目次
みなさんこんにちは。
藤沢市鵠沼海岸にある歯医者、医療法人社団 くげぬま海岸歯科クリニック です。
今回は、「前歯の隙間(すきっ歯)が気になる」というご相談に対して、当院で行っている審美歯科治療の考え方をまとめます。
結論から言うと、前歯の隙間は「埋めればOK」ではありません。
美しさと機能性(噛み合わせ・発音・清掃性)と耐久性を兼ね備えた治療計画が必要です。
前歯の隙間を閉じる主な治療法
前歯の隙間を改善する方法は、主に次の4つです。
- ① ダイレクトボンディング(レジン):樹脂を足して隙間を埋める
- ② ラミネートベニア:薄いセラミックを貼り付ける
- ③ セラミッククラウン:被せ物で歯の形と色を作り直す
- ④ 矯正治療(マウスピース矯正など):歯を動かして隙間を閉じる
どれが正解かは、歯の状態・噛み合わせ・ご希望(期間/削る量/仕上がり/長持ち)で変わります。
それぞれのメリット・デメリット
良い面だけではなく、欠点も含めてお伝えします。
① ダイレクトボンディング(レジン)
メリット
- 1回で治療が終わる
- 削る量がとても少ない
- 費用を抑えやすい傾向
デメリット
- 経年的な着色・摩耗・欠けのリスク
- 光の透過性やツヤの再現は、セラミックに比べると限界がある
- 噛み合わせや食いしばりが強い方は、レジンが取れやすい
- 1年に1回の研磨が必要
② ラミネートベニア
メリット
- セラミックならではの透明感・ツヤを出しやすい
- 変色しにくい
- 前歯の「形・色」を綺麗に整えやすい
デメリット
- 症例を選ぶ(歯の位置・エナメル質の状態・噛み合わせで適応が変わる)
- 強い力がかかると、欠け・脱離のリスクがゼロではない
- 改善したい内容が多い場合(大きな形態修正・色調整)は不適応
- 就寝時、マウスピースの使用は必要
- 仮歯が外れやすい
- エナメル質が薄い日本人の場合は、そもそもが向いていない手法(ラミネートベニアはエナメル質のみと接着するため)
③ セラミッククラウン
メリット
- 形・色・幅・左右バランスを最も精密にコントロールできる
- 変色しにくく、もっとも長期的に美しさを保ちやすい
- 隙間だけでなく、色ムラや形の違和感も含めて総合的に整えられる
- 噛み合わせまで含めた設計が可能
デメリット
- 歯を削る必要がある
- 精密な治療ほど工程が増えるため、通院回数が増えることがある(平均3回〜5回)
- 歯科医師と技工士の連携・技術が結果に直結する
④ 矯正治療
メリット
- 歯を削らずに改善できる
- 歯列全体のバランスを整えられる
デメリット
- 期間が必要(2年以上)
- 保定を怠ると後戻りのリスク
- 費用が最も多くかかる(トータル100万前後)
- 隙間が閉じても、歯の形や色の問題が残り、追加で審美治療が必要になることもある
当院では前歯の隙間が気になる方へ「セラミッククラウン」を推奨しています
前歯の審美治療でよくあるトラブルが、
『隙間は埋まったけれど、前歯が太く見える、不自然に見える』というものです。
前歯は、隙間だけでなく
- 歯の幅のバランス
- 角(ラインアングル)の位置
- 性別や年齢に応じた形態
- 透明感とツヤ(光の反射)
- 唇や歯ぐきとのバランス
- 全体の噛み合わせとの連動
- 発音と滑舌
- 顔や口元との調和
以上のような要素が組み合わさって「自然さ」「ナチュラルな感じ」が決まります。
セラミッククラウンは、これらを一つひとつ設計し、“元からこうだった”ような仕上がりを狙えます。
当院では、前歯のセラミック治療は、審美歯科専門の歯科技工士と密に連携しながら進めています。
私が信頼する歯科技工士が全ての前歯のセラミック歯を製作しています。
前歯のセラミック歯は、私の長年のパートナーである『石山 雄基』と『高畑寿也』が製作を担当しています。
2人とも、審美歯科に精通した新進気鋭の歯科技工士であり、遠方からも2人が造る美しいセラミック歯を求めて多くの患者様が当院に来院しています。

はじめまして。藤沢 くげぬま海岸歯科クリニックの前歯のセラミック歯を担当している石山です。
前歯にコンプレックスがあり、うまく笑えなかった患者様に、笑顔になって頂けることが生き甲斐です。
世界水準の最先端歯科技工を軸に、患者様一人一人の魅力を最大限に引き出し、ご自身の歯のようにお使いいただける本物の歯を作り上げていきます。

はじめまして。藤沢 くげぬま海岸歯科クリニックの前歯のセラミック歯を担当している高畑です。
Accordentには、「調和する・一致する」という意味があります。
私たち歯科医療従事者と患者様の思いが一致するという想いを込めました。
Accordent.Labでは、患者様の要望を傾聴し、ご希望に合った最高のセラミック歯を提供いたします。
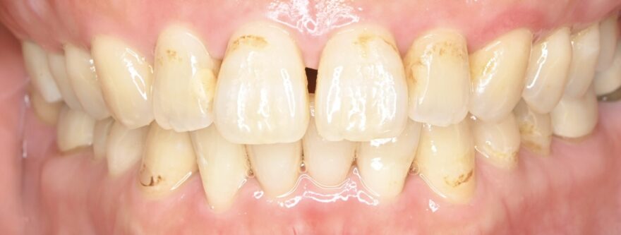
前歯の隙間が気になる方への審美歯科治療例
治療前の口腔内写真

前歯の隙間は小さく見えても、笑った時・写真を撮った時にどうしても目立ちます。
また、隙間を閉じる治療では、歯の形のバランスまで整えないと不自然になりやすいのが特徴です。
治療計画
今回は、見た目の改善だけでなく、長期安定を重視し、セラミッククラウンで形態と色調を再設計しました。
隙間を閉じるだけではなく、前歯全体の「幅」「形」「光の見え方」を整えることを目的としています。
治療後の口腔内写真

隙間が閉じることで、口元の印象は大きく変わります。
歯の形と透明感が整うと、前歯だけが浮かず、ナチュラルに見えます。
目の錯覚を利用して、歯の幅は広がっても、不自然に見えないように配慮しています。
また、単独歯ではなく、2本のセラミックを連結することで、マウスピースの使用に頼らなくても、将来的にまた隙間が空いてしまうリスクを排除しています。
この症例の治療費
330,000円(税込)
前歯用プレミアムセラミック4本→1本あたり165,000円(税込)
《技工担当 石山 雄基》
この症例のリスク
セラミックが稀に欠けたり、外れることがあります。
その場合は10年保証が付いていますので、速やかに対応いたします。
保証期間を10年お付けできるのは、当院のセラミック治療の自信の表れです。
(半年に1回の定期検診が保証の条件となります。)