目次
みなさんこんにちは。
藤沢市鵠沼海岸にある歯医者、医療法人社団 くげぬま海岸歯科クリニックです。
今日は難しいと言われる前歯のインプラントについて解説します。
前歯のインプラントはなぜ難しい?
奥歯で、十分な骨がある場合のインプラント治療はそこまで難しくありません。
一般的に、インプラントを安定させるだけの骨量がない前歯のインプラントの方が難易度は高くなります。
また、前歯には奥歯にはない役目があります。
・見た目
・発音
・滑舌
以上の要素も含めて、患者様をご満足させる必要が前歯のインプラント治療において求められます。
インプラント治療ではなくブリッジによる修復を提案する医院が大半です。
前歯のインプラント治療には、複合的な様々な技術が求められるため、大半の医院においてブリッジをまず提案されることが多いです。
しかし、ブリッジの場合、歯を失った箇所の歯茎がどんどん痩せていくため、美しい見た目を長期間において保つことが困難です。
加えて、両サイドの健康な歯を削るデメリットもあります。
当院が最も得意としているのが、前歯の審美インプラント治療。
第三者やご家族から口元を見られても、絶対にインプラントと分からないクオリティでの仕上がりを、皆様にお約束します。
前歯のインプラントを製作する歯科技工士をご紹介します。
当院のインプラント治療は全て私が担当します。
・骨量
・噛み合わせ
・全体の歯並び
・患者様の理想とする歯の色と形
・清掃性
・発音と滑舌
・舌のスペース
以上のような多岐にわたる要素を綿密に考慮した上で、理想的な位置にインプラントを埋め込んでいきます。
その上で、インプラント上部構造(セラミック歯)の製作を、私が信頼するパートナーである石山先生にお願いしています。
私と石山先生が一人ひとりの患者様の要望を細かく共有していくことで、個々の患者様にとって最高品質の前歯を再建いたします。

前歯の審美インプラント治療のセラミック歯を担当している石山です。
前歯にコンプレックスがあり、うまく笑えなかった患者様に、笑顔になって頂けることが生き甲斐です。
世界水準の最先端歯科技工を軸に、患者様一人一人の魅力を最大限に引き出し、ご自身の歯のようにお使いいただける本物の歯を作り上げていきます。
前歯の審美インプラント治療例
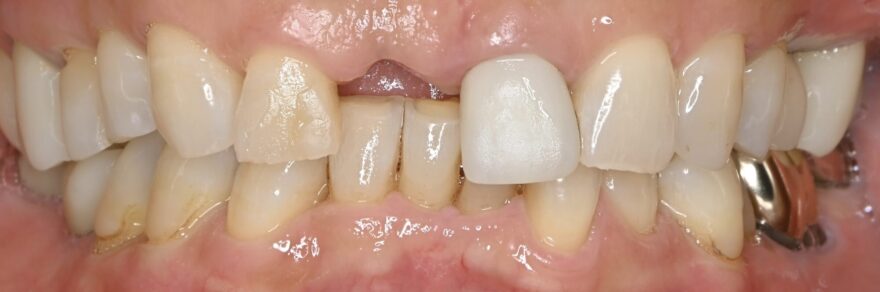
初診時口腔内写真

かかりつけの医院さんで、前歯のインプラント治療はできないと言われての、当院受診でした。
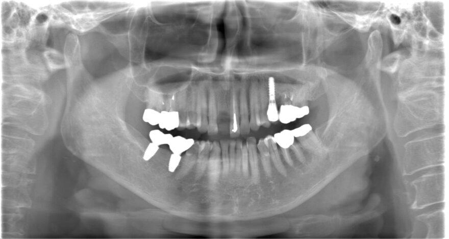
初診時レントゲン写真

このように、前歯の欠損部にブリッジもしくは入れ歯を他院さんで提案されてしまい、当院にご相談に来られる患者様が多数いらっしゃいます。
オペ前のシミュレーション

ほとんどの医院さんで
・前歯のインプラントが難しい
・骨が無いから、骨を造る処置が必要
・治療期間が1年くらい
と言われてしまう理由は、インプラントの外側(唇側)に骨が足りないことが多いからです。
今回の症例でも、右下のCT画像を見て頂くと分かるように、インプラントの外側(唇側)の骨がペラペラで薄いことが分かります。
骨が少なくても安全に骨を増やせます。
骨を増やす手法としては
・人工骨移植
・自家骨移植(ご自分の骨の移植)
のいずれかが一般的に行われています。
しかし、人工骨移植には感染リスクが伴います。
また、移植した人工骨が生着しない可能性もあります。
自家骨移植には、手術箇所が増えるデメリットがあります。
インプラントを埋め込む部位に加えて、口腔内のどこかから骨を採取するため、傷口が2箇所になり痛みが倍になってしまいます。
以上の理由により、私はできるだけ骨移植を行いません。
その代わりに行なっている手法が、Densah® Burの逆回転ドリリング。

骨を削るドリルを正回転で回すと、骨の削片が浮き上がってきます。
骨を削るドリルを逆回転で回すと、骨の削片が内部に押し込まれることで、むしろ骨が増えます。

骨を削るのではく、骨を圧縮し広げることで、前歯のインプラントオペがシンプルかつスムーズに終わります。
オペ日の口腔内写真とCT

失った前歯の箇所の歯茎の骨が痩せていることが分かります。

直径4ミリほどの穴を開けていきます。


ここまでのオペ時間はわずか10分。
出血もありません。

シミュレーションと同じ位置にインプラントが埋め込まれていることが分かります。

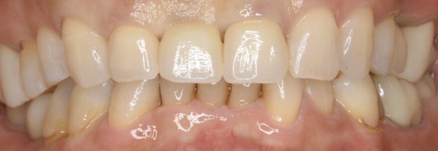
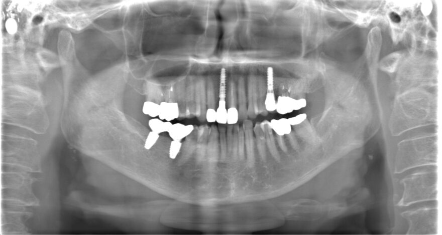
治療後の口腔内写真

なおインプラントの両サイドにはセラミック歯を被せてます。
治療後のレントゲン写真

精密に施術されたインプラントは20年30年とトラブルなくお使い頂けます。
この症例の治療費
前歯プレミアムインプラント1本→495,000円(税込)
前歯プレミアムセラミック2本→330,000円(税込)《1本あたり165,000円(税込)》
ファイバーコア1本(神経ない歯への補強材)→22,000円(税込)
総額 847,000円(税込)
この症例のリスク
セラミックが稀にかけたり割れたりすることがあります。
インプラント治療には「腫れ・痛み・違和感・出血・感染」などのリスクがあります。
また、稀にインプラントと骨が結合しないことがあります。
もし万が一、インプラントと骨が結合しない場合は、すぐに再埋入手術を行わせて頂きます。
いずれも10年保証が付与されていますので、トラブル時には無料対応いたします。
(半年に1回の定期検診が保証の条件となります。)