セラミックの種類と価格
Ceramic Crown Types and Pricesセラミッククラウンとはセラミックでできた被せ物です。
虫歯などで削った部分歯全体にかぶせる人工の歯をクラウン(冠)といいます。
セラミックは、天然歯と極めて近い見た目に仕上げる事ができるので、大きく削ってしまった歯であっても自然な口元を再現できます。

オールジルコニア(フルジルコニア)
奥歯用セラミックの代表的な被せ物です。
ジルコニアフレームに歯科技工士が色付けして製作するため、審美性に劣り前歯には向いていません。
その代わり単層構造のため、ジルコニアセラミックよりも強度が優れており、噛む力が強い方でも壊れることはありません。
ダイヤモンドと同じ硬さと言われています。
治療に必要な標準的な費用(1本あたり)と保証期間
| 5年保証 | 110,000円(税込) | 
|---|---|
| 10年保証 | 143,000円(税込) | 
主なリスク・副作用
稀に外れることがあります。
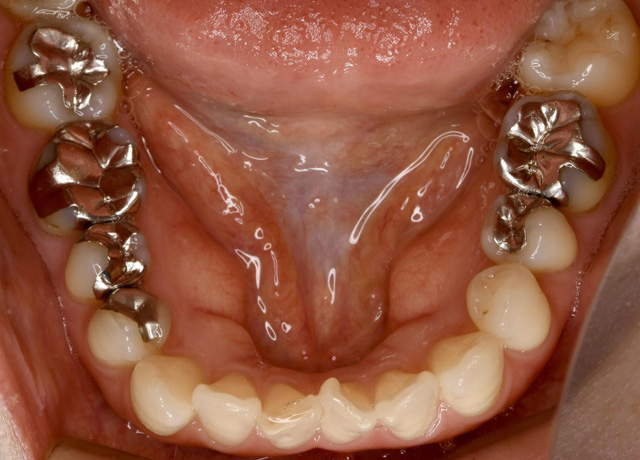
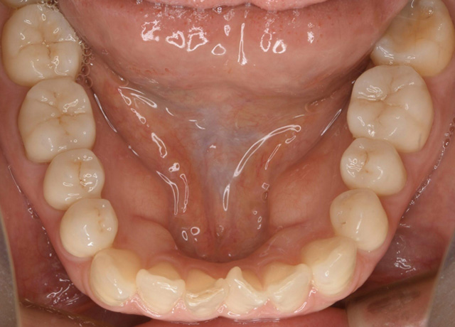
治療例 1


治療内容
銀歯を全て、10年保証の美しいオールジルコニアに交換しました。
5年保証のものに比べると、より天然歯に近く審美性に優れています。
費用
858,000円(税込)
- 10年保証オールジルコニア6本
 1本あたり143,000円(税込)
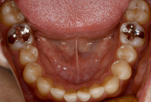
治療例 2


治療内容
目立つ銀歯を、5年保証のオールジルコニアに交換しました。
十分な強度と美しさを兼ね備えています。
費用
220,000円(税込)
- 5年保証オールジルコニア2本
 1本あたり110,000円(税込)
プレミアムセラミック
当院オリジナルの最高級セラミックです。
ジルコニアセラミックとオールジルコニアの両方の長所を兼ね備えています。
ジルコニアセラミックで欠けやすい、人工歯の先端部分までジルコニアフレームを伸ばして製作します。
目立つ歯の表面部分のみにセラミックを盛ることで、ジルコニアセラミックの欠点である強度不足を改善しました。
10年の長期保証をお付けできるのは、当院のセラミック技術に絶対の自信があるからです。
プレミアムセラミックは、セラミック専門の歯科技工士である「石山雄基」「高畑寿也」が担当します。
治療に必要な標準的な費用(1本あたり)
| 費用 | 165,000円〜198,000円(税込) | 
|---|
保証期間
10年
主なリスク・副作用
稀に外れることがあります。
治療例 1


治療内容
交通事故で欠けてしまった前歯を、最高品質のプレミアムセラミックで施術しました。
費用
165,000円(税込)
- プレミアムセラミック1本
治療例 2


治療内容
他院さんで入れた保険適応の被せ物が外れたため、最高品質のプレミアムセラミックで施術しました。
費用
330,000円(税込)
- プレミアムセラミック2本
 1本あたり165,000円(税込)
治療例 3


治療内容
保険診療で入れた差し歯の変色が目立つため、最高品質のプレミアムセラミックで施術しました。
費用
660,000円(税込)
- プレミアムセラミック4本
 1本あたり165,000円(税込)
