目次
みなさんこんにちは。
藤沢市鵠沼海岸にある歯医者、医療法人社団 くげぬま海岸歯科クリニックです。
治療の説明はレントゲンだけでは不十分です。
歯科医院での最も多い説明の仕方は、レントゲンと手鏡を用いて、あとは口頭で補足するというパターンでしょう。
これだと、患者様の立場としては何をされたのか全く理解できないと思います。
学校の授業に例えるならば、レントゲンは教科書の文字のみ、手鏡は黒板の文字のみ、と言えます。
分かりやすくて理解しやすい授業にしたいのであれば、スライド、イラスト、図形、アニメーション、動画、などが必要になりますよね。
自分の学生時代を振り返ってみると、ただ教科書を読み上げるだけの授業をする先生もいました。
古文の先生だったのですが、もともと古文に興味がないのに、益々嫌になってしまった記憶があります。
歯科治療も同じで、もともと好んで歯医者さんに来る人はいない訳ですね。
せっかく重い足を運んで来院して頂いたからには、分かりやすい説明でどのように自分の歯が治ったのか知って頂くことは、重要だと考えています。
口腔内写真を活用することで、治療過程をご覧頂けます。
当院では、初診時と治療完了後はもちろんのこと、全ての治療過程において口腔内写真を撮影しています。
口腔内写真は、学校の授業に例えると「スライド」や「イラスト」にあたります。
『百聞は一見に如かず』は医学的にも証明されています。
知覚の割合は、視覚83%、聴覚11%。
人間は情報の8割を視覚から得ている訳です。
口腔内写真や治療過程の動画がないと、11%に過ぎない聴覚のみで、患者様は理解せざるを得ません。
つまり、医療機関でよくある『言った言わない』『聞いた聞いてない』というトラブルは、起こるべき状況だから起きているのです。
分かりやすい説明は、より良い治療と同じくらい重要であると、私たちは認識しています。
インプラントやセラミック治療はもちろんのこと、1本の虫歯治療においても、常にその治療工程を口腔内写真を撮ることで、患者様に分かりやすく説明しています。
顕微鏡治療は動画による説明を行なっています。
私はインプラント専門医ですが、歯を残すことにこだわっています。
顕微鏡治療と歯周病治療を駆使して、まずは天然歯の温存を心がけています。
愛用している顕微鏡はライカ(Leica)M320。
拡大倍率はMAX20倍。
他院さんで抜歯してインプラントを提案されても、私の診断では顕微鏡治療により抜かないで済むとなるケースも多いです。
顕微鏡治療の際は、このような動画で治療中の様子を見て頂いてます。
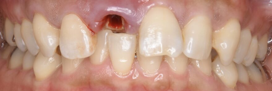
インプラントの治療経過を口腔内写真で詳細に説明しています。
初診時口腔内写真

左側の差し歯が壊れてしまい、当院を受診されました。
歯根はとても小さく、顕微鏡治療でも残せないと判断しました。
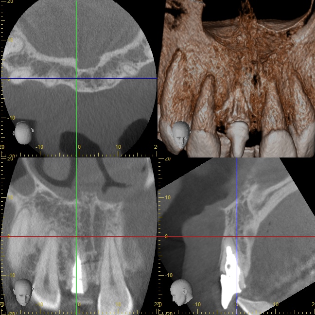
オペ中の口腔内写真とCT写真












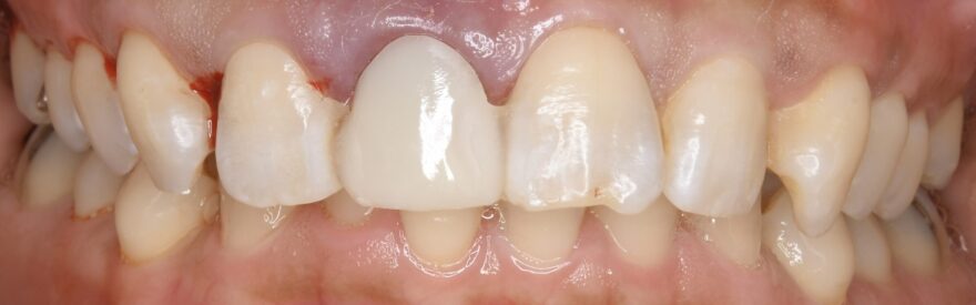
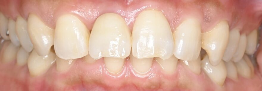
治療後の口腔内写真とレントゲン写真


この症例の治療期間
3ヶ月
この症例の治療費
前歯プレミアムインプラント 495,000円(税込)
この症例のリスク
インプラント治療には「腫れ・痛み・違和感・出血・感染」などのリスクがあります。
また、稀にインプラントと骨が結合しないことがあります。
もし万が一、インプラントと骨が結合しない場合は、すぐに再埋入手術を無料で行わせて頂きます。