年齢・性別
10代・男性
来院動機
八重歯を矯正治療で治したい。
なるべく目立ちにくい矯正装置が希望。
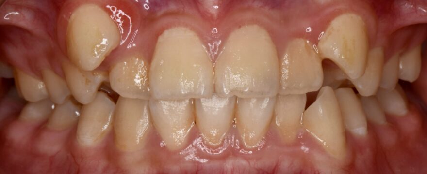
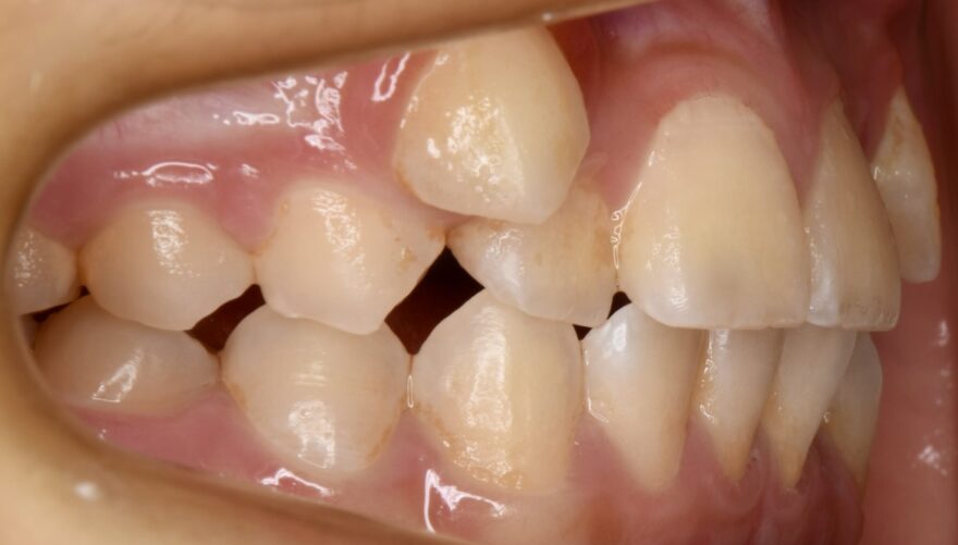
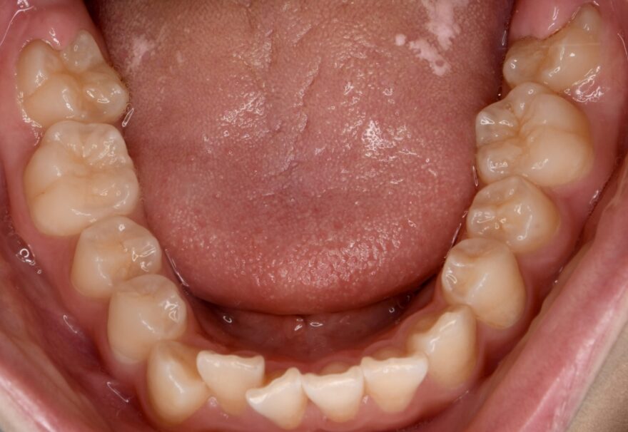
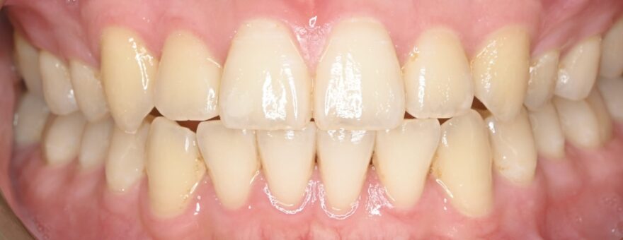
初診時の口腔内写真

八重歯が目立ちます。

側方から見ると、さらに八重歯が気になります。

奥歯があまり噛んでいません。


治療方針
こちらの患者様の矯正スタート時の年齢は14歳。
中高生の患者様においても、目立ちにくい矯正装置を希望される方の割合が増えています。
最も目立ちにくいのはマウスピース矯正(インビザライン)とフルリンガル(上下顎共に裏側矯正)です。
しかし、お子さんが毎日自分で20〜22時間マウスピースを使用してくれるかどうかは未知数ともいえます。
また、フルリンガルは装置料が1,210,000円(税込)と高額になってしまいます。
塾や習い事で忙しい中高生の方に、当院が推奨しているのは、上顎のみ裏側に矯正装置を付けるハーフリンガル。
矯正担当の芝田先生の緻密な力学コントロールにより、確実に歯を移動することが可能です。
上下顎両方に裏側に矯正装置をつけるフルリンガルと比較して、コストパフォーマンスにも優れています。
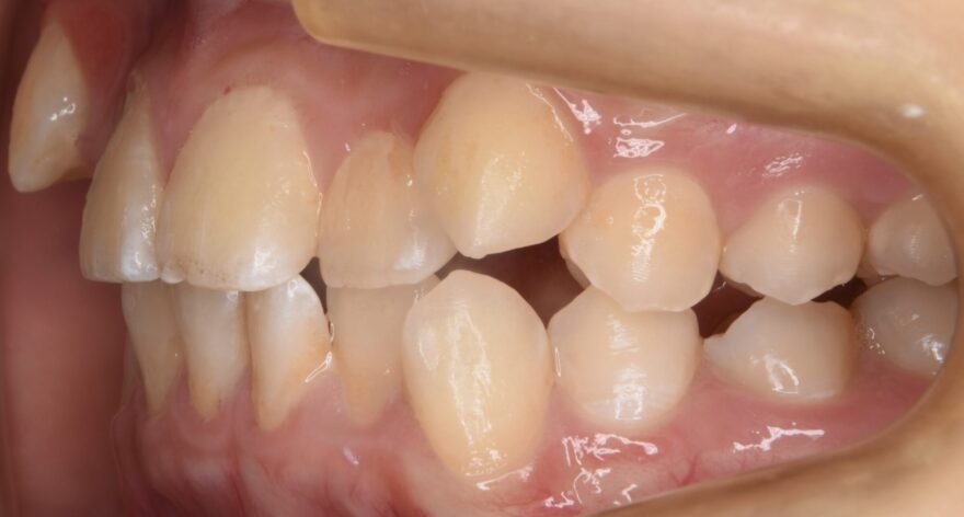
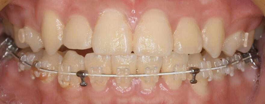
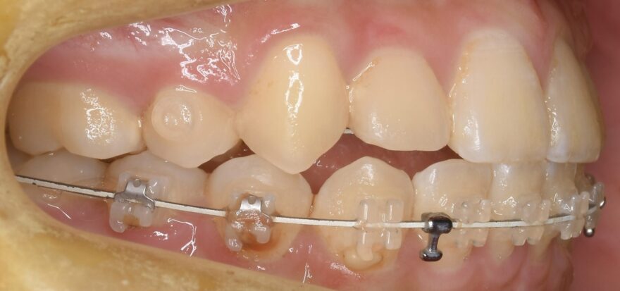
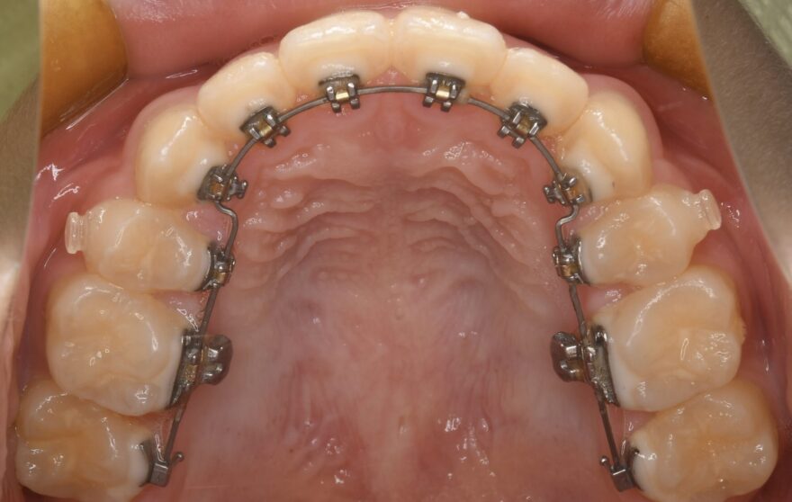
治療中の口腔内写真

上顎は裏側に矯正装置が付いています。



裏側に矯正装置が付いています。

下顎は外側に矯正装置が付いているので、舌が擦れて痛くなることはありません。
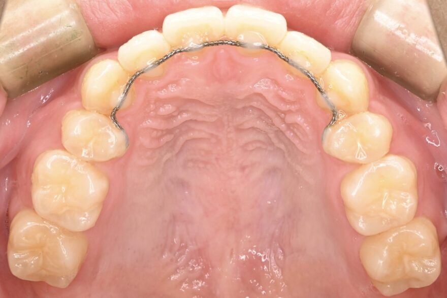
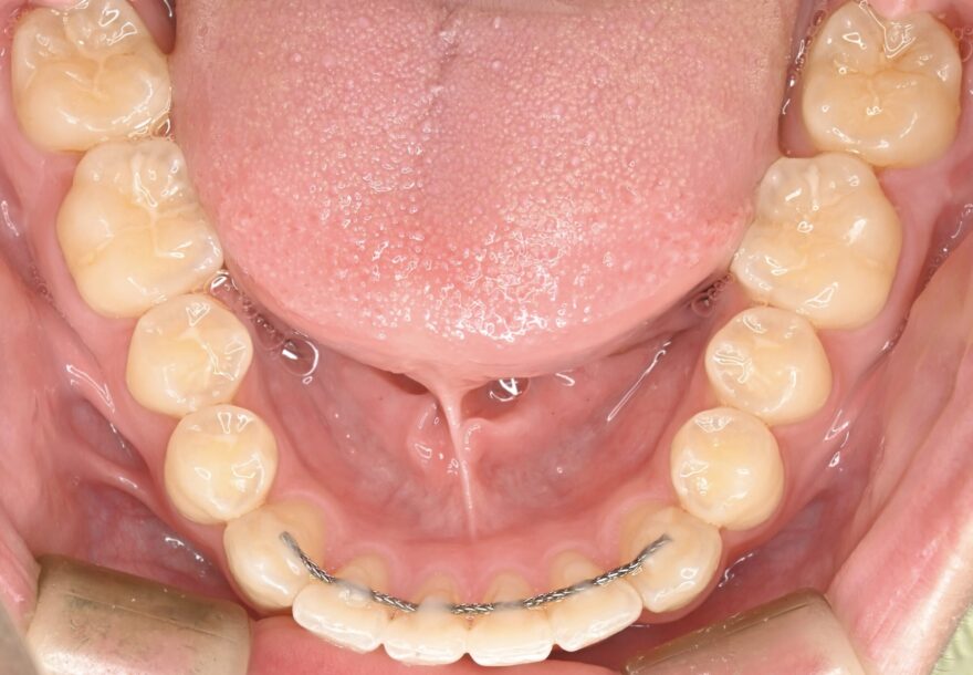
治療後の口腔内写真

約2年の動的期間(歯を動かす時期)で、八重歯があるべき位置に並びました。

奥歯も緊密に咬んでいます。


上顎の前歯にはワイヤーによる保定装置を装着しました。
若い方は、身体の成長に応じて歯並びが変化しやすいため、保定装置は必須となります。

こちらもの前歯にはワイヤーによる保定装置を装着しました。
矯正医より
当院では、すべての年代の方にハーフリンガル矯正を推奨しています。
私自身としても、
・治療期間が短い
・見た目が目立ちにくい
・痛みや違和感が少ない
・費用対効果に優れている
・発音と滑舌への影響が少ない
以上の理由から、ハーフリンガルを選ぶメリットはとても大きいと考えています。
矯正診断の際には、個々の患者様に最適な矯正手法をご提案しています。
それぞれの矯正手法のメリットだけではなくデメリットも解説しておりますので、お気軽にご相談下さい。
症例の治療に必要な標準的な費用(当投稿日現在)
装置・施術料 990,000円(税込) ハーフリンガル
- 調整費別途
主なリスク・副作用
きちんと歯磨きをしないと、虫歯や歯周病が進むことがあります。