目次
みなさんこんにちは。
藤沢市鵠沼海岸にある歯医者、医療法人社団 くげぬま海岸歯科クリニックです。
今日は前歯を失ったときに気になる、インプラントの必要本数について解説します。
前歯を失った本数分、インプラントも同じ本数が必要?
「前歯を交通事故などで失ってしまった。」
「虫歯が進行していまい、抜歯が必要と言われた。」
以上のような理由で来院された患者様から
「失った歯の本数分、インプラントも同じ本数が必要ですか?」
と、質問を受けることがたくさんあります。
ざっくりお伝えしてしまうと、前歯の場合は、想像よりも少ないインプラント本数で対応できるケースがほとんどです。
なぜ前歯は「少ないインプラント本数」で良いの?
前歯は奥歯に比べて、
・噛む力が小さい(奥歯の半分程度)
・噛み合わせ調整で力をコントロールしやすい
という傾向があります。
よって、適切な診断と力学的な設計ができれば、複数本の歯をインプラントブリッジ(連結)としてまとめて支える手法が、有効な選択肢となります。
失った前歯の本数と、必要なインプラント本数のイメージ図
前歯3本がない方の場合

2本のインプラントで3本の上部構造(セラミック歯)を支えます。
前歯4本がない方の場合

2本のインプラントで4本の上部構造(セラミック歯)を支えます。
前歯6本がない方の場合

3本のインプラントで6本の上部構造(セラミック歯)を支えます。
少ないインプラント本数でも長期的に安定するの?
ほとんどのケースで、少ないインプラント本数でも問題なく長期安定します。
しかし以下のことに留意することは必要です。
①力学的に安定する位置に埋め込む
インプラントは「十分な骨がある箇所に埋め込めばOK」ではありません。
将来にわたり咬合力(噛む力)に負けない位置を見極めて、インプラントを埋め込むことが大切です。
つまり、骨が少ないところにもインプラントを埋め込む高度な技術が求められます。
②長いインプラントを使用する
前歯の天然歯の長さは平均13ミリ。
前歯のインプラントはそれよりも長い15ミリ〜18ミリのサイズを主に使用します。
更に、その長いインプラントを鼻腔底の硬い骨(皮質骨)を噛み込ませます。
本数が少ない分、長さ・位置・連結設計を組み合わせることで耐久性を高めます。
③連結(ブリッジ)で耐久力を上げる
そもそも、なぜ前歯を失ったかというと、下顎の強い力に負けてしまい、
・歯に細い亀裂が入り、そこに虫歯菌が侵入して大きい虫歯ができた
・神経を失った歯が割れてしまった
・歯周病が進行し、グラグラになって抜けた
以上のような理由が大半です。
(交通事故などの外相は例外です。)
よって、単独歯で失った前歯を再建しても、また下顎の強い力に負けてしまい、インプラントが壊れてしまうリスクがあります。
連結することで、下顎からの突き上げに負けない、耐久性に優れた上部構造(セラミック歯)が完成します。
連結(ブリッジ)だと見た目が悪くならない?
一般の方から見て、「連結されている」と分かることは、ほとんどありません。
見た目は単独歯と比較してほぼ遜色ないと断言できます。
しかし、連結(ブリッジ)にもデメリットも存在します。
・フロスが通らない
・完全に天然歯と同じ形態を望む方には、心理的には受け入れられないことがある
そのため当院では、
見た目・清掃性・耐久性・費用のバランスを患者様と相談し、「ブリッジ」か「単独歯(歯の本数分のインプラント)」かを一緒に決めます。
ただし、単独歯で再建する場合、埋め込むインプラントの本数が増える分、治療コストは増大します。
連結されていると清掃性が悪くならない?
これも多くの患者様から質問される内容です。
精密にインプラント上部構造を製作することで、天然歯よりも汚れが溜まりにくい形態にすることができます。
インプラント上部構造(セラミック歯)と歯茎をしっかりと密着させることで、そもそも汚れが入り込まず停滞しないようにすることが可能です。
普段から行っている歯磨きを普通にしていただければ、歯周病(インプラント周囲炎)の心配はありません。
もちろん、歯科衛生士さんによる定期的なプロフェッショナルケアは必須となります。
まとめ
前歯に限らず、当院では最小のインプラント本数で、多くの歯を再建することを目指しています。
しかし、インプラントの本数を少なくするほど、
・埋入位置
・力を分散する設計
・上部構造の寸法精度
・メンテナンス(特に噛み合わせ調整)
が重要となります。
ご相談の際に、審美性・機能性・耐久性を考慮した、治療計画と治療費をご説明しています。
不安な点はお気軽にご相談下さい。
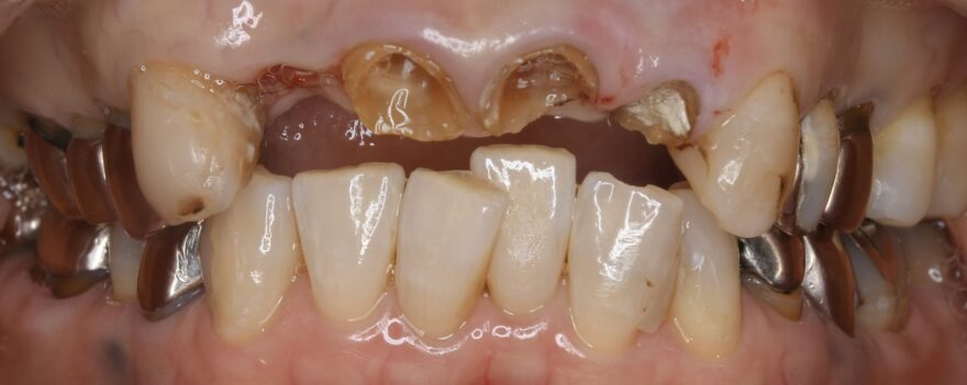
2本のインプラントで前歯4本を再建したインプラント治療例
治療前の口腔内写真

前歯4本をインプラントで再建する必要がありました。
治療計画
両サイドに2本のインプラントを埋め込み、4本の上部構造を支えるインプラントブリッジを患者様に提案しました。
埋め込むインプラントを4本ではなく2本にすることで、オペ後の腫れと痛みを少なく、治療費も少なくできます。
治療後のレントゲン写真

治療後の口腔内写真

症例の治療に必要な標準的な費用
1,320,000円(税込)
前歯プレミアムインプラント2本→1本あたり495,000円(税込)
前歯プレミアムセラミックダミー2本→1本あたり165,000円(税込)
主なリスク・副作用
インプラント治療には「腫れ・痛み・違和感・出血・感染」などのリスクがあります。
また、稀にインプラントと骨が結合しないことがあります。
もし万が一、インプラントと骨が結合しない場合は、すぐに再埋入手術を無料で行わせて頂きます。