目次
年齢・性別
30代・男性
来院動機
右上の奥歯がなくて困っている。
他院で、副鼻腔(上顎洞)に骨を造る手術を提案された。
しかし、治療期間が1年ほどかかること、痛みと腫れが強く出る可能性を聞いたので、転院したい。
治療内容
事前の精密検査
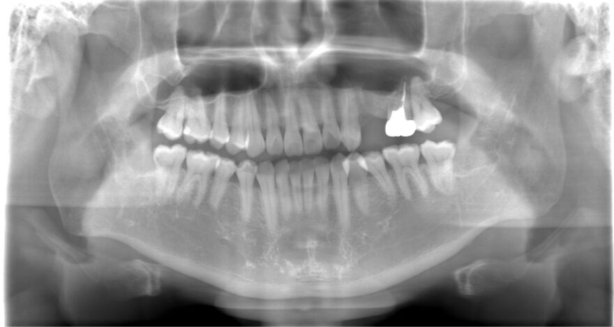
初診時のレントゲン写真

また銀歯(レントゲンで白く映っている歯)もグラグラしており、噛むと痛い状態でした。
初診時のCT写真

残せない歯を他院さんで抜いたばかりのため、骨がとても少ない状態です。

こちらも顎骨が非常に薄く、上顎洞(副鼻腔)までの距離は3ミリくらいしかありません。
初診時の口腔内写真


治療方針

こんなに大きく切って骨を削るのは、できる限り避けたいところです。
また、人工骨を使用するため、副鼻腔炎(上顎洞炎)を併発するリスクがあります。
加えて、人工骨が安定するには、6ヶ月の長い期間を必要とします。
他院さんの治療計画は、下記のように13ヶ月もかかるものでした。
①まず残せない銀歯を抜く
↓3ヶ月待つ
②サイナスリフトで骨を造る
↓6ヶ月待つ
③インプラントを埋入
↓3ヶ月末
④インプラント上部構造(セラミック歯)の型取り
↓1ヶ月待つ
⑤インプラント上部構造(セラミック歯)のセット
当院では、治療期間が長期にわたる可能性がある骨造成手術は行なっておりません。
患者様ご自身の骨の再生能力を活かすことで、辛くない治療期間の短いインプラント治療のみを行なっています。

患者様の要望にお応えして、サイナスリフトを避け、ドリル逆回転によるソケットリフトでのインプラント治療で対応することになりました。
こちらの手法であれば、治療期間は3ヶ月しかかかりません。
オペ中の口腔内写真

・顎骨が薄い上顎の奥歯に有効な「ショートインプラント」
・歯茎を切らない開かない縫わない「フラップレスインプラント」
・残せない歯を抜いて即時にインプラントを埋め込む「抜歯即時埋入インプラント」
4つのテクニックを組み合わせることで、4回の通院で終了する治療計画を立てました。



奥の銀歯を抜いてから、Densah® Burで骨を圧縮しながら上顎洞に押し込んでいきます。
上顎洞底骨を意図的に穿孔することで、インプラントを埋め込むスペースを確保します。

薄い骨でもDensah® Burで圧縮することで、インプラントは強固に安定しています。
オペ後のCT写真

インプラント先端が少しだけ上顎洞(副鼻腔)に突き出てるように見えますが、問題はありません。

ご自分の骨で持ち上げられたスペースには血液がたまり、少しずつ骨に置換していきます。
治療後のレントゲン写真

大掛かりな骨を増やす手術を避け、治療期間の短縮をはかっても、インプラントは骨と結合しています。
治療後のCT写真

インプラント周囲に健全な骨が再生されています。

上顎洞粘膜をDensah® Burでリフトアップした部分にも緻密な骨が再生されました。
治療後の口腔内写真


Dr.より
上顎の骨が薄い少ない方へのインプラント治療を、私は得意としています。
他院さんで大規模な手術を提案され、治療期間の長さにお悩みの方は、ぜひ当院にお越し下さい。
痛くない腫れない辛くないインプラント治療で、短期間で奥歯を再建できます。
症例の治療に必要な標準的な費用
1,067,000円(税込)
奥歯用インプラント2本→1本あたり440,000円(税込)
ソケットリフト1本→55,000円(税込)
奥歯用インプラントダミー1本→132,000円(税込)
主なリスク・副作用
インプラント治療には「腫れ・痛み・違和感・出血・感染」などのリスクがあります。
また、稀にインプラントと骨が結合しないことがあります。
もし万が一、インプラントと骨が結合しない場合は、すぐに再埋入手術を無料で行わせて頂きます。
施術名
インプラント治療
施術の説明
インプラント治療とは、歯を失ったところにチタン製の人工歯根を埋入し、新しく歯を再建する方法です。