目次
年齢・性別
50代・女性
来院動機
前歯がグラグラしている。
奥歯も前歯もどこで噛んでいいかわからないので、これを機に全ての歯を治したい。
治療内容
初診時のレントゲン写真

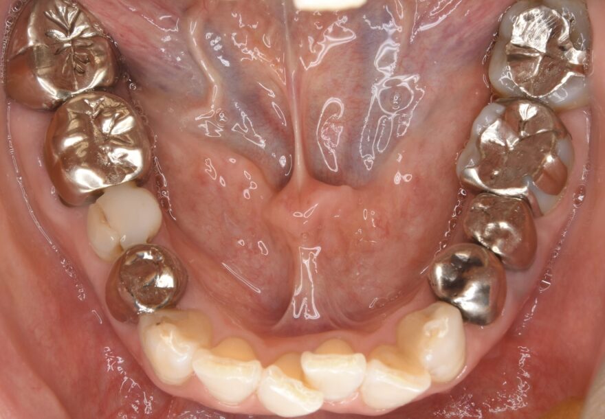
初診時の口腔内写真



銀歯の中が虫歯になっていることがわかります。

こちら側の銀歯も適合の問題を抱えていることがわかります。


治療方針
奥歯の噛み合わせが安定しておらず、下の前歯が上の前歯を突き上げていることが、上の前歯が壊れてしまった原因でした。
このように噛み合わせ全体に問題を抱えている方には、全顎治療(フルマウス治療)が必要となります。
歯を残せない箇所にはインプラントで、歯を残せる箇所にはセラミックで、噛み合わせを一から理想的に再構成することで、一生涯の歯の悩みから解放されます。
今回の症例では、3本のインプラントと19本のセラミックによる、全額治療(フルマウス治療)で全体の噛み合わせを再建する計画を患者様にご提案しました。
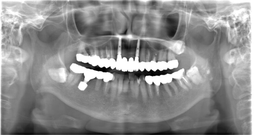
治療中のデジタルデータ治療後のレントゲン写真

合計3本のインプラントが入りました。
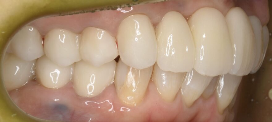
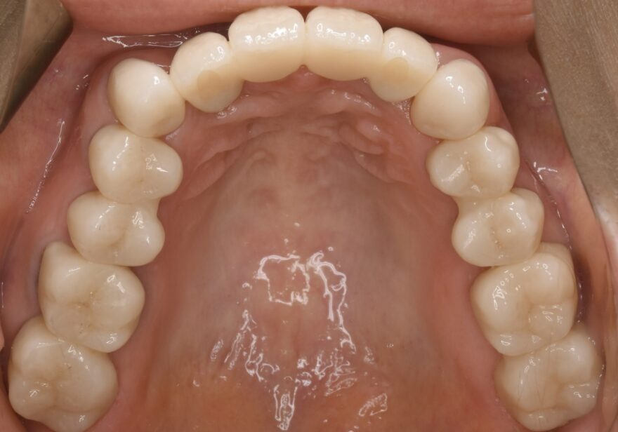
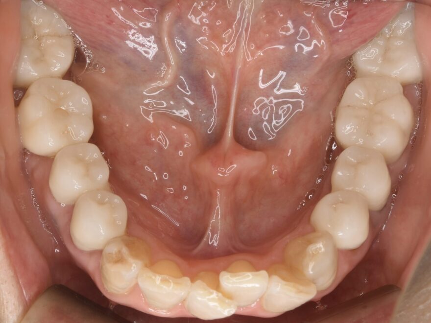
治療後の口腔内写真

白く輝く美しい歯が入りました。

長期にわたる理想的な噛み合わせが付与されました。

こちらにも、何でも噛める機能的なセラミック歯が入りました。。

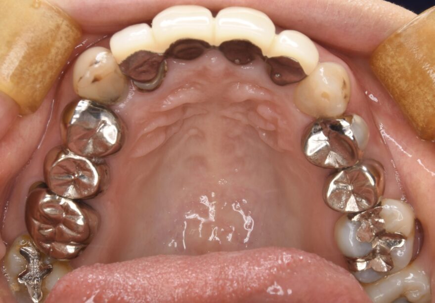
裏から見ても上の前歯のインプラントブリッジは自然な仕上がりです。

こちらも、どこにインプラントが入っているか分からない自然な形態を再現できました。
Dr.より
当院のプレミアムセラミックは、天然歯同様の精密形態再現・多点咬合設計・力の分散コントロールにより、顎関節や筋肉とも調和します。
奥歯の精緻な噛み合わせが、結果として、前歯のインプラントの長期安定につながります。
長期にわたり安定しトラブルが起きない自信があるため、当院の全顎治療(フルマウス治療)には10年保証をお付けしております。
ロングスパンの長期無料保証は、私の治療技術の自信の現れです。
症例の治療に必要な標準的な費用
プレミアムインプラント3本→1,485,000円(税込)
《1本あたり495,000円(税込)》
前歯プレミアムセラミック4本→660,000円(税込)
《1本あたり165,000円(税込)》
奥歯プレミアムセラミック15本→2,145,000円(税込)
《1本あたり143,000円(税込)》
ファイバーコア10本→220,000円(税込)
《1本あたり22,000円(税込)》
咬合再構成(全ての仮歯と噛み合わせ治療)22本→968,000円(税込)
《1本あたり44,000円(税込)》
総額5,478,000円(税込)
主なリスク・副作用
インプラント治療には「腫れ・痛み・違和感・出血・感染」などのリスクがあります。
また、稀にインプラントと骨が結合しないことがあります。
もし万が一、インプラントと骨が結合しない場合は、すぐに再埋入手術を無料で行わせて頂きます。
セラミックが、稀に欠けたり、外れることがあります。
当院のプレミアムインプラント&セラミック治療には10年保証がついていますので、トラブル発生時には無償対応いたします。