目次
みなさんこんにちは。
藤沢市鵠沼海岸にある歯医者、医療法人社団 くげぬま海岸歯科クリニックです。
当院は、インプラント治療だけではなく、矯正治療や審美歯科治療を含めた、複合的な症例にも対応しています。
複合的な症例がなぜ難しいか?
一般の方にはあまり知られていませんが、実は歯医者さんもお医者さんと同じように専門が細かく別れています。
私の母校である北海道大学歯学部の場合でも、
・第一保存科(レジン充填などの詰め物と根管治療)
・第二保存科(歯周病)
・第一補綴科(入れ歯)
・第二補綴科(クラウンとブリッジ)
・第一口腔外科(口腔内の粘膜疾患と顎変形症)
・第二口腔外科(口腔癌)
・矯正歯科
・口腔インプラント科
・歯科麻酔科(全身麻酔と静脈内鎮静法と疼痛管理)
・歯科放射線科(口腔癌の放射線治療)
・小児歯科
・高齢者歯科
・障がい者歯科
・顎関節症科
なんと14もの診療科が存在します。
つまり、全てをマスターしている歯科医師はそもそもが存在しておらず、各々得意な診療科目があるわけです。
その中でも、最も技術の習得に時間がかかると言われているのが、インプラントと矯正治療なんですね。
よって、ほとんどの歯科医院では、どちらかの施術しかできないとなるわけです。
当院にはインプラント学会認定医である私と矯正歯科学会認定医である芝田先生が在籍しています。
また、私の後輩でもある歯科麻酔科医の中島先生も加えると、3人で歯科医療のほぼ全てを患者様に提供できる診療体制を整えています。
(当院で対応できないのは、訪問診療、入れ歯、銀歯、口腔癌や顎変形症などの口腔外科疾患となります。)
インプラントと矯正のコンビネーション治療で気をつけるべきポイントは?
①ベストな時期にインプラントを埋入する必要があります。
最も歯を動かすために適したタイミングで、インプラントを埋め込むスキルが求められます。
②ベストな位置にインプラントを埋入する必要があります。
歯の移動量を予測して、ピンポイントで理想的な位置に、インプラントを埋め込むスキルが求められます。
③インプラントにワイヤーなどで力がかかっても、インプラントが抜けないような配慮が必要です。
インプラントに矯正治療中に過度な力がかかることがあります。
矯正治療中の外的な力にも耐えることができるように、深い位置にインプラントを埋め込むスキルが求められます。
④矯正治療中にインプラントの上部構造が壊れないような設計が必要です。
矯正治療中は、インプラントの上部構造にセラミック歯を使うことができません。
セラミック歯には、矯正装置が付けれないためです。
矯正治療中に、インプラントの上部構造に強化プラスチックを使用して、噛み合わせを再建するスキルが求められます。
以上のようなポイントを押さえていかないと、矯正治療中にインプラントが脱落したり腫れたりするなどのトラブルが生じてしまします。
私と芝田先生の密な連携で、難症例も確実に成功に導きます。
私と芝田先生が一緒に診療するようになってから、13年が経過しました。
13年も一緒にいますから、お互いの手技や手法を熟知しています。
・歯がない箇所があり、歯並びも気になる。
・上の奥歯にはインプラント治療、下の前歯は矯正治療を受けたい。
・全体の噛み合わせを考慮して、最善の治療を受けたい。
以上のような要望がある方は、ぜひ当院にご相談下さい。
乳歯が残っている方へのインプラントと歯列矯正のコンビネーション治療例
年齢・性別
20代・女性
来院動機
ずっと残していた右下の乳歯が腫れて痛い。
乳歯がある箇所へはインプラント治療を受けたい。
また、全体の歯並びと噛み合わせが悪いので、矯正治療を受けたい。
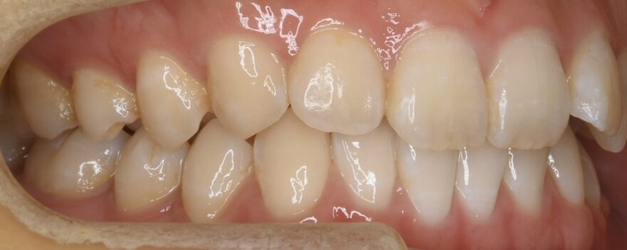
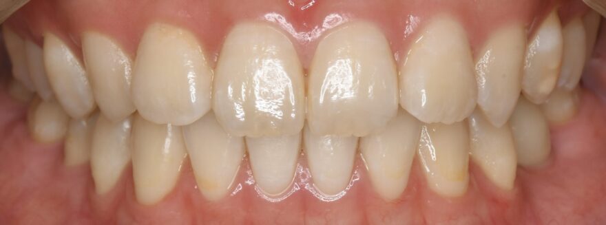
初診時の口腔内写真

上下の歯列の真ん中(正中)が合っていません。

この方向から見ると、前歯が出ていることが分かります。

乳歯の根本が腫れています。


前歯のガタガタが気になります。
治療方針
全国的に見て、インプラントと歯列矯正を同時進行で施術できる歯科医院は非常に少ないです。
当院には、インプラント学会認定医である私と、矯正歯科学会認定医である芝田先生が、連携して複合的な難症例にも対応しています。
①乳歯を抜歯してのインプラント埋入。
②インプラントに仮歯のセット。
③マウスピース矯正スタート
④マウスピース矯正終了
⑤インプラントにセラミック歯(上部構造)のセット
以上の流れで約2年で終わる治療計画を立てました。
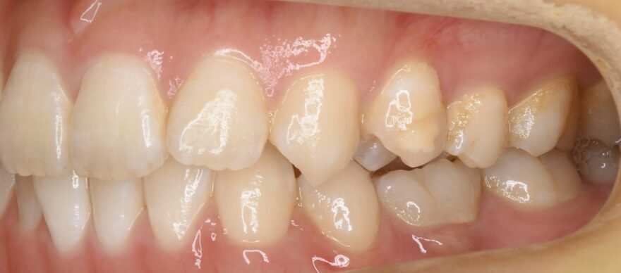
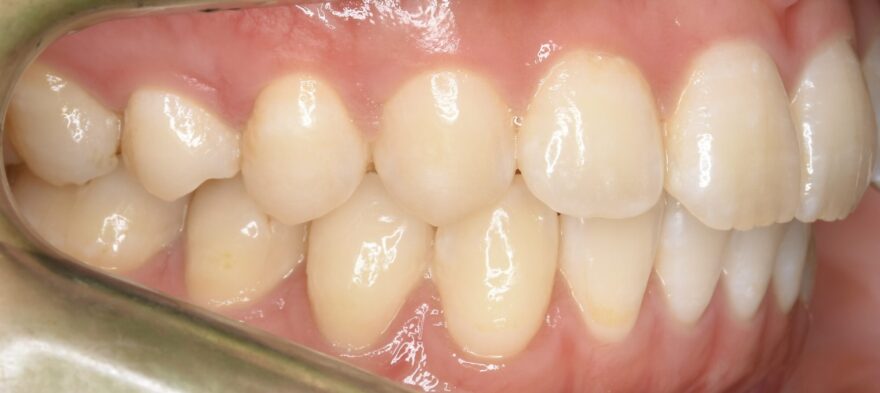
インプラント治療の口腔内写真






ここまでのオペ時間はわずか10分。
もちろん痛みと腫れもありません。


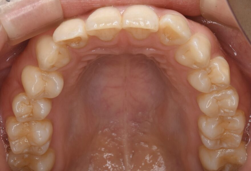
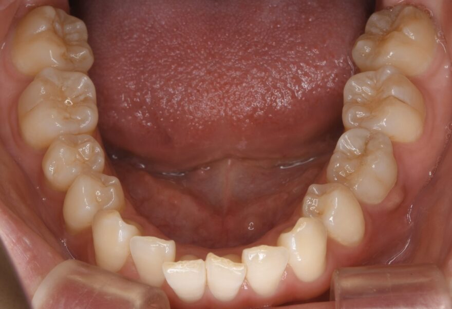
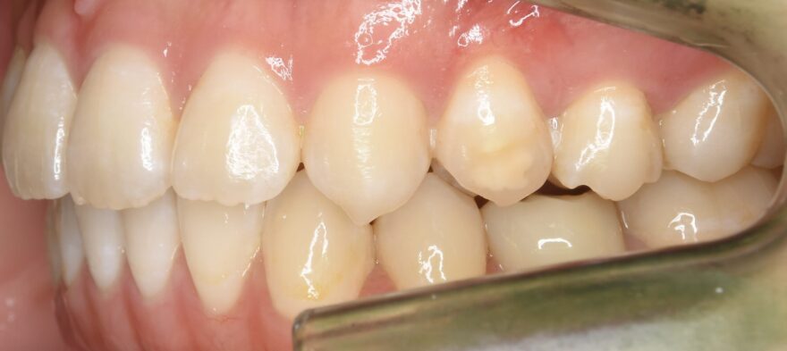
治療後の口腔内写真

約2年の治療期間で、ここまで美しい歯並びになりました。

前歯も綺麗に並びました。

インプラントの上部構造は仮歯からセラミック歯へと交換しています。


下顎の前歯にはワイヤーによる保定装置を装着しました。
この症例の治療費
奥歯用スタンダードインプラント
440,000円(税込)
矯正治療中のインプラント上部構造(仮歯)
165,000円(税込)
矯正治療
880,000円(税込) マウスピース矯正(インビザライン)
小計
1,485,000円(税込)
- 調整費別途
主なリスク・副作用
きちんと歯磨きをしないと、虫歯や歯周病が進むことがあります。