目次
みなさんこんにちは。
藤沢市鵠沼海岸にある歯医者、医療法人社団 くげぬま海岸歯科クリニックです。
今日は当院が最も得意としているフルマウス治療(全顎治療)について解説します。
フルマウス治療(全顎治療)とは?
フルマウス治療は、全顎=フルマウス=Full-Mouth、という語源から分かるように、お口の中全体を対象とした治療となります。
私たち専門家からは咬合再構成とも呼ばれる治療で、お口の中をトータルな視点で診ることで、根本からの解決を目指します。
フルマウス治療(全顎治療)の対象となる方
- お口の中が全体的にボロボロな方
- どこで噛んでいいか分からない方
- 虫歯で歯がボロボロの方
- 不適合な被せ物が、お口の中全体に入っている方
- 歯並びがガタガタな方
- 歯をたくさん失ってしまった方
- 全体的に歯の調子が悪く、食事ができない方
- 全体的に見た目が悪く、口元にコンプレックスを抱えている方
- 長期間、歯科医院に通院しても良くならない方
以上のようなお悩みがある場合は、歯1本ずつの治療ではなく、上下左右での噛み合わせを整える全顎治療(フルマウス治療)が必要となります。
フルマウス治療(全顎治療)のメリット
- 全体的な噛み合わせが改善されるので、しっかり噛むことができるようになる。
- 再治療の必要性が無くなる。
- 何回も通院するストレスから解放される。
- 見た目の改善もされるので、口元が美しくなる。
- 長期的な視点で考えると、結果的に治療費が安くなる。
- 20年30年と長持ちする。
フルマウス治療(全顎治療)の費用と期間
フルマウス治療はフルオーダーメイドとなるので、健康保険は適応されません。
お口の中の状態にもよりますが、当院では3,300,000円〜8,800,000円(税込)くらいの治療費用になると思って下さい。
正確なお見積りを作成しますので、患者様が納得して頂いてからの治療スタートとなります。
治療期間は、1年〜1年半ほどで終わるような治療計画を立てています。
矯正歯科治療を組み込む場合は、2年半〜3年ほどかかると思って下さい。
フルマウス治療(全顎治療)の医療費控除
フルマウス治療は、治療費も高額であり、治療期間も長くなります。
当院では、患者様のご負担が最小限になるように、分割払いも承っております。
医療費控除が適応されますので、患者様の控除額が最大限になるようにお支払いのタイミングについて考慮しております。
もし660万(税込)の治療費となる場合、
1年目200万(税込)、2年目200万(税込)、3年目200万(税込)、4年目60万(税込)
以上のような分割払いをお勧めしています。
これは医療費控除の限度額が年間200万の上限となるためです。
お口の中全体で悩まれている方へ
私が、全顎治療(フルマウス治療)を手がけるようになってから、約20年が経過しました。
当院は、根本的にお口の中を治したい方のためのクリニックです。
全顎治療(フルマウス治療)をしっかり行うことができる歯科医院は、まだまだ少ない現状があります。
全体的な噛み合わせに問題を抱えたままだと、永遠にお口の中の悩みが尽きることがありません。
なぜなら、噛み合わせに狂いがあることが、虫歯と歯周病の一番の原因だからです。
当院には、歯科医療分野における全てのプロフェッショナルが在籍しています。
全顎治療(フルマウス治療)をご希望の方は、ぜひ当院にご相談下さい。
私が全ての責任を持って、20年後・30年後を見据えた、最善の治療をご提供いたします。

フルマウス治療(全顎治療)担当歯科技工士の紹介
最終的な噛み合わせ(セラミック歯)を作製するのは、歯科医師ではなく歯科技工士の仕事となります。
しっかり何でも噛めて、美しく自然な口元を実現するには、全顎治療(フルマウス治療)専門の腕が良い歯科技工士との連携が欠かせません。
当院の全顎治療(フルマウス治療)を担当するのは、高畑寿也先生。
全顎治療(フルマウス治療)の症例数は1,000以上と、豊富な経験を誇ります。

はじめまして。藤沢 くげぬま海岸歯科クリニックの全顎治療(フルマウス治療)のセラミック歯を担当している高畑です。
Accordentには、「調和する・一致する」という意味があります。
私たち歯科医療従事者と患者様の思いが一致するという想いを込めました。
Accordent.Labでは、患者様の要望を傾聴し、ご希望に合った最高のセラミック歯を提供いたします。
当院のフルマウス治療の症例集
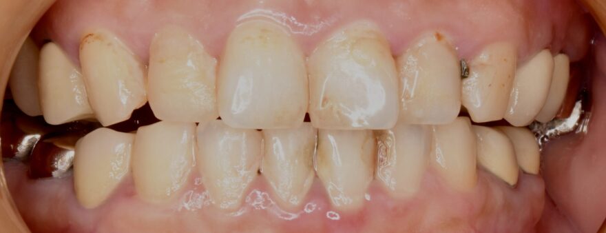
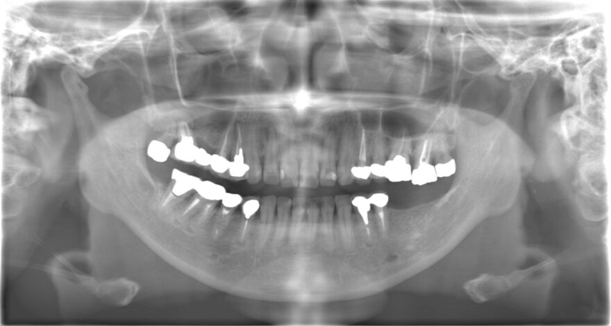
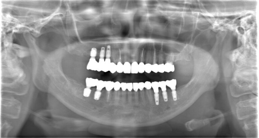
どこで噛んでいいか分からない:40代女性
Before


After


治療内容
全体的な噛み合わせが狂ってしまい、どこで噛んでいいか分からない状態でした。
8本のインプラント治療と16本のセラミック治療で、しっかり上下の歯が噛み合う状態にしました。
治療期間
1年
費用
奥歯インプラント8本→3,520,000円(税込)
《1本あたり440,000円(税込)》
前歯プレミアムセラミック12本→1,980,000円
《1本あたり165,000円(税込)》
奥歯プレミアムセラミック10本→1,430,000円
《1本あたり143,000円(税込)》
ファイバーコア5本→110,000円(税込)
《1本あたり22,000円(税込)》
前歯精密根管治療2本→220,000円
《1本あたり110,000円(税込)》
咬合再構成(全ての仮歯代とデジタルデザイン含む)24本→792,000円
《1本あたり33,000円(税込)》
総額 8,052,000円(税込)
治療リスク
インプラント治療には「腫れ・痛み・違和感・出血・感染」などのリスクがあります。
また、稀にインプラントと骨が結合しないことがあります。
もし万が一、インプラントと骨が結合しない場合は、すぐに再埋入手術を無料で行わせて頂きます。セラミックが稀に欠けたり、外れることがあります。
当院のプレミアムセラミック治療には10年保証が付いていますので、トラブル発生時には無料対応いたします。
(半年に1回の検診が、保証の条件となります。)
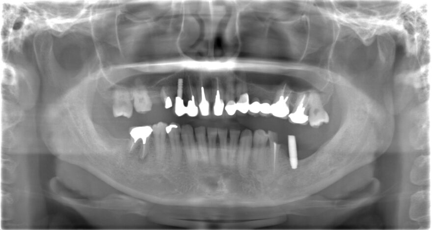
奥歯がなくて噛めない上に顎まで痛い:50代女性
Before


AFTER


治療内容
困った時に、その場限りの治療でしのいできたものの、いよいよ顎まで痛くなってしまい、当院を受診されました。
7本のインプラント治療と18本のセラミック治療で、顎関節とのバランスまで考慮した機能的な噛み合わせを再建しました。
治療期間
1年
費用
前歯インプラント2本→990,000円(税込)
《1本あたり495,000円(税込)》
奥歯インプラント5本→2,200,000円(税込)
《1本あたり440,000円(税込)》
前歯プレミアムセラミック10本→1,650,000円(税込)
《1本あたり165,000円(税込》
奥歯プレミアムセラミック8本→114,4000円(税込)
《1本あたり143,000円(税込)》
ファイバーコア6本→132,000円(税込)
《1本あたり22,000円(税込)》
前歯精密根管治療2本→220,000円
《1本あたり110,000円(税込)》
咬合再構成(全ての仮歯代とデジタルデザイン含む)25本→825,000円
《1本あたり33,000円(税込)》
総額 7,161,000円(税込)
治療リスク
インプラント治療には「腫れ・痛み・違和感・出血・感染」などのリスクがあります。
また、稀にインプラントと骨が結合しないことがあります。
もし万が一、インプラントと骨が結合しない場合は、すぐに再埋入手術を無料で行わせて頂きます。
セラミックが稀に欠けたり、外れることがあります。
当院のプレミアムセラミック治療には10年保証が付いていますので、トラブル発生時には無料対応いたします。
(半年に1回の検診が、保証の条件となります。)
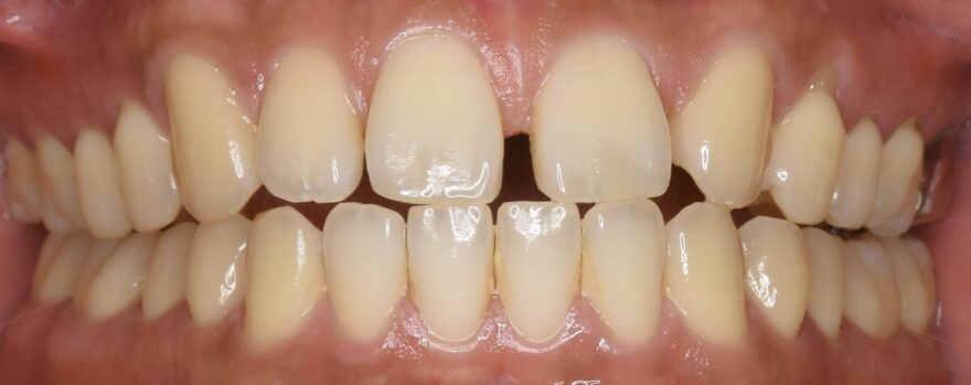
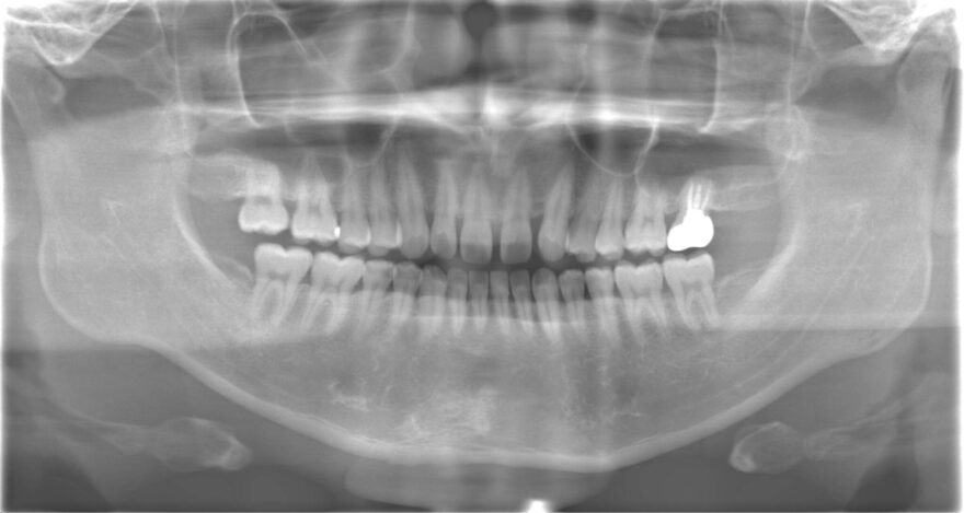
生まれつき歯が少ないため、すきっ歯で困っている:30代男性
Before


AFTER


治療内容
生まれつき歯が少ない「先天性欠如歯」の方でした。
矯正治療で全体的な噛み合わせを整えた上で、もともと欠損している前歯にはインプラントを埋め込みました。
治療期間
2年半
費用
表側矯正の治療費
・装置施術料→770,000円(税込)
・動的期間の調整料→132,000円(税込) 《5,500円(税込)×24回》
・保定装置料→33,000円(税込)
・保定期間の調整料→6,600円(税込) 《3,300円(税込)×2回》
インプラントの治療費
・前歯用プレミアムインプラント1本→495,000円(税込)
総額 1,436,600円(税込)
治療リスク
矯正治療のリスクとしては、きちんと歯磨きをしないと、虫歯や歯周病が進むことがあります。
当院では、そのようなことが生じないように矯正治療中のクリーニングを行なっています。
インプラント治療には「腫れ・痛み・違和感・出血・感染」などのリスクがあります。
また、稀にインプラントと骨が結合しないことがあります。
もし万が一、インプラントと骨が結合しない場合は、すぐに再埋入手術を無料で行わせて頂きます。
(半年に1回の検診が、保証の条件となります。)