抜歯即時埋入インプラント
Immediate Implant Placement当院では、患者様に優しいインプラント治療を心がけており、積極的に「抜歯即時埋入インプラント」を行っています。
抜歯即時埋入インプラントとは?
今までは、インプラント治療を行う前には、まず悪い歯を抜いて3ヶ月〜半年の期間をおいてからインプラントを埋入するのが推奨されてきました。その場合、2回の手術を行わなければならず、治療期間も長期に及んでしまい、患者様には大きな負担を強いていました。
従来は当たり前とされていた患者様の負担を、確実に少なくする新しいインプラント治療方法が「抜歯即時埋入インプラント」です。抜歯と同時にインプラントを埋入することにより、患者様のストレスを大幅に軽減できます。

- 抜歯後すぐに、抜歯してできた穴(抜歯窩)をドリルで整えてインプラントを埋め入れます。
- 穴とインプラントの隙間に骨補填材を詰めます。
仮歯で歯肉の形態を整えていきます。(状況により仮歯を入れない場合もあります) - 約3~5ヵ月後、インプラントの周囲は新しい骨で囲まれ、歯肉も治癒されます。
最終的な被せ物を装着して治療は完了です。
抜歯即時埋入インプラントのメリット・デメリット
- 抜歯とインプラント埋入の2回の手術が、1回に減らせるので、患者様の負担が少ない。
- 抜歯して同時にインプラントを埋入するので、治療期間が通常の半分で終わる。
- 抜歯と同時に行うので、痛みが少なく腫れることがほとんどない。
- 傷口の治りが良い。
- 歯肉を切らないで済むので、見た目の仕上がりが良い。
- メスを使わないので、縫合する必要がない。
- 通常のインプラント手術と比較して、高度な技術を要する。
- インプラント治療に慣れた歯科医師でないと、失敗することが多い。
- インプラントを埋入する為の、しっかりとした骨の量が必要となる。
抜歯即時埋入インプラントの適応
- 周囲の歯が歯周病になっていない。
- 噛み合わせのバランスが整っている。
- 過度な歯ぎしりや食いしばりがない。
抜歯即時埋入インプラントへの当院のこだわり
生体の回復力を生かすには、抜歯と同時のインプラント埋入がベストです。反面、高い技術と経験が求められるために、まだ一般的な方法ではありません。
当院のインプラント治療のうち、約6割は「抜歯即時埋入インプラント」です。理想は、1回の手術だけを患者様に我慢して頂くこと。その1回の手術で、全ての外科的処置を済ませることを目指しております。

- 治療例 1
-
初診時口腔内写真。
右側から2番目の歯が保存不可能な状態でした。
まず抜歯を行います。
内側の硬い骨を直径2ミリの細いバーで慎重に削っていきます。
それから小さいピンを立てます。
下顎の神経との距離をCT写真で確認します。
神経とピンの距離を計測してから、次のステップに移行します。
直径2ミリの穴を少しずつ拡大していきます。
この症例では、直径4.5ミリ長さ8.5ミリのサイズのインプラントを選択しました。
インプラントが理想的な位置に収まりました。
仮蓋(ヒーリングキャップ)をインプラントに装着し、隙間には人工骨を挿入して、オペ完了となります。
抜歯を含めて、わずか15分ほどで終わりました。
オペ後のCT写真。
インプラントが顎骨の真ん中に埋め込まれていることがわかります。
抜歯即時埋入インプラントを行なってから3ヶ月後に、上部構造(セラミック歯)をセットします。
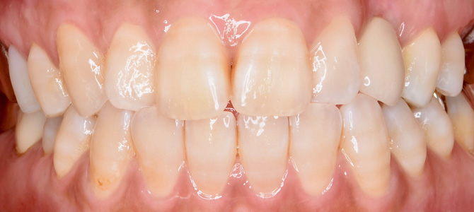
色・形・適合・噛み合わせをチェックして、治療終了となります。
- 治療例 2
-
保存不可能な前歯へのインプラントオペ前の写真。
完全に割れてしまっています。
力をかけると、粉々に砕けて抜けてきました。
抜歯した穴にインプラントを埋め込んでいきます。
インプラントを埋め込んだ後のレントゲン写真。
インプラントを埋入して、その場で仮歯をセットしました。
インプラントを埋入して3ヶ月後に、セラミック歯が入りました。
- 治療例 3
-
一番左の歯は、割れてしまっていたため、抜歯することになりました。
抜歯した後の写真です。
インプラントを埋め込むための穴を掘ります。
インプラントを埋め込みました。
仮歯用の土台を取り付けてから、人工骨でスペースを塞ぎます。
その場で仮歯までセットしました。
この状態で3ヶ月ほど待ってから、本物のセラミック歯と交換します。