目次
こんにちは。
藤沢市鵠沼海岸の歯医者、くげぬま海岸歯科クリニックです。
今日は、当院の矯正医の芝田先生がよく用いている「歯科矯正用アンカースクリュー」について解説します。
歯科矯正用アンカースクリューとは?
矯正治療の際に歯を動かすための固定源として使う、小さな医療用スクリューのことです。
一般的な矯正治療では、歯を動かしたい時に、他の歯を固定源として力をかけます。
しかし、このアプローチだと、本来動かしたくない固定源の歯まで動くリスクがあります。
そのリスクを負わないで済むのが、「歯科矯正用アンカースクリュー」です。
顎骨に小さなスクリューを埋め込み、そのスクリューを固定源とすることで、動かしたい歯だけを効率的に動かすことができます。
アンカースクリューはどのようなケースで使用するの?
・出っ歯を治したい。
・奥歯は動かしたくない。
・歯の捩れが強い。
・噛み合わせの歪みを効率良く改善したい。
・治療期間を短縮したい。
・ヘッドギアのような大掛かりな装置を避けたい。
ざっくり言ってしまうと、
患者様の負担を増やすことなく、短期間で効率良く歯を移動させたい場合に、アンカースクリューは活躍します。
アンカースクリューのメリット
アンカースクリューがない時代では、患者様自身にゴムを寝る前に付けて貰ったり、ヘッドギアを長時間装着して貰ったり、歯が動くかどうかは、患者様の頑張り次第とも言えました。
しかし、アンカースクリューを活用すると、歯科医師側が全てをコントロールできるので、
・効率的に歯が動く。
・動かしたくない歯は動かない。
・治療期間が短縮できる。
・より綺麗に歯が並ぶ。
・患者様の協力度に左右されない。
以上のようなメリットがあります。
アンカースクリューを顎骨に埋め込む時は痛い?腫れる?
「顎骨の中にネジを埋め込む」と聞いてしまうと、とても大ごとに感じられてしまうかも知れません。
しかし、使用するスクリューの平均サイズは直径1.5ミリ長さ7ミリと小さく、埋入にかかる時間は部分麻酔を用いて数分です。
矯正治療が終了後には簡単に撤去でき、撤去後には穴もすぐに閉じます。
材質は、インプラントと同じく生体親和性の高いチタンですので、金属アレルギーの心配もありません。
処置後に多少の違和感が出ることはありますが、強い痛みや腫れが出ることはありません。
痛み止めを服用するとしても施術日だけの方がほとんどですので、矯正治療を有利に進めるために積極的に選択する価値がある、治療方法といえます。
まとめ
アンカースクリューは、ハーフリンガルや裏側矯正との親和性が良い治療手法です。
ハーフリンガルと裏側矯正では上顎の歯列の裏側に矯正装置が装着されます。
口蓋に埋め込んだアンカースクリューを固定源とすることで、裏側の矯正装置に力をかけていくと、驚くくらいにスムーズに歯が動いてくれます。
他院さんで
・ヘッドギアの使用を提案された。
・毎日のゴム掛けを提案された。
・治療期間が3年以上と言われた。
ことで、矯正治療に踏み切れない方は、ぜひ当院にご相談下さい。
矯正用アンカースクリューを併用したハーフリンガル治療例
年齢・性別
30代・女性
来院動機
捻れた前歯を綺麗にして欲しい。
目立ちにくい矯正装置で治したい。
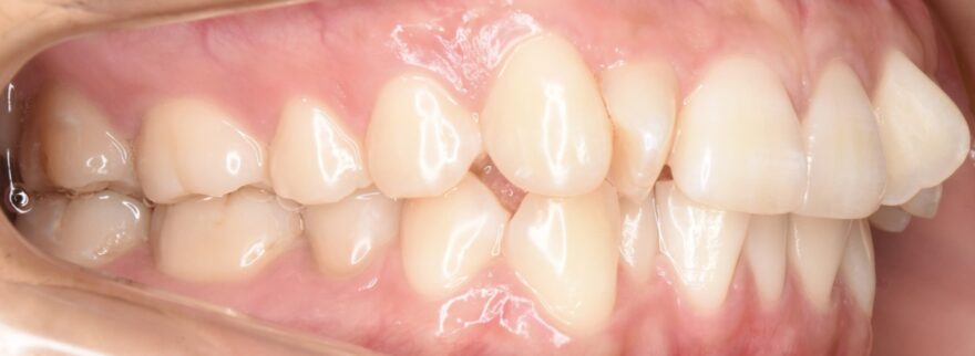
初診時の口腔内写真

前歯が捻じれてしまっています。

側方から見ると、前歯が90度以上回転していることがわかります。

最後方の奥歯が噛んでいません。


治療方針
当院では、歯科矯正用アンカースクリューを併用した、歯列矯正を行なっています。
歯列矯正用に作られた口腔内用の小さなネジが、アンカースクリューです。

アンカースクリューを併用することで、ヘッドギアを使用しなくても、スピーディーな歯の移動が可能となりました。
顎骨の中にネジを埋め込むと聞いて、過度に心配される患者様もいますが、施術後の痛みと腫れはほとんどありません。
イメージとしては、耳へのピアスぐらいの負担感でしょうか。

歯科矯正用アンカースクリューのメリットとしては以下が挙げられます。
・治療期間が短縮できる。
・患者様の負担が少ない快適な治療が可能。
・従来の装置では難しいとされてい症例の治療が容易。
・矯正治療の確実性と仕上がりのクオリティーが向上。
・ハーフリンガルとの相性が良い。
当院では、上顎のみ裏側に矯正装置を付けるハーフリンガルに歯科矯正用アンカースクリューを組み合わせることで、患者様のストレスを最小限に抑えた矯正治療を行なっています。
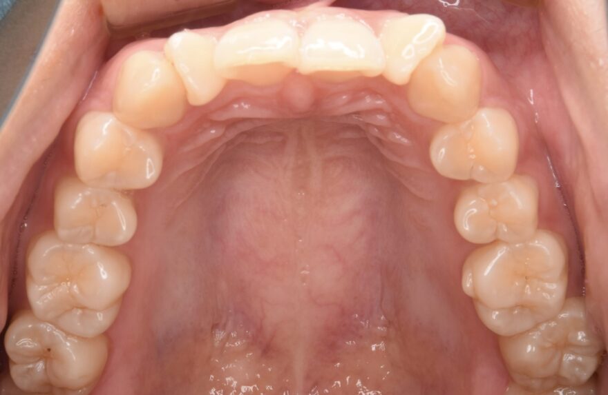
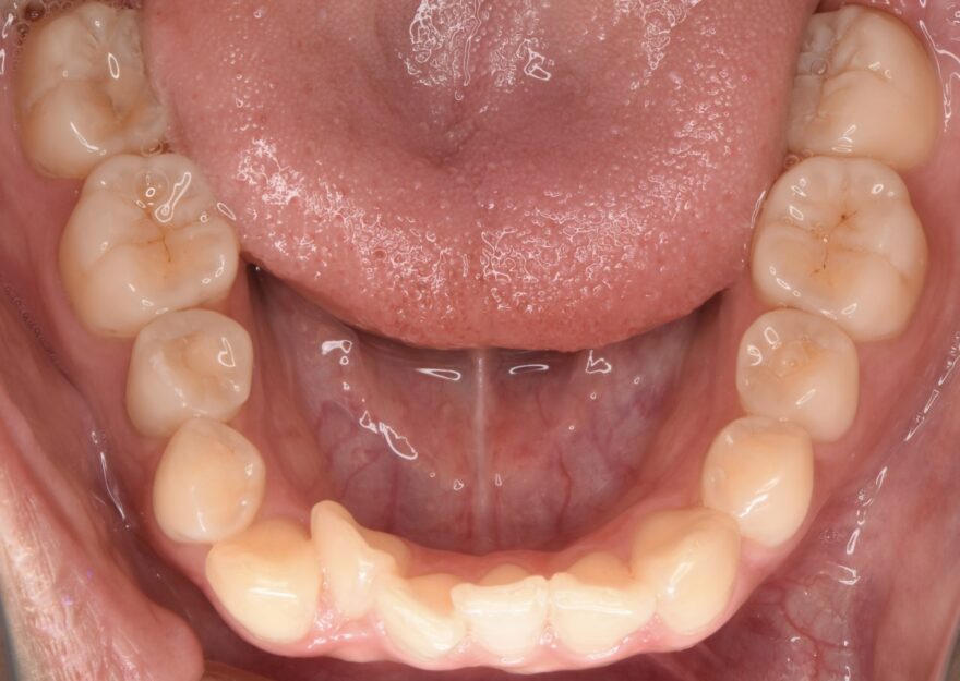
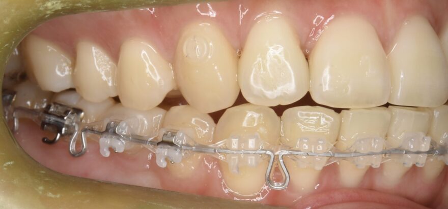
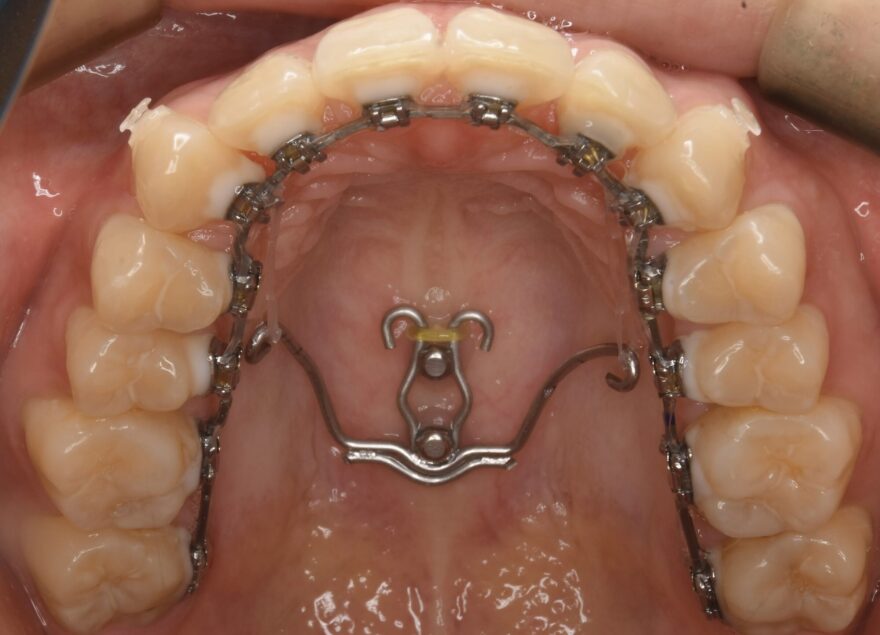
治療中の口腔内写真

上顎は裏側に矯正装置が付いています。



口蓋に2本の歯科矯正用アンカースクリューが埋め込まれ、裏側の矯正装置とゴムで繋がっていることがわかります。

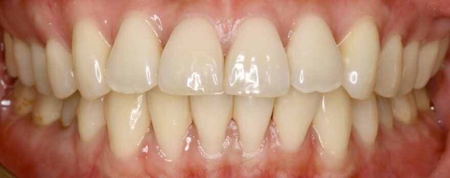
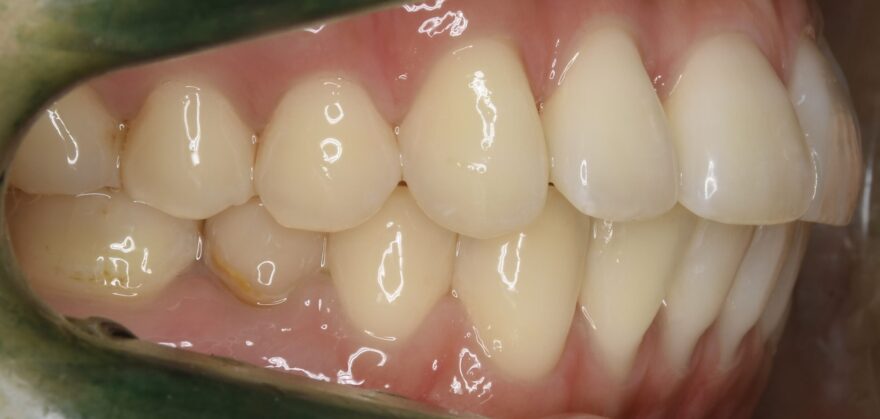
治療後の口腔内写真

約2年半の動的期間(歯を動かす時期)で、ここまで美しい歯並びになりました。
歯科矯正用アンカースクリュー無しだと、治療期間は更に1年長くなってしまったと思います。

前歯の捩れも無くなりました。


上顎の前歯にはワイヤーによる保定装置を装着しました。

こちらもの前歯にはワイヤーによる保定装置を装着しました。
矯正医より
当院では、歯科矯正用アンカースクリューを活用した矯正治療を行なっています。
最新の国内外のテクニックを積極的に取り入れることで、
・できるだけ痛くなく
・できるだけ短い治療期間で
・できるだけ日常生活を犠牲にせず
・できるだけ装置が目立たないように
を心がけています。
矯正診断の際には、お気軽に歯科用アンカースクリューについて私にご相談下さい。
メリットだけではなくデメリットも分かりやすくご説明します。
症例の治療に必要な標準的な費用(当投稿日現在)
装置・施術料 990,000円(税込) ハーフリンガル
アンカースクリュー 44,000円(税込) *1本あたり22,000円(税込)
- 調整費別途
主なリスク・副作用
きちんと歯磨きをしないと、虫歯や歯周病が進むことがあります。