年齢・性別
20代・女性
来院動機
インビザラインで八重歯を治したい。
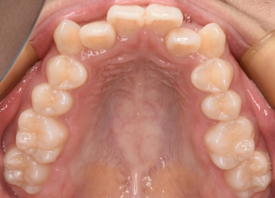
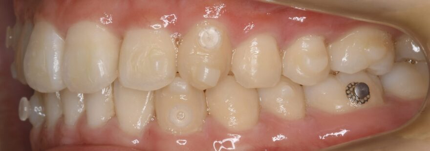
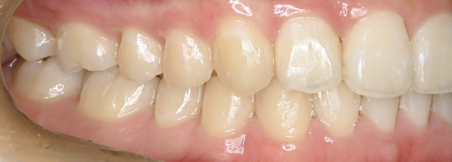
初診時の口腔内写真

上の八重歯が気になります。



八重歯の内側への移動量がとても多いことがわかります。

治療方針
世界で最初のマウスピース矯正のブランド名が「インビザライン」。
アメリカの「アライン・テクノロジー社」が開発した、世界シェアNo.1のマウスピース型矯正装置のシステムです。
これまでに世界で1,500万人以上がインビザラインによる矯正治療を受けており、その症例数の多さは圧倒的です。
分かりやすく言ってしまうと、
マウスピース矯正=電気自動車
インビザライン=テスラ
みたいなイメージでしょうか?
・明らかな出っ歯
・すきっ歯
・ひどいガタガタ
・受け口
・開咬(オープンバイト)
・抜歯症例
・奥歯がズレた症例
以上のような、従来はワイヤー矯正でないと歯が動かなかったケースにも、インビザラインは対応可能です。
他社メーカーのマウスピース矯正では、
・前歯のみ
・軽度の歯列不正
・非抜歯症例
などのような軽度症例しか、対応できないと言われています。
八重歯を治したいご要望の方には、インビザラインは最もお勧めできます。
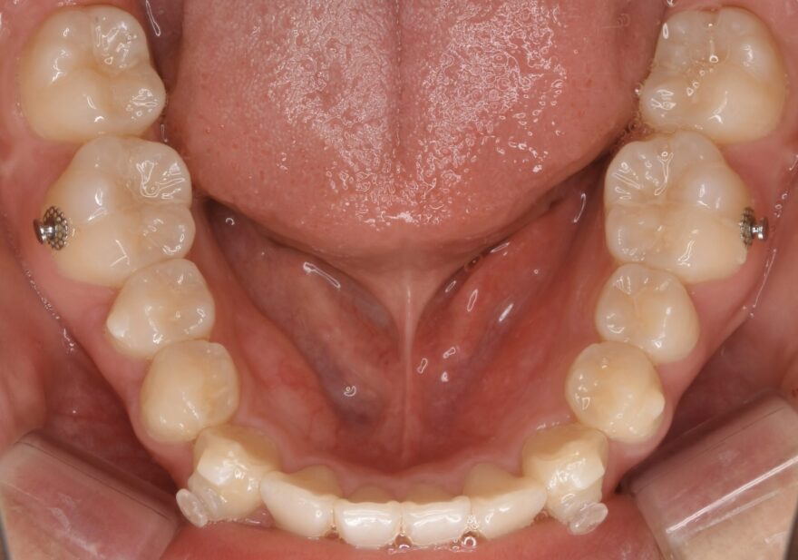
治療中の口腔内写真

インビザラインと他社製マウスピース矯正との違いにアタッチメントがあります。
歯の表面に付与する白くて小さい突起がアタッチメント。
アタッチメントとマウスピースが噛み合うことで、
・回転
・垂直移動
・水平移動
などといったマウスピース単体では苦手とされる、歯の3次元的な移動が可能となります。




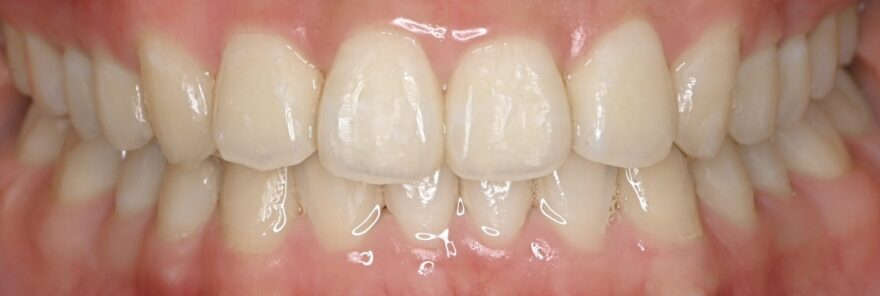
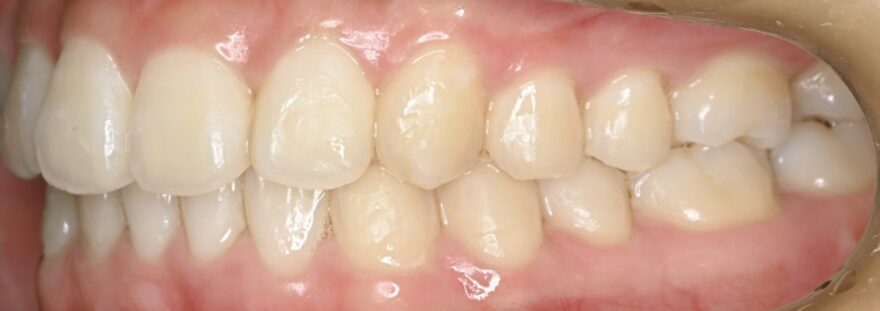
治療後の口腔内写真

約2年の動的期間(歯を動かす時期)で、ここまで整った歯並びになりました。
インビザラインでもワイヤー矯正でも、最終的な仕上がりに差はありません。

八重歯が完全に治りました。


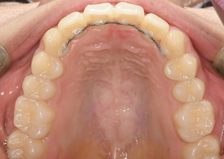
前歯には後戻りを防止するための保定装置を装着しています。

下顎の前歯にもワイヤーによる保定装置を装着しています。
矯正医より
私の矯正専門医として、20年以上の臨床経験があります。
インビザラインによるマウスピース矯正も10年以上前から積極的に行なっており、歯の移動量が多い難症例も手がけてきました。
患者様一人ひとりのご要望を伺った上で、
・表側矯正
・裏側矯正
・ハーフリンガル
・インビザライン(マウスピース矯正)
以上4つの中から最適な治療方法をご提案します。
当院の精密矯正検査・診断料は11,000円(税込)。
神奈川県の相場である44,000円(税金)より、安い金額とさせて頂いています。
歯並びと噛み合わせにお困りの方は、ぜひお気軽にご相談下さい。
症例の治療に必要な標準的な費用(当投稿日現在)
880,000円(税込) インビザライン(マウスピース矯正)
- 調整費別途
主なリスク・副作用
きちんと歯磨きをしないと、虫歯や歯周病が進むことがあります。