目次
こんにちは。
藤沢市鵠沼海岸の歯医者、くげぬま海岸歯科クリニックです。
奥歯を諸事情により喪失してしまった患者様から、
・奥歯が抜けたままだと、将来困りますか?
・奥歯を複数本失った場合、インプラントは何本必要ですか?
・奥歯がたくさん無くても、治療できますか?
このようなご相談をいただくことがあります。
奥歯には、食事の際に食べ物を噛み砕く、大切な役割があります。
見えないからといって、奥歯を失ったまま放置すると、全身の不健康にもつながります。
今回は、複数本の奥歯を失った場合に、有効な治療方法となる『インプラントブリッジ』について解説します。
奥歯を失ったままにすると起こる問題
奥歯を失うと、単にご飯を食べにくいだけではありません。
・反対側ばかりで噛むようになる。
・前歯への負担が増大する。
・残っている歯が割れる、壊れる。
・全体の噛み合わせが段々と崩れてくる。
・将来的にさらに歯を失いやすくなる。
以上のようなトラブルが生じてしまいます。
奥歯は、どうしても前歯と違い、見えないため治療を後回しにされがちです。
しかし、噛み合わせに最も関与するのが奥歯であるため、前歯以上に重要な役割を担っています。
家に例えると、奥歯は見えない基礎や土台部分と言えます。
奥歯を失ったときの治療方法
奥歯を失った場合の治療方法として、以下の3つが挙げられます。
①入れ歯・義歯
外科処置が必要ないメリットはあります。
しかし、違和感が強く、そもそもあまり噛めません。
取り外しも必要なため、当院では推奨しておりません。
②ブリッジ
歯がない箇所の前後の歯を削ってつなぐ方法です。
固定式で使いやすい反面、健康な歯を削る必要があります。
入れ歯と異なり、しっかり噛めるメリットはあります。
しかし、削った歯に過剰な力がかかるため、土台となっている歯をいつかは失ってしまう可能性が高いです。
③インプラント
顎骨にチタン製の人工歯根を埋め込み、その上にセラミック歯を作る方法です。
前後の健康な歯を削らず、天然歯と同じくらいしっかり噛むことができます。
この中でも、奥歯の複数本欠損に対して有効なのが、インプラントブリッジというアプローチです。
インプラントブリッジとは?
インプラントというと、
「失った歯の本数分だけインプラントを入れる」
というイメージを持たれる方がほとんどだと思います。
しかし、過度に咬合力が強い、夜間の歯ぎしりが酷いなどの事情がない場合は、
少ない本数のインプラントで多くの歯を支えるインプラントブリッジでの対応が可能なことがあります。

インプラントブリッジのメリット
奥歯のインプラントブリッジには、次のようなメリットがあります。
手術の負担を減らすことができる
必要以上にインプラント埋入本数を増やさずに済むため、外科的な負担を抑えることができます。
結界として、痛みと腫れの軽減に繋がります。
治療費を減らすことができる。
インプラント本数が減ることで、治療費を少なくすることができる。
しっかり噛みやすい
少ないインプラント本数でも、問題なくしっかり噛むことができます。
インプラントブリッジはどなたでも同じ設計ではありません
ここが最重要ポイントです。
インプラントブリッジはコストパフォーマンスに優れた治療方法ですが、ただ「埋め込むインプラントが少なくてお得」という理屈ではありません。
重要なのは、
・失った奥歯の本数
・全体の噛み合わせのバランス
・咬合力(噛む力)の強さ
・歯ぎしり、食いしばりの有無
・顎骨の質と量
・ブリッジでも患者様が自分でお手入れできるか?
以上を考慮した上で、長期的に安定する設計になっているかどうかです。
インプラント本数を減らしすぎると、1本あたりの負荷が大きくなり、将来的に埋め込んだインプラントが割れてしまうこともあります。
逆に、必要以上に多くのインプラントを埋入することは、患者様の身体的負担と経済的負担の増大を招いてしまいます。
精密検査と患者様からのヒアリングから、「最適なインプラント本数」を決定することが長持ちするインプラント治療につながります。
奥歯のインプラント治療で当院が重視していること
①耐久性への配慮
奥歯は強い咬合力がかかるため、見た目だけでなく耐久性が重要です。
②必要十分な本数と配置
埋め込むインプラント本数は少なすぎても多すぎても良くありません。
患者様ごとの条件に合わせて、合理的な設計を行います。
分かりやすく言ってしまうと、
インプラント本数が多すぎる→痛みと腫れと費用が増大する。
インプラント本数が少なすぎる→噛む力に負けて、インプラントが壊れてしまう。
患者様の個々の咬合力(噛む力)を見極めた上で、必要十分なインプラント本数を適切に位置に配置することが大切です。
③清掃しやすさ
どんなに見た目がよくても、磨きにくければ長持ちしにくくなります。
歯周病(インプラント周囲炎)にならないよう、メインテナンスまで見据えた形態を重視しています。
歯磨きを怠りがちの方の場合は、インプラントブリッジを避けたほうが良いこともあります。
④噛み合わせ全体で考える
欠損部だけを治すのではなく、全体のバランスの中で設計することが大切です。
歯がない箇所だけを治す部分治療の場合は、噛み合わせ全体の力のコントロールが図れないため、必要となるインプラント本数は多くなる傾向があります。
お口の中全体を治療させていただくことで、歪んだ噛み合わせの力を排除することで、少ないインプラント本数での施術が可能となります。
まとめ
奥歯のインプラント治療では、失った本数と同じ本数のインプラントが必要になるとは限りません。
症例によっては、少ない本数のインプラントで複数本分の歯を支えるインプラントブリッジという方法が有効になることがあります。
しかし、大切なのは単純にインプラント本数を減らすことではありません。
噛む力、歯ぎしり・食いしばり、顎骨の状態(骨密度)、清掃性、そして噛み合わせ全体のバランスまでも考慮した上で、長期的に安定する設計になっているかどうかがポイントです。
当院では、CT検査と噛み合わせの診断をもとに、患者様お一人おひとりに合った、効率の良いインプラント治療をご提案しています。
・奥歯を失ってお困りの方
・入れ歯ではなく、しっかり噛める治療をご希望の方
・奥歯のインプラントブリッジについて詳しく知りたい方は、
どうぞお気軽にご相談ください。
初診時に、審美性・機能性・耐久性を考慮した、治療計画と治療費をご説明しています。
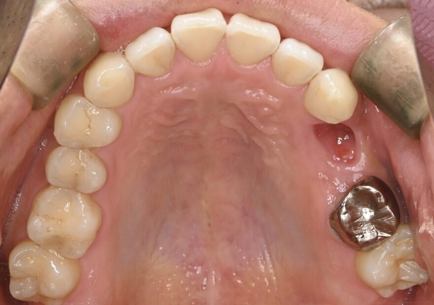
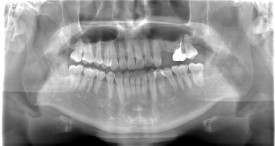
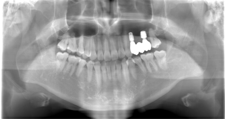
2本のインプラントで奥歯3本を再建したインプラント治療例
治療前の口腔内写真


治療前のレントゲン写真

治療計画
両サイドに2本のインプラントを埋め込み、3本の上部構造を支えるインプラントブリッジを患者様に提案しました。
埋め込むインプラントを3本ではなく2本にすることで、オペ後の腫れと痛みを少なく、治療費も少なくできます。
治療後の口腔内写真


治療後のレントゲン写真

症例の治療に必要な標準的な費用
1,012,000円(税込)
奥歯インプラント2本→1本あたり440,000円(税込)
前歯プレミアムセラミックダミー2本→1本あたり132,000円(税込)
主なリスク・副作用
インプラント治療には「腫れ・痛み・違和感・出血・感染」などのリスクがあります。
また、稀にインプラントと骨が結合しないことがあります。
もし万が一、インプラントと骨が結合しない場合は、すぐに再埋入手術を無料で行わせて頂きます。