インプラント治療で一番大切なこと
Important Thingインプラント治療を成功させるためには、インプラントを埋める位置が最も重要です。
そのためには、CT撮影をした上での3Dシミュレーションが欠かせません。
高精度・低被曝の最新型CT撮影機器
デジタルレントゲンはMORITA社製のVeraview X800を使用しており、一般的な歯科レントゲン機器と比較して、10分の1以下のX線照射線量でCT撮影が可能となっています。


歯がない本数や部位に応じて、以上のように6パターンの撮影範囲を使い分けることで、より低被曝で正確な顎骨の情報を得ることができます。
インプラントを埋める位置
顎骨の辺縁から2ミリ深く、かつ歯茎のラインから4ミリ深い位置にインプラントを入れることが基本となります。
かつ、将来的に歯茎が痩せてしまうことを考慮して、顎骨の内側(口蓋側)にインプラントを埋める必要があります。
その上で、インプラントの機能性と審美性を両立させなくてはいけません。
一見簡単なことに思えますが、患者様の既存の顎の骨は少ないケースがほとんどですから、その上で
- 骨のラインから2ミリ深く
- 歯茎のラインから4ミリ深く
- 口蓋側に寄せて
- よく噛めるように力学的バランスへの配慮
- より見た目が美しい審美性への配慮
- お手入れがしやすい清掃性への配慮
- 治療期間を短くする為に、既存骨にインプラントを噛み込ませる
- 既存骨とインプラントの接触率を最大限にすることで、すぐに仮歯を入れることができるようにする
以上の要件を満たしたピンポイントの位置にインプラントを埋め込むには、3Dシミュレーションによる診断と高い技術が必要となります。
CTデーター上での3Dシミュレーション
歯を失ってしまった部分への3Dシミュレーションをすることで、より正確な位置へのインプラント埋入が可能となります。 当院では、インプラント治療を希望される全ての患者様に対して3Dシミュレーションを行っており、患者様にインプラントを埋める位置をあらかじめご説明しています。





- 治療例 1
-
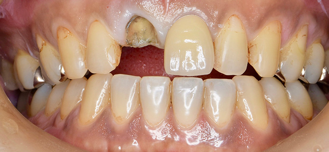
右上の差し歯が外れて来院された患者様の口腔内写真です。
CT写真を撮影して3Dシミュレーションを行いました。
前歯部インプラントの埋入位置は、奥歯以上に審美性への配慮が必要となります。
インプラントを埋め込んで、すぐに仮歯まで入れるので、入れ歯を使用する必要はありません。
3Dシミュレーションと同じ位置にインプラントが埋め込まれています。
仮歯をセラミック歯に変えた後の口腔内写真です。
オペ回数1回・治療期間3ヶ月で、天然歯と変わらない美しさになりました。
- 治療例 2
-
左上の前歯が折れて来院された患者様の口腔内写真です。
CT写真を撮影して3Dシミュレーションを行いました。
前歯部インプラントの埋入位置は、天然歯より内側にかつ深く設定しなくてはいけません。
インプラントを埋め込んで、すぐに仮歯まで入れた後の口腔内写真です。
3Dシミュレーションと同じ位置にインプラントが埋め込まれています。
仮歯をセラミック歯に変えた後の口腔内写真です。
3ヶ月の治療期間で、自然な美しさを獲得できました。