目次
年齢・性別
50代・女性
来院動機
上の前歯の差し歯がグラグラしていて外れてしまいそう。
治療内容
事前の精密検査
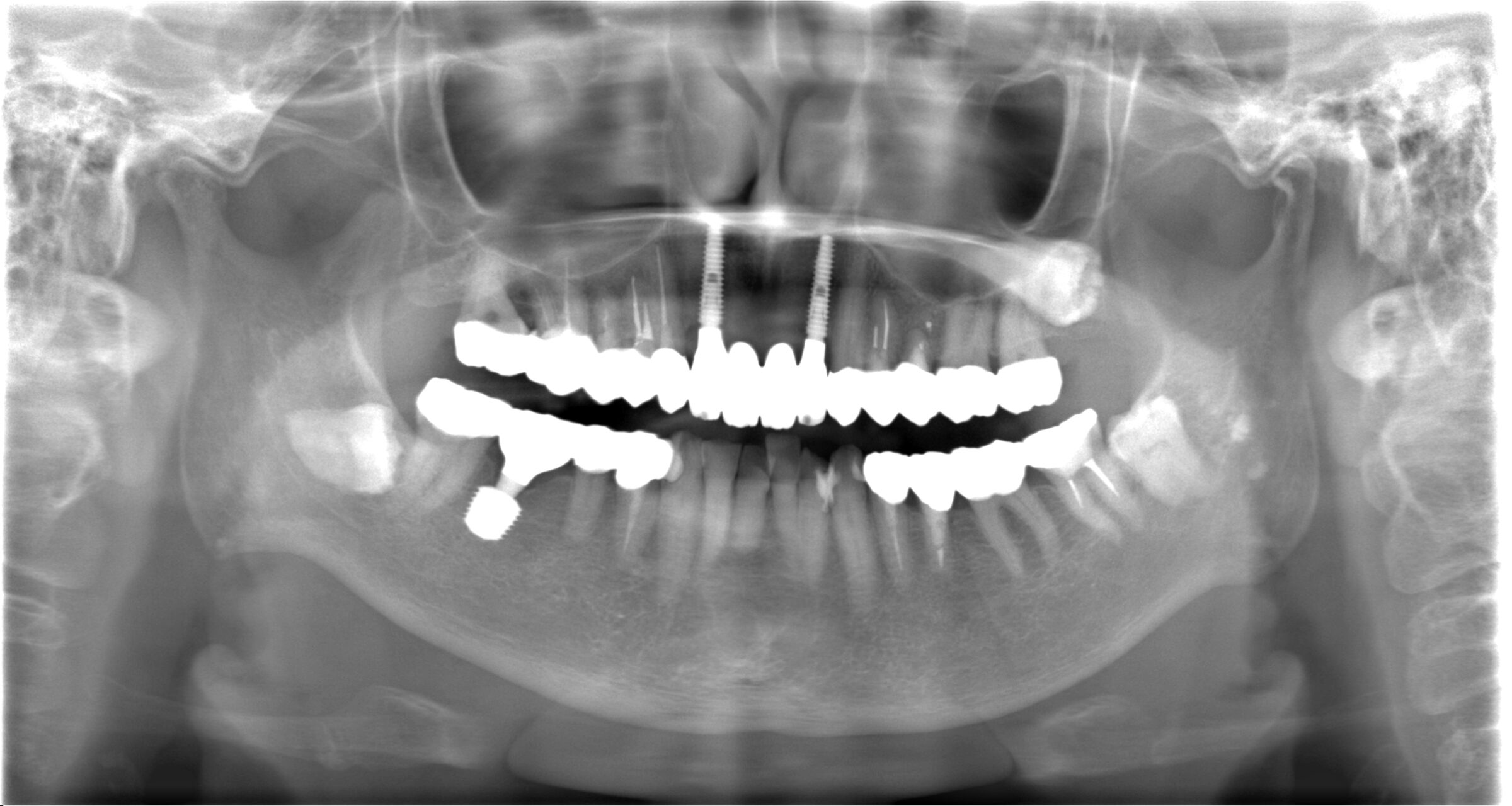
初診時のレントゲン写真

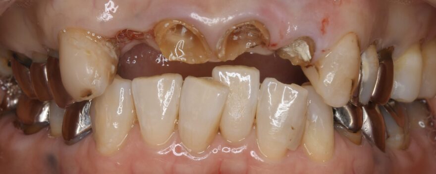
初診時の口腔内写真


治療方針
前歯は奥歯に比べて、
・噛む力が小さい(奥歯の半分程度)
・噛み合わせ調整で力をコントロールしやすい
という傾向があります。
よって、適切な診断と力学的な設計ができれば、複数本の歯をインプラントブリッジ(連結)としてまとめて支える手法が有効となります。

治療後のレントゲン写真

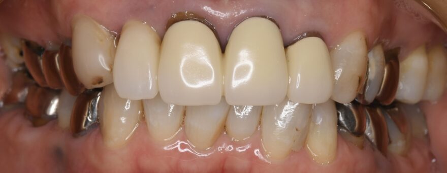
治療後の口腔内写真

*なお銀歯を含む全体的な治療も行なっています。
Dr.より
前歯に限らず、当院では最小のインプラント本数で、多くの歯を再建することを目指しています。
しかし、インプラントの本数を少なくするほど、
・埋入位置
・力を分散する設計
・上部構造の寸法精度
・メンテナンス(特に噛み合わせ調整)
が重要となります。
ご相談の際に、審美性・機能性・耐久性を考慮した、治療計画と治療費をご説明しています。
不安な点はお気軽にご相談下さい。
症例の治療に必要な標準的な費用
1,320,000円(税込)
前歯プレミアムインプラント2本→1本あたり495,000円(税込)
前歯プレミアムセラミックダミー2本→1本あたり165,000円(税込)
主なリスク・副作用
インプラント治療には「腫れ・痛み・違和感・出血・感染」などのリスクがあります。
また、稀にインプラントと骨が結合しないことがあります。
もし万が一、インプラントと骨が結合しない場合は、すぐに再埋入手術を無料で行わせて頂きます。
施術名
インプラント治療
施術の説明
インプラント治療とは、歯を失ったところにチタン製の人工歯根を埋入し、新しく歯を再建する方法です。