セラミック治療の工程
Process当院におけるセラミック治療の工程をご紹介します。
大きい虫歯がある場合でも、2回の通院で美しいセラミック歯が入ります。
(前歯で色合わせにこだわる必要があるケースでは3回の通院が必要です。)
1本のセラミック治療の場合、虫歯除去と削合と型取りで40分、仮歯作成で20分、セラミック歯のセットと噛みあわせ調整で40分、合計1時間40分くらいで全ての工程が完了します。
-
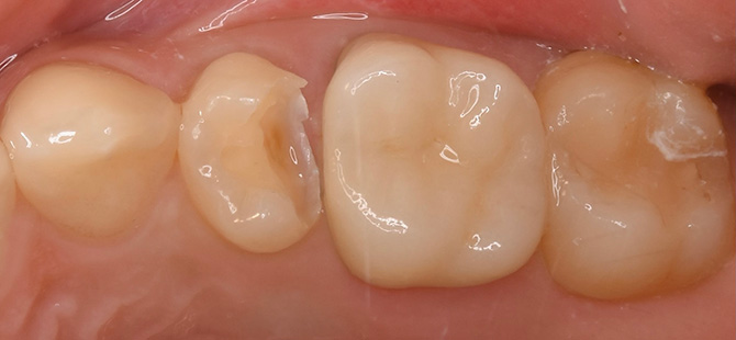
左側から2番目の歯に大きい虫歯があります。
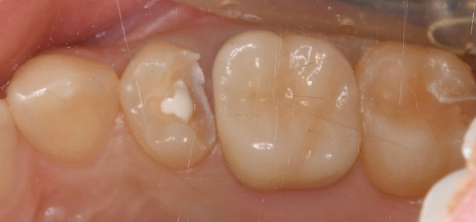
慎重に虫歯を取り除いていきます。
虫歯を全て取り除きました。
神経に近い部分をMTAセメントで保護します。
MTAセメントの上に樹脂を盛り上げていきます。
円柱型に削ります。
この状態を、プライムスキャンで型取りします。
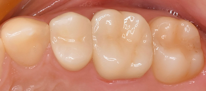
型取りをしてから8日後に美しいセラミッククラウンが入りました。
側方から見ても、どこがセラミッククラウンがわからないと思います。
(上の真ん中の歯です。)
デジタル光学スキャナーのプライムスキャン
当院では、デジタル光学スキャナーのプライムスキャンを使用して、口腔内のデータを記録しています。
粘土のようなピンクのドロっとしたものでの型取りは原則行っておりません。(奥歯の場合)

従来の型取り方法
- 歯科医院で粘土のようなもので、歯型を取る。
- 歯型に石膏を注ぐ。
- 歯科技工士が石膏を微調整する。
- 石膏の上に、歯科技工士が少しずつセラミック(陶材)を盛っていく。
- セラミックを焼く。
- セラミックを研磨する。
現在の型取り方法(奥歯の場合)
- 歯科医院でデジタル口腔内スキャナーで歯型のデーターを取る。
- 歯科技工士がパソコン上でセラミック歯のデザインをする。
- ロボットアームがセラミックブロックを削り出して、セラミック歯を作る。
- 細かい噛み合わせと色合わせを行う。
メリット
メリットは、作業が少なくなることで従来よりも早く仕上げられます。
また、このお陰で安くご提供できるようになったセラミック治療もあります。
- 歯型の型どりが簡単にできる。
- 歯型の輸送コストがかからない。
- 歯科技工士さんは、人間にしかできないことに集中できる。
- 工程がシンプルになるので、治療費も安くできる。
- 工程がシンプルな分、精度の高いセラミック歯を作成できる。
AIが組み込まれたスキャナーであるため、工程が軽減されただけではなく精度の高いセラミック歯を作成しやすい点は大きなメリットになります。
デメリット
最大の欠点は、審美性がより求められる前歯の場合には、向いてないことです。
細かい形態や色調の再現性が求められる前歯の症例では、従来の一から人間が作製するアナログの手法を行なっています。
- 色調の再現性に限界がある。
- 細かい形態の再現性に限界がある。