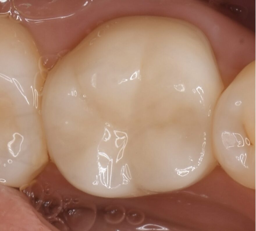
銀歯内部の虫歯をセラミックで修復した治療例
治療前後の経過写真

症状が全くなくても、銀歯を入れてから5年以上経過していると、深部でむし歯が再発していることがほとんどです。

銀歯は劣化が早く、隙間から細菌が侵入することが、むし歯再発の原因です。

茶色くても硬い箇所は温存しておいても問題ありません。
噛み合わせに関与している部分が失われてしまったため、セラミッククラウンを被せる必要があります。
保険適応のレジン充填(光硬化型のプラスチック)を詰めても、強度に劣るため、咬合力に耐えれず、染みてしまい、しっかり噛むことができません。

セラミックは銀歯とは異なり、しっかりお手入れをし、定期検診に来ていただくことで、10年20年と長持ちします。
尚、部分的な詰め物タイプのセラミック(セラミックインレー)は8年前後で割れてしまう可能性があるため、当院では行っていません。
この症例の治療費
奥歯用スタンダードセラミック 110,000円(税込)
この症例のリスク
稀にセラミックが割れたり外れることがあります。
その場合は5年保証が付いているため、速やかに無料対応させて頂きます。