目次
藤沢市鵠沼海岸にある歯医者、医療法人社団 くげぬま海岸歯科クリニックです。
もうすぐ3月!!
春は入学や入社など、新しい環境で出会いが増える季節です。
この時期は「第一印象」がこれまで以上に気になるという方も多いのではないでしょうか。
第一印象を大きく左右する要素のひとつが「口元」です。
実は、歯を失っていることや、入れ歯の違和感を気にして思いきり笑えないことが、無意識のうちに表情や自信に影響していることがあります。
歯を失ったままにしていませんか?
「奥歯だから後回しでいいか…」
「とりあえず入れ歯があるから…」
そう思っていても
・笑うとき口元を隠してしまう
・旅行の時に友人に入れ歯の洗浄を見られたくない
・しっかり噛めず食事を楽しめない
といったお悩みを抱えている方は少なくありません。
また、歯を失った状態を放置すると、見た目だけでなく噛み合わせや周囲の歯のバランスにも影響が出ることがあります。
インプラント治療で10歳若く!健康に!
インプラントは、歯を失った部分の骨に人工歯根を埋め込み、その上に人工歯を装着する治療法です。
見た目が自然で、日々の取り外しや洗浄もなく、自分の歯のように手入れし、しっかり噛めるのが大きな特徴です。
症例紹介
こちらは80代女性の症例です。
長年、部分入れ歯を使用し硬いものを食べることが出来ない生活をされていました。
また、ご友人との旅行の際には、入れ歯を取り外して洗浄するところを見られてしまうのがストレスだったとお話しくださいました。
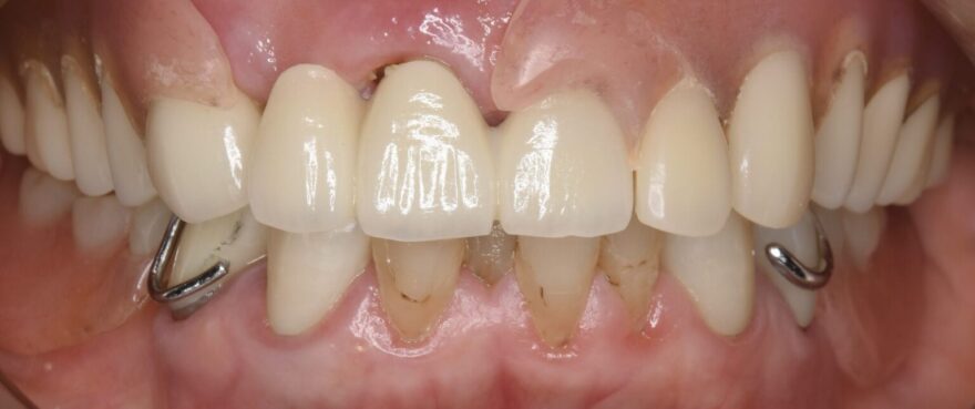
術前の口腔内写真

上下ともに、両側に入れ歯を使用されていました。入れ歯のバネにより、残っている歯もぐらついてきています。

入れ歯を付けた状態です。
一見歯があるようには見えますが、金属のバネが見えてしまい、歯茎との境目も気になります。
また、硬いものは噛めないので食べられるものも限られ、健康にも良くありません。
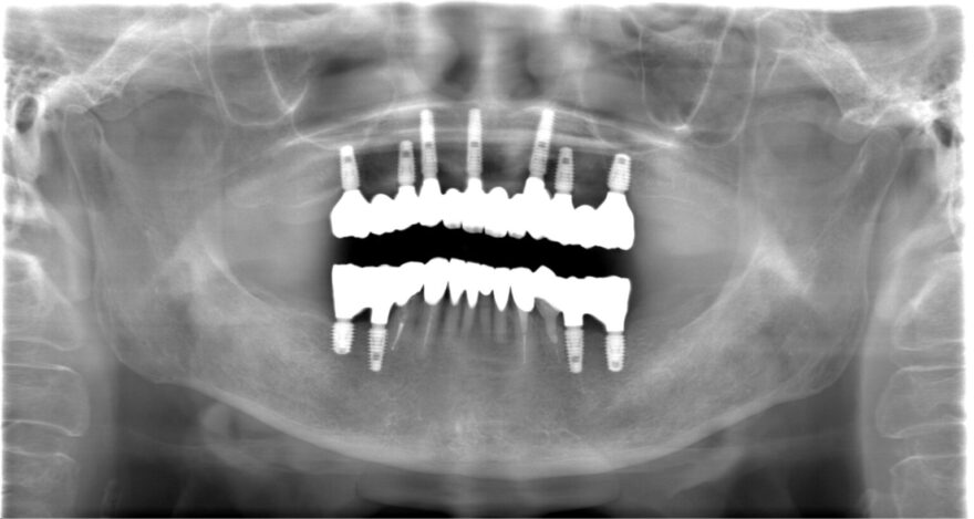
治療後のレントゲン写真

・上顎に7本のインプラント
・下顎に4本のインプラント
・前歯4本のセラミック修復
で快適な噛み合わせを再建する計画を立て、9カ月で全ての治療が終了しました。
治療中は使っていた入れ歯も使用して頂くので、歯が無い期間はありません。
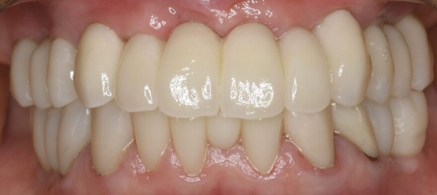
術後の口腔内写真

オールオン4(All-on-4)という、最少4本のインプラントで片顎の全人工歯(10〜12本)を支える固定式インプラント治療のほうが治療自体は早く終了しますが、歯茎が入れ歯のような人工的な見た目になってしまうため、患者様と相談し、より天然歯に近い見た目を作れるボーンアンカードブリッジという方法での治療となりました。
インプラント治療後は、
・口元に自信が持てるようになった
・自然に笑えるようになった
・食事を楽しめるようになった
と、大きな変化を実感されています。
口元の不安が解消されると、表情が明るくなり、印象も大きく変わりました。
不自由なく噛めるようになって食事も楽しくなったとの事で
『こんなに良くなるならもっと早くやればよかったね』とご家族もとても喜んで下さったそうです。
インプラントは“見た目”だけの治療ではありません
インプラント治療の目的は、ただ単に失った歯を補うことだけではありません。
・人前でも自然に笑えるようになり、自信が持てる
・自分の歯の様に過ごすことが出来て、生活の質(QOL)が向上する
・噛めることで必要な栄養素を効率よく摂取でき、体力や免疫力の維持につながる
といった、大きなメリットがあります。
将来を見据えた治療選択として、インプラントをご検討されてはいかがでしょうか。
春は「変わる」きっかけの季節
「歯がないまま何年も過ごしている」
「入れ歯に違和感がある」
「本当は気になっているけれど、相談できずにいる」
そのようなお悩みがあれば、ぜひ一度当院にご相談ください。
初回は十分な検査とカウンセリングを行い、口腔内全体を総合的に判断。
インプラントや矯正治療を含めた、院長がベストな治療計画をご提案いたします。
口元に自信が持てると、笑顔が自然に増えます。
笑顔が増えると、第一印象は確実に変わりますよ。
この春、新しい一歩を踏み出す準備として、口元のお悩みを解決しませんか?
◎当院のインプラント治療についてはこちら
◎ボロボロの状態から再建!全顎治療(フルマウス)についてはこちら
**************************************************
藤沢市鵠沼海岸にある歯医者、医療法人社団 くげぬま海岸歯科クリニックでは24時間WEB予約を承っております。
少しでも気になることがございましたら、是非一度ご予約いただき、ご来院ください!
WEB予約はこちら
電話予約:0466-54-7886
ブログ監修者 院長 三浦陽平